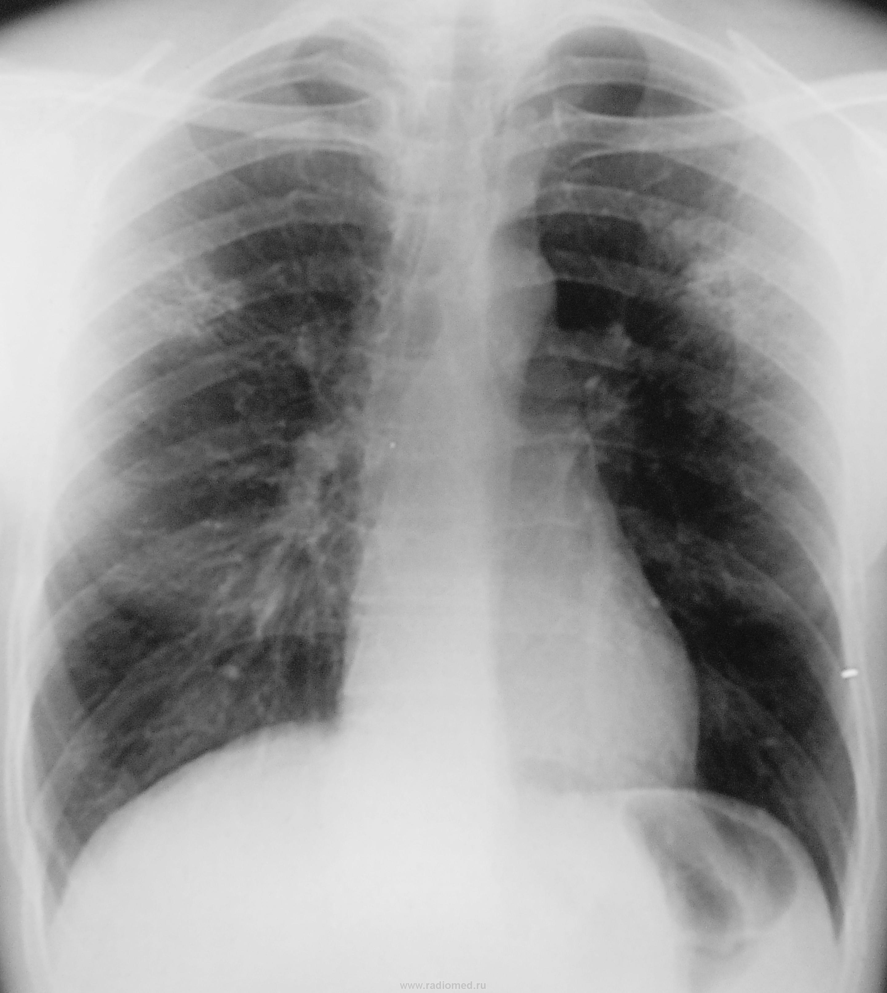
Я бы направила к фтизиатру с предв.диагнозом:инфильтративный туберкулез в/д об/легких в фазе распада.Можно,конечно и полечить АБ,но думаю,только время терять.ПТД и тмг сделают,и полечат,если сочтут нужным.
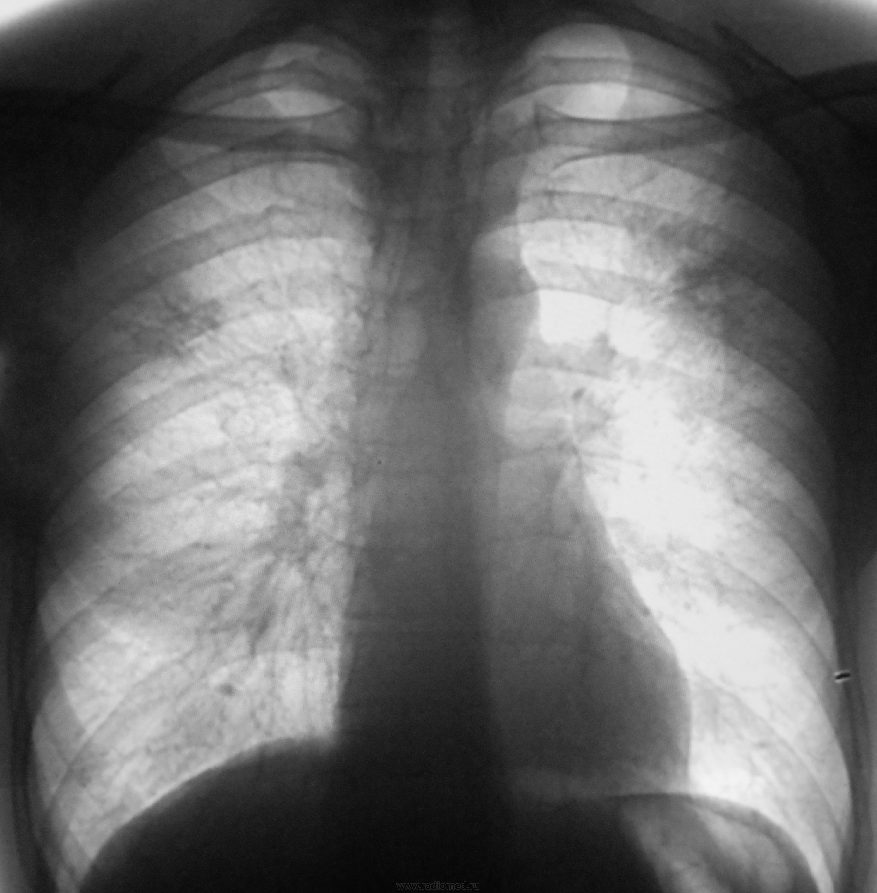
Мы в таких случаях назначаем тмг не на оба легких, а прицельно на в-ср/поля справа 7-8-9-10(то же -слева)с отведенными лопатками,конечно.Результат:очаги и инф-ты,с распадом,как на ладони.Попробуйте!Не пожалеете!При центрации R-пучка на все поля да на оба легких происходит "размазывание"патологии.
Вот для того,чтобы не пропустить и выполняется всегда обзорный снимок. А иначе-точно пропустишь,ведь слой тмг=1см,да и центрация не та.Итого: сколько же слоев нужно сделать,чтобы охватить всю патологию?!(читай-облучить?!)Легче -КТ.Поэтому в условиях поликлиники этот метод вполне оправданЕсли процесс диссеминированный,можно бочком пройтисьКлассика жанра.Неужели Вы и вправду думаете захватить всю патологию легких 3,ну пусть4мя тмг(ведь это всего лишь 3-4см от всей гр.кл.!
Валентин Львович,в общей и фтизио-рентгенологии разные стандарты техники ЛТГ.Фтизиатры идут прицельно и в отдельности на каждое легкое.В ОЛС томограифруют оба легких.
Валентин Львович,в общей и фтизио-рентгенологии разные стандарты техники ЛТГ.Фтизиатры идут прицельно и в отдельности на каждое легкое.В ОЛС томограифруют оба легких.
Вот для того,чтобы не пропустить и выполняется всегда обзорный снимок. А иначе-точно пропустишь,ведь слой тмг=1см,да и центрация не та.Итого: сколько же слоев нужно сделать,чтобы охватить всю патологию?!(читай-облучить?!)Легче -КТ.Поэтому в условиях поликлиники этот метод вполне оправданЕсли процесс диссеминированный,можно бочком пройтисьКлассика жанра.Неужели Вы и вправду думаете захватить всю патологию легких 3,ну пусть4мя тмг(ведь это всего лишь 3-4см от всей гр.кл.!
Моя задача, как врача-флюшечника, при подозрении (контроль) дообследовать минимально, да определиться куда и к кому направить...
Валентин Львович,в общей и фтизио-рентгенологии разные стандарты техники ЛТГ.Фтизиатры идут прицельно и в отдельности на каждое легкое.В ОЛС томограифруют оба легких.
Конечно во "фтизных учреждениях" так и должно быть, но мы работаем в маленькой ЦРБ-ушке, и знаю я доподлинно, что мало, где в ЦРБ-ушках линейной томографией балуются.
А мы заподозрили, на своём уровне дообследовали, да и направили в ОПТД, а там и КТ, а если нужно и МРТ имеется, да и прочие "нужные сладости".
Валентин Львович!Да сейчас в бюджетной медицине везде такая недоукомплектованность(У нас,к примеру,тоже)Но ведь это не мешает нам быть думающими врачами.
Валентин Львович!Да сейчас в бюджетной медицине везде такая недоукомплектованность(У нас,к примеру,тоже)Но ведь это не мешает нам быть думающими врачами.
Рад бы уважаемая Людмила Григорьевна оба боковых доснять, да и выставить для стандарта.
Но "поезд ушел", в облтубе пациент, там и КТ даже сделали (сегодня с зав. рентген-отделением облтуба общался), да и "палки" при микроскопии "улыбнулись".
Поддерживаю Миргалину! Не понимаю зачем делать томограммы на оба легких? Вдруг, что найдется? Я считаю, что врач, направляющий пациента на томограмму, должен представлять себе,какую информацию хочет получить. Характеристики тени, контуры, распад - тогда однозначно центровка должна быть на тень. Бронхи - то же соответсвующие срезы, с учетом того, что левый и правый главные бронхи расположены на разной глубине. Некоторые бронхи лучше видны в боковых проекциях. Линейная томография "не отстой", а большое подспорье в умелых руках. Еще каких то 15 лет назад торакальные хирурги на операцию брали с диагнозом, поставленныи по линейным томограммам.
Поддерживаю Миргалину! Не понимаю зачем делать томограммы на оба легких? Вдруг, что найдется? Я считаю, что врач, направляющий пациента на томограмму, должен представлять себе,какую информацию хочет получить. Характеристики тени, контуры, распад - тогда однозначно центровка должна быть на тень. Бронхи - то же соответсвующие срезы, с учетом того, что левый и правый главные бронхи расположены на разной глубине. Некоторые бронхи лучше видны в боковых проекциях. Линейная томография "не отстой", а большое подспорье в умелых руках. Еще каких то 15 лет назад торакальные хирурги на операцию брали с диагнозом, поставленныи по линейным томограммам.
+100. И сейчас торакальные хирурги берут на операцию по нашим информативным и оптимальным тмг.НаКТ посылаем,если заведомо трудно получить полость распада или процесс распространенный и ,следовательно,требует большой лучевой нагрузки.
Поддерживаю Миргалину! Не понимаю зачем делать томограммы на оба легких? Вдруг, что найдется? Я считаю, что врач, направляющий пациента на томограмму, должен представлять себе,какую информацию хочет получить.
Уважаемый коллега!
В представлении написано - контроль после флюорографии. О каком враче, направившем пациента на томографию Вы говорите - это контроль.
Спрошу у Вас ради интереса. И, что бы Вы лично, Вы делали при такой скиалогии на флюшке. Прямо и правый бок, или прямо и два боковых?
И сейчас торакальные хирурги берут на операцию по нашим информативным и оптимальным тмг.НаКТ посылаем,если заведомо трудно получить полость распада или процесс распространенный и ,следовательно,требует большой лучевой нагрузки.
Надеюсь увидеть Ваши информативные томограммы в виде клинических наблюдений на сайте, очень хочу узреть, возможно после этого, и мы будем томографировать "на тень".
Валентин Львович!Вопрос в посте N23,конечно не ко мне,а к Mil'e,но позволю себе ответить:"О каком контроле Вы говорите, если нет архива?И тмг,судя по-всему,назначали Вы.По такой скиалогии нужно направлять вПТД,если невозможно сделать информативные тмг.Поэтому и спрос,как с врача,-с Вас. А насчет моих тмг на сайте-это сколько угодно,как только выйду с больничного.Да еще , надеюсь на Вашу помощь-я не умею их размещать.Кстати, неплохие тмг размещены в ветке Nicolas'а"ОГК.Решим вместе"
А как вам такое - в райнном городе, где я до недавнего времени работал, на консультацию в городской ПТД пациентов не принимали без томографии. Неважно, что там у него на рентгенограмме. Сейчас не знаю.
Кстати, одно или два легких томографировать. Может, потому фтизиатры и делают одно, да прицельно, что у них уже есть "обзорные" томограммы из общей лечебной сети? А в поликлинике и ЦРБ некогда сначала одну верхушку, потом другой корень, потом еще что нибудь?
Валентин Львович!Вопрос в посте N23,конечно не ко мне,а к Mil'e,но позволю себе ответить:"О каком контроле Вы говорите, если нет архива?
Я говорю о "контроле" после флюорографии, после читки флюорограмм, когда не "норма", или рядом с "нормой", когда пациент после проффлюшки, с учетом выявленной патологии, должен быть дообследован. Это не контроль в динамике после выявленных изменений (к примеру пневмония), это контроль после флюшки.
Позволю себе заметить, что томограммы в "определенных срезах" - это увы, тоже стандарт туб учереждений, как и внутривенная (а не только обзорная) урография для урологических отделений и центров.
А как вам такое - в райнном городе, где я до недавнего времени работал, на консультацию в городской ПТД пациентов не принимали без томографии. Неважно, что там у него на рентгенограмме. Сейчас не знаю.
+1
Да и еще...
Я хотел бы увидеть лица фтизиатра (просто), или фтизорентгенолога, когда ему, конечно вместе с рентгенограммами - стандарт (прямой и боковой) предоставили срезы одной верхушки, пусть даже без "каверкота", или томограммы одного корня..., пусть правого, но без левого...
Может, потому фтизиатры и делают одно, да прицельно, что у них уже есть "обзорные" томограммы из общей лечебной сети? А в поликлинике и ЦРБ некогда сначала одну верхушку, потом другой корень, потом еще что нибудь?
Конечно, у фтизиатров уже есть и доконсультативные снимки и доконсультативное мнение рентгенологов "от ранее", и не с "ноля" они начинают, вот и отрабатывают "определенное па" справа, али слева, а тем временем вместо одной "туберкулёмы", которую они "узким пучком" наблюдают в других участках созревают "вишни", и не в саду "у дяди Вани", а из первичного "опухолевого узла", и такие примеры не единичны, и в практике пульмологических отделений, да и противотуберкулёзных учреждений весьма даже известны.
Хочу обратиться Ко всем высказавшемся,правила такие:если есть в районе ПТД,то он и должен предоставить качественный обзор и тмг на патологию.Зачастую нет или одного,или другогоОтказа больным людям нет Мы в любом случае дообследуем,и доделаем,и пере-делаем.Вопрос еще и в том,что 50-80 человек за день(это только поликлиника),да еще стационар,да еще Rскопии,да катетеризации бронхов и т.д.-это невозможная нагрузка на 2 врачей(у нас тоже дикая нехватка докторов).И больные один "красивее"другого.А ведь стандарты везде одни и те же.Я прихожу домой поздно вечером,бывает и ночью.И разве не имею права хотя бы попросить сделать качественный обзор,учитывая,что районы сейчас оснащены лучше?Не судите,да не судимы будете.С уважением,Миргалина
... в районном городе, где я до недавнего времени работал, на консультацию в городской ПТД пациентов не принимали без томографии...
Позволю себе повториться с выделением ключевых слов. И процитировать :"Спокойствие, только спокойствие". Никто никого не судит, и не думает обижать. Просто взгляд с периферии.
У нас единственное учреждение в областном центре, которое на 100 % укомплектовано врачами, в том числе и рентгенологами и другими лучевыми диагностами (+ 2 СКТ), так это противотуберкулёзный диспансер.
Я бы направила к фтизиатру с предв.диагнозом:инфильтративный туберкулез в/д об/легких в фазе распада.Можно,конечно и полечить АБ,но думаю,только время терять.ПТД и тмг сделают,и полечат,если сочтут нужным.
Неспокойно на верхушках.Левый корень плохо видно.Переснять бы на большом аппарате+левый бок.
Не успе разглядеть томограммы.Да к фтизиатру.
Томограммы.
Мы в таких случаях назначаем тмг не на оба легких, а прицельно на в-ср/поля справа 7-8-9-10(то же -слева)с отведенными лопатками,конечно.Результат:очаги и инф-ты,с распадом,как на ладони.Попробуйте!Не пожалеете!При центрации R-пучка на все поля да на оба легких происходит "размазывание"патологии.
Возможно Вы правы уважаемая коллега, но при такой методе кое что в других отделах легочных полей может быть пропущено.
Вот для того,чтобы не пропустить и выполняется всегда обзорный снимок. А иначе-точно пропустишь,ведь слой тмг=1см,да и центрация не та.Итого: сколько же слоев нужно сделать,чтобы охватить всю патологию?!(читай-облучить?!)Легче -КТ.Поэтому в условиях поликлиники этот метод вполне оправданЕсли процесс диссеминированный,можно бочком пройтисьКлассика жанра.Неужели Вы и вправду думаете захватить всю патологию легких 3,ну пусть4мя тмг(ведь это всего лишь 3-4см от всей гр.кл.!
Валентин Львович,в общей и фтизио-рентгенологии разные стандарты техники ЛТГ.Фтизиатры идут прицельно и в отдельности на каждое легкое.В ОЛС томограифруют оба легких.
Моя задача, как врача-флюшечника, при подозрении (контроль) дообследовать минимально, да определиться куда и к кому направить...
Конечно во "фтизных учреждениях" так и должно быть, но мы работаем в маленькой ЦРБ-ушке, и знаю я доподлинно, что мало, где в ЦРБ-ушках линейной томографией балуются.
А мы заподозрили, на своём уровне дообследовали, да и направили в ОПТД, а там и КТ, а если нужно и МРТ имеется, да и прочие "нужные сладости".
Все Вы правильно сделали.Редко где в ОЛС томографируют.Я вот иногда балуюсь-РКТ нет и у нас и у фтизиатров и ОПТД.
Так ведь на оба легких-это не минимально,а по "полной программе" получается.А стандарты везде одинаковы.Да и "сладости"подчас тоже.
Нет, стандарты ЦРБ-ушки довольно минимальны, особенно, когда укомплектованность врачами на 30 % от норматива
Валентин Львович!Да сейчас в бюджетной медицине везде такая недоукомплектованность(У нас,к примеру,тоже)Но ведь это не мешает нам быть думающими врачами.
Боковой. Оба! Стандарт же))))
https://www.youtube.com/channel/UCBGxoBUOqUT_bFhSeUgtWEw
И, что должен делать "думающий врач"?
Рад бы уважаемая Людмила Григорьевна оба боковых доснять, да и выставить для стандарта.
Но "поезд ушел", в облтубе пациент, там и КТ даже сделали (сегодня с зав. рентген-отделением облтуба общался), да и "палки" при микроскопии "улыбнулись".
И каков диагноз ПТД?
Поддерживаю Миргалину! Не понимаю зачем делать томограммы на оба легких? Вдруг, что найдется? Я считаю, что врач, направляющий пациента на томограмму, должен представлять себе,какую информацию хочет получить. Характеристики тени, контуры, распад - тогда однозначно центровка должна быть на тень. Бронхи - то же соответсвующие срезы, с учетом того, что левый и правый главные бронхи расположены на разной глубине. Некоторые бронхи лучше видны в боковых проекциях. Линейная томография "не отстой", а большое подспорье в умелых руках. Еще каких то 15 лет назад торакальные хирурги на операцию брали с диагнозом, поставленныи по линейным томограммам.
Вас интересует предварительный или уточненный после посева на среды?
Уважаемый коллега!
В представлении написано - контроль после флюорографии. О каком враче, направившем пациента на томографию Вы говорите - это контроль.
Спрошу у Вас ради интереса. И, что бы Вы лично, Вы делали при такой скиалогии на флюшке. Прямо и правый бок, или прямо и два боковых?
Предварительный я озвучила,конечно,интересует точный диагноз.
Предварительный - инфильтративный, а более точный подождать надо, пока на средах рост будет.
Надеюсь увидеть Ваши информативные томограммы в виде клинических наблюдений на сайте, очень хочу узреть, возможно после этого, и мы будем томографировать "на тень".
Нет. не вдруг. Очаги отсева весьма частая находка, не зримая на рентгенограммах, да и много чего всякого разного...
Валентин Львович!Вопрос в посте N23,конечно не ко мне,а к Mil'e,но позволю себе ответить:"О каком контроле Вы говорите, если нет архива?И тмг,судя по-всему,назначали Вы.По такой скиалогии нужно направлять вПТД,если невозможно сделать информативные тмг.Поэтому и спрос,как с врача,-с Вас. А насчет моих тмг на сайте-это сколько угодно,как только выйду с больничного.Да еще , надеюсь на Вашу помощь-я не умею их размещать.Кстати, неплохие тмг размещены в ветке Nicolas'а"ОГК.Решим вместе"
А как вам такое - в райнном городе, где я до недавнего времени работал, на консультацию в городской ПТД пациентов не принимали без томографии. Неважно, что там у него на рентгенограмме. Сейчас не знаю.
Кстати, одно или два легких томографировать. Может, потому фтизиатры и делают одно, да прицельно, что у них уже есть "обзорные" томограммы из общей лечебной сети? А в поликлинике и ЦРБ некогда сначала одну верхушку, потом другой корень, потом еще что нибудь?
С уважением,
Я говорю о "контроле" после флюорографии, после читки флюорограмм, когда не "норма", или рядом с "нормой", когда пациент после проффлюшки, с учетом выявленной патологии, должен быть дообследован. Это не контроль в динамике после выявленных изменений (к примеру пневмония), это контроль после флюшки.
Позволю себе заметить, что томограммы в "определенных срезах" - это увы, тоже стандарт туб учереждений, как и внутривенная (а не только обзорная) урография для урологических отделений и центров.
Насчет спроса - неверно..., спрос будет, когда пропущу (по флюшке) патологию, да и термин есть такой - "пропуск".
Да, многие тубучреждения больных на консультацию не принимают, если нет стандартных срезов.
+1
Да и еще...
Я хотел бы увидеть лица фтизиатра (просто), или фтизорентгенолога, когда ему, конечно вместе с рентгенограммами - стандарт (прямой и боковой) предоставили срезы одной верхушки, пусть даже без "каверкота", или томограммы одного корня..., пусть правого, но без левого...
Конечно, у фтизиатров уже есть и доконсультативные снимки и доконсультативное мнение рентгенологов "от ранее", и не с "ноля" они начинают, вот и отрабатывают "определенное па" справа, али слева, а тем временем вместо одной "туберкулёмы", которую они "узким пучком" наблюдают в других участках созревают "вишни", и не в саду "у дяди Вани", а из первичного "опухолевого узла", и такие примеры не единичны, и в практике пульмологических отделений, да и противотуберкулёзных учреждений весьма даже известны.
Хочу обратиться Ко всем высказавшемся,правила такие:если есть в районе ПТД,то он и должен предоставить качественный обзор и тмг на патологию.Зачастую нет или одного,или другогоОтказа больным людям нет Мы в любом случае дообследуем,и доделаем,и пере-делаем.Вопрос еще и в том,что 50-80 человек за день(это только поликлиника),да еще стационар,да еще Rскопии,да катетеризации бронхов и т.д.-это невозможная нагрузка на 2 врачей(у нас тоже дикая нехватка докторов).И больные один "красивее"другого.А ведь стандарты везде одни и те же.Я прихожу домой поздно вечером,бывает и ночью.И разве не имею права хотя бы попросить сделать качественный обзор,учитывая,что районы сейчас оснащены лучше?Не судите,да не судимы будете.С уважением,Миргалина
Позволю себе повториться с выделением ключевых слов. И процитировать :"Спокойствие, только спокойствие". Никто никого не судит, и не думает обижать. Просто взгляд с периферии.
С уважением,
У нас единственное учреждение в областном центре, которое на 100 % укомплектовано врачами, в том числе и рентгенологами и другими лучевыми диагностами (+ 2 СКТ), так это противотуберкулёзный диспансер.
Работал по все стороны конфликта.Смысл полемики не понимаю.Валентин Львович все сделал архиправильно.
Полемика нужна, если она не схоластична.
Полемика не только возбуждает, полемика может открыть "закрытые окна" с обеих сторон, и в открывшемся окне можно многое увидеть...