КТ брюшной полости - описание.

3 posts / 0 new
Last post
tegns's picture
Offline
Last seen: 12 years 11 months ago
Joined: 22.01.2013 - 20:11
Posts: 3

Здравствуйте, маму направили в онкологию с подозрением на рак кишечника перед самым новым годом. В течение месяца проходили обследование - УЗИ малого таза, рентген кишечника, колоноскопию. Сдавали анализы, онкомаркеры СА 19-9 (5.8) РЭА (1.1).

Других результатов нам не дают.


После этого на приеме у врача ей сказали, что у нее злокачественная опухоль в кишечнике и киста в селезенке и дали направление на КТ брюшной полости. В день проведения КТ нам звонила врач, которая составляет описание КТ, и спрашивала, по причине какого заболевания отправили на КТ, на следующий день забрали результат. Вот он.

    Толщина среза мм 1.5-3.0
Контрастирование  Ультравист 370 болюсно и per os
КТ-ИССЛЕДОВАНИЕ БРЮШНОЙ ПОЛОСТИ
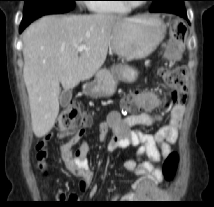
На аксиальных КТ-изображениях брюшной полости с последующими реконструкциями печень не увеличена (60X).
В S6 и S8 правой доле имеются подкапсульные образования размером 2.0*1.9 см (40Х), 1.4*0.8 см. негомогенно усиливающиеся в артериальную фазу.
Внутрипеченочные и внепеченочные желчные протоки не расширены. Рентген контрастных конкрементов в желчных протоках и желчном пузыре не выявлено.
Желчный пузырь размерами 6.7*1.8*2.3 см. Плотность желчи 28Х.
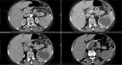
Селезенка размерами 12.5*9.2*10.3 см (34Х). В ее паренхиме множество округлых образований размером до 0.8 см, плотностью 516х. В проекции ворот селезенки определяется нечетко очерченный участок низкой плотности(12Х), с неровными контурами, размером 7.3*7.7*7.4 см,
при контрастировании - гиперваскулярный по периферии.
Подкапсульно у верхнего полюса селезенки образование размером 2.4*1.7 см, у нижнего полюса размером 2.9*3.6 см, гетерогенной структурой, негомогенно усиливающиеся при контрастировании.
Поджелудочная железа - головка-тело-хвост размерами 2.2*1.9*1.8 см, денситометрическая плотность 36Х-34Х-32Х соответственно. При контрастировании определяется однородное накопление контраста 101Х-109Х-96Х.
Вирсунгов проток не расширен.
Надпочечники без особенностей.
Почки обычных размеров: справа(29Х). В паренхиме правой почки кистозное образование размером 1.6 см, не накапливающее контраст.
Секреторная и экскреторная функция почек сохранены. Полостные элементы почек и мочеточники в области сканирования не расширены.
Рентген контрастных конкрементов в почках и мочеточниках не выявлено.
Жидкость в брюшной полости не визуализируется.
По латеральному контуру слепой и восходящей кишки образование мягкотканной плотности, с волнистым четким контуром, размером 2.6*7.2 см, неравномерно усиливающееся после контрастирования.
На границе нисходящего отдела и сигмы образование размером 7.6*6.8 см, прорастающее переднюю брюшную стенку (38Х), так же неравномерно накапливающее контраст.
Лимфоузлы брюшной полости не увеличены.
Стенки брюшного отдела аорты не изменены.
Костно-деструктивных изменений не выявлено.
Выявлены умеренные дегенеративно-дистрофические изменения со стороны среднегрудного и поясничного отдела позвоночника.

Заключение: КТ - признаки cr слепой, восходящей кишки; cr сигмы с прорастанием в переднюю брюшную стенку. Mts в селезенку и печень. Кальцинаты в селезенке. Киста правой почки.

У нас есть сомнения в правильности составленного описания. Если сможете, посмотрите пожалуйста диск.
Ссылка на диск в архиве - http://www.sendspace.com/file/bii6yq

И если все сходится, то чего нам ждать с такими признаками?

С уважением, Дмитрий.

ЛГ's picture
Offline
Last seen: 8 years 11 months ago
Joined: 06.01.2010 - 12:31
Posts: 3523

Образ диска - не совсем удачный вариант выкладывать исследование... замучаешься открывать.

Перезалила анонимизированный дайком: http://files.mail.ru/1570B6CB32A249BF9B88C5617DE203EB  - 99,1 МВ

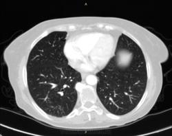
Метастазы по брюшине, сальнику -  моё мнение. Откуда - я не знаю. Возможно, первичная опухоль в селезенке (дифференцировать между гемангиосаркомой и метастазом). Но более реально - из яичников или молочных желез. Одни вопросы, поскольку полость таза не вошла в зону сканирования. Изменения в легких - тоже в срезе. 

tegns's picture
Offline
Last seen: 12 years 11 months ago
Joined: 22.01.2013 - 20:11
Posts: 3

На органах таза была операция около 20 лет назад. Удалено по жнски все.