You are here

перелом фаланги пальца стопы

Пол пациента: 
Тип патологии: 
Область исследования: 
Методы исследования: 

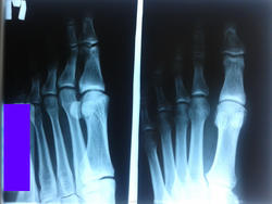
Доброе утро. Прошу помощи опытных... Описывая вчера снимок, обратил внимание на запись травматолога: Жалобы - на боли в I пальце; St.loc. - отек, кровоподтеки, болезненность в области фаланг I пальца правой стопы; Диагноз - "закрытый перелом головки основной фаланги I пальца правой стопы". Дело в том, что в нашей больнице рентгенолог не дежурит ночью и снимки сразу попадают к травматологу... Я перелома не увидел, что и указал в заключении.

Уважаемые внимательные опытные рентгенологи, подскажите, есть ли травматическое повре ждение? Чувствую, сегодня придет на меня сопеть травматолог.

  • https://radiomed.ru/sites/default/files/styles/case_slider_image/public/user/17801/20130227_172603_0.jpg?itok=jOA42Y8Y
  • https://radiomed.ru/sites/default/files/styles/case_slider_image/public/user/17801/20130227_172609.jpg?itok=TwUwBV4n
ID:26686
Леонид's picture
Offline
Last seen: 9 years 4 months ago
Joined: 13.01.2011 - 19:33
Posts: 445

Перелом - клинический диагноз, который травматолог высталяет по данным рентгенологического обследования. Но бывют случаи без смещения отломков, и, хоть тресни, под лупой ни чего не видно. Перелом в данной ситуации выясняют на контрольных снимках через 7 дней. Это когда происходит рассаывание мелких костных фрагментов и линия перелома становится видимой. Задним числом диагноз перелома выставляют по нежной костной мозоли, скажем при маршевом переломе Дойчлендера.

Соломин Виталий Юрьевич's picture
Offline
Last seen: 6 years 4 months ago
Joined: 04.04.2012 - 21:47
Posts: 1096

 

А с чего это вдруг травматолог будет «сопеть»? Ситуация вполне обычная. Клинически предполагается перелом фаланги пальца стопы. Рентгенологически ничего нет. Даже если перелом фаланги I пальца стопы (конечно, без смещения) на рентгенограмме очевиден, гипс накладывать не стоит (во всяком случае, я этого не делаю) – особой опоры на пальцы стопы нет. А уж если такой «микроперелом», который рентгенолог с лупой разглядеть не может, тем более.

Тактика от таковой при ушибе I пальца стопы особо не отличается: щадящий режим (не бегать, не прыгать, не травмировать палец повторно), тугая повязка, обувь с жесткой подошвой (в том числе и дома), два дня прикладывать холод, с третьего дня после травмы – сухое тепло (под контролем термометрии), осмотр через несколько дней в динамике (в зависимости от того, что есть клинически).

Можете написать в заключении: «По рентгенограмме костно-травматических изменений (линии перелома) четко не определяется. Рентген-контроль через 7 дней (или «по клиническим показаниям в динамике»)».   

Владимир_Лапин's picture
Offline
Last seen: 2 years 5 months ago
Joined: 04.02.2013 - 21:46
Posts: 33

Виталий Юрьевич, спасибо большое!

фатя's picture
Offline
Last seen: 4 years 6 months ago
Joined: 13.02.2012 - 19:43
Posts: 30

рентгенологически костно-травматических изменений не выявлено

фкар

И.Бондаренко's picture
Offline
Last seen: 6 hours 43 min ago
Joined: 13.09.2011 - 22:55
Posts: 9213

Есть линия подозрительная на перелом, но с хорошим сроком. Для этого назначайте контроль через 7-10 дней и после лизиса увидите четкий перелом. Обязательно сравнивайте со старыми снимками. Если изменений нет, ну и с Богом отправьте больного.

InnaStrahova's picture
Offline
Last seen: 8 years 11 months ago
Joined: 29.01.2013 - 00:28
Posts: 31

На снимке в косой проекции определяется линия, подозрительная на перелом в головке основной фаланги 1пальца.

Inna Str.

Андрей Кастарнов's picture
Offline
Last seen: 9 years 1 month ago
Joined: 11.11.2012 - 14:04
Posts: 107

InnaStrahova wrote:

На снимке в косой проекции определяется линия, подозрительная на перелом в головке основной фаланги 1пальца.

тоже такого мнения.

Владимир_Лапин's picture
Offline
Last seen: 2 years 5 months ago
Joined: 04.02.2013 - 21:46
Posts: 33

всем спасибо за комментарии. если получится, напишу по контрольному снимку