You are here

КТ печени

Пол пациента: 
Тип патологии: 
Область исследования: 
Методы исследования: 

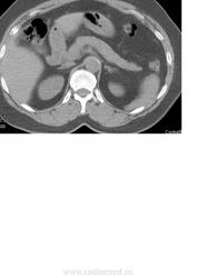
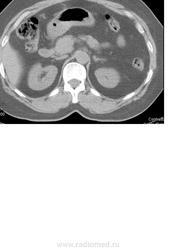
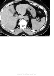
Добрый день! помогите пожалуста описать исследование. Пациентка 51 г.р., по УЗИ гипоэхогенное образование в левой доли печени 3х3,5 см с четким, неровным контуром. 

  • https://radiomed.ru/sites/default/files/styles/case_slider_image/public/user/16314/k-2_1.jpg?itok=mbJScTPN
  • https://radiomed.ru/sites/default/files/styles/case_slider_image/public/user/16314/k-3.jpg?itok=0koL3vr7
  • https://radiomed.ru/sites/default/files/styles/case_slider_image/public/user/16314/k-4.jpg?itok=LrN5B00p
  • https://radiomed.ru/sites/default/files/styles/case_slider_image/public/user/16314/k-5.jpg?itok=uJe_lx3u
  • https://radiomed.ru/sites/default/files/styles/case_slider_image/public/user/16314/k-6.jpg?itok=uNSev5td
  • https://radiomed.ru/sites/default/files/styles/case_slider_image/public/user/16314/k-7.jpg?itok=_6unmYcz
  • https://radiomed.ru/sites/default/files/styles/case_slider_image/public/user/16314/k-8.jpg?itok=yEa7errD
  • https://radiomed.ru/sites/default/files/styles/case_slider_image/public/user/16314/k-9.jpg?itok=DY4n_O-r
  • https://radiomed.ru/sites/default/files/styles/case_slider_image/public/user/16314/k-10.jpg?itok=d_DeeBpW
  • https://radiomed.ru/sites/default/files/styles/case_slider_image/public/user/16314/k-11.jpg?itok=J9_y5-bq
  • https://radiomed.ru/sites/default/files/styles/case_slider_image/public/user/16314/k-12.jpg?itok=FMjurza8
  • https://radiomed.ru/sites/default/files/styles/case_slider_image/public/user/16314/k-13.jpg?itok=x9OyD1wi
  • https://radiomed.ru/sites/default/files/styles/case_slider_image/public/user/16314/k-14.jpg?itok=BpADFrXs
  • https://radiomed.ru/sites/default/files/styles/case_slider_image/public/user/16314/k-15.jpg?itok=wwH8IHca
  • https://radiomed.ru/sites/default/files/styles/case_slider_image/public/user/16314/k-16.jpg?itok=77wwWyx2
  • https://radiomed.ru/sites/default/files/styles/case_slider_image/public/user/16314/k-17.jpg?itok=nof4mVNx
  • https://radiomed.ru/sites/default/files/styles/case_slider_image/public/user/16314/k-18.jpg?itok=BSHR2amV
  • https://radiomed.ru/sites/default/files/styles/case_slider_image/public/user/16314/k-19_0.jpg?itok=gwCFvu7h
  • https://radiomed.ru/sites/default/files/styles/case_slider_image/public/user/16314/k-20.jpg?itok=otF4Rgmh
ID:26096
НАДЕЖДА ЮРЬЕВНА's picture
Offline
Last seen: 7 years 4 months ago
Joined: 30.07.2012 - 13:14
Posts: 360

Кистозное образование(?) размерами.., плотностью.. едН, расположено там то. Я думаю, что это киста.

И.Бондаренко's picture
Offline
Last seen: 1 day 20 hours ago
Joined: 13.09.2011 - 22:55
Posts: 9213

А фронтальные срезы можно показать?

Андрей Юрьевич's picture
Offline
Last seen: 1 week 3 days ago
Joined: 16.11.2008 - 22:16
Posts: 18106

Не надо делать КТ печени без контраста, не информативно это.

Андрей Юрьевич