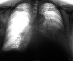
Выпод в плевральной полости с обеих сторон, больше слева. Затемнение достаточно однородное, но плотность его позволяет думать о том, что базальные сегменты расправлены. Средце резко расширено в обе стороны, слева расширенные плотные сосуды? Можт все за счет застоя в малом круге?
Интересно.Купол плоский,вероятно жидкость немного есть.Но что за фокусы в шестерке и проекции леваго корня?Подчеркнута межделевка-об онкологии надо задумоться влевом легком.
Согласен насчет округлой тени S6 слева. Думаю, что остальное плевральные дела: базально, по междолевке и в добавочных щелях. По передней стенке - осумкованный выпот. Не совсем понял справа - бифуркация смещена умеренно, отчего такое расширение срединной тени, за счет увеличения сердца? Первая мысль - опухоль с вторичным гидротораксом. Стесняюсь, но спрошу про результат пункции...
Тут, Валентин Львович, как в том анекдоте про солдата, который "всегда о бабе думает" (да простят меня дамы). А серьезно - все ж таки: гидроторакс с явным преобладанием слева, подозрительная тень в S6 слева, есть впечатление о её прилегании к плевральной щели. ФЛГ - профилактическая, то есть - жалоб особых нет, значит - копилось потихоньку. Ну, и как-то по принципу: от худшего к более приемлемым вариантам.
Двусторонний гидроторакс, слева - массивный, с элементами осумкования, кардидодилятация. Генез может быть воспалительным, онкологическим, кардиогенным, травматическим. Первые два наиболее вероятны. Эмпиема или узловая форма мезотелиомы. Достоверных онко-признаков не видно. Данных за мтс в ребра не вижу.
Выпод в плевральной полости с обеих сторон, больше слева. Затемнение достаточно однородное, но плотность его позволяет думать о том, что базальные сегменты расправлены. Средце резко расширено в обе стороны, слева расширенные плотные сосуды? Можт все за счет застоя в малом круге?
Может и за счет застоя в малом круге, только слева?
На фоне венозного застоя с обеих сторон можно предположить еще левосторонний плеврит.
Мы тоже так подумали...
Вот снимки - стандарт.
Интересно.Купол плоский,вероятно жидкость немного есть.Но что за фокусы в шестерке и проекции леваго корня?Подчеркнута межделевка-об онкологии надо задумоться влевом легком.
Предположу мезотелиому.
Мезотелиома.
Саркома.
Флюшка от 2011 года.
Согласен насчет округлой тени S6 слева. Думаю, что остальное плевральные дела: базально, по междолевке и в добавочных щелях. По передней стенке - осумкованный выпот. Не совсем понял справа - бифуркация смещена умеренно, отчего такое расширение срединной тени, за счет увеличения сердца? Первая мысль - опухоль с вторичным гидротораксом. Стесняюсь
, но спрошу про результат пункции...
С уважением,
Со слов лечащего врача (терапевт) вчера при пункции был получен гной...
Порой первая мысль бывает самой правильной.
Интересно, коллега, а почему такая мысль возникла?
Тут, Валентин Львович, как в том анекдоте про солдата, который "всегда о бабе думает" (да простят меня дамы). А серьезно - все ж таки: гидроторакс с явным преобладанием слева, подозрительная тень в S6 слева, есть впечатление о её прилегании к плевральной щели. ФЛГ - профилактическая, то есть - жалоб особых нет, значит - копилось потихоньку. Ну, и как-то по принципу: от худшего к более приемлемым вариантам.
С уважением,
Так он и должен так думать, не о войне же...
Я вот тоже, хоть уже и стар, и сед, тоже о "Евиных Дочках" думаю...
Томограммы, конечно хреновые, но есть.
Думаю метастаз в передний отрезок 4 ребра слева с трансформацией в мезателиому.
Двусторонний гидроторакс, слева - массивный, с элементами осумкования, кардидодилятация. Генез может быть воспалительным, онкологическим, кардиогенным, травматическим. Первые два наиболее вероятны. Эмпиема или узловая форма мезотелиомы. Достоверных онко-признаков не видно. Данных за мтс в ребра не вижу.
Verum plus uno esse non potest.
Контроль через 2 недели...
Томограммы.
В.Л.Катенёва. В книгу бы их надо, но это большая забота.
Шварты, сумки и окошки... Долго рассасываться будут.. Онкологическая настороженность тает на глазах.
Verum plus uno esse non potest.
И ещё контроль через неделю, от "сегодня"...
Вот и выздоровела...
...пневмонияи с плевритом?
Надо знать характер выпота.
Со слов лечащего врача (терапевт) вчера при пункции был получен гной...
[/quote]
Слегка сероватый сливкообразный гной.
лечат эмпиему Ваши врачи. Сегодня надежным критерием эмпиемы являются показатели рН 7.1 и ниже.