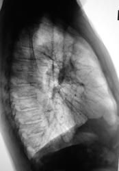
Онконасторженность, конечно, возникает... Впечатление вообще уменьшения верхней доли, но не за счет гиповентиляции, а за счет фиброза с мелкояичестыми просветлениями, связанного с плеврой в аксиллярной зоне. А с прошлой "флюшки" никаким, случайно, гнойным воспалением легких не переболел?
Когда-то это наблюдение было уже представлено? Одно из моих предположений была пневмония Фридлендера. Может быть я с чем -то путаю? Вы представляли это наблюдение ранее?
Когда-то это наблюдение было уже представлено? Одно из моих предположений была пневмония Фридлендера. Может быть я с чем -то путаю? Вы представляли это наблюдение ранее?
Вы правы.
Тогда и Фридлендера выставлялась, да и много чего ещё. После многих наших "потуг" пациента забрали в область, там тоже много было всевозможных предположений, голову тогда поломали представители трёх ведущих больниц областного центра, диагноз в основном был под вопросом.
А, тут гражданина, из села привезли на проффлюшку, "первично" был не понятен, глянул "архив сиара", и обомлел, фактически "поимели" исход трудного диагностического случая.
Вот и решил выставить, так сказать, с логическим исходом.
Фтизиатр захаживает чай попить или по делу, работу себе ищет? А если серьезно, то в двойке был воспалительный процесс и изменения в сегменте аналогичны троишным. Ну разве может мужику так не везти в жизни?
Великое преймущество врача заключается в том, что он не обязан следовать собственным советам. ( А. Кристи)
Фтизиатр захаживает чай попить или по делу, работу себе ищет?
В основном. конечно по работе, это так сказать № 1.
Но чай попить, или кофе (и кофеварка не хилая есть, да и микроволновка имеется), у нас в рентген-кабинете (в кабинете врача) всегда можно, да и бутерброд тоже перехватить можно.
В Нашем Рентгене, как и в Греции многое есть.
--------------------
Этот рентгеновский блок, впрочем, как и сайт радиомед, последняя любовь в жизни.
Возникает онконастороженность по поводу смещения средостения влево,плевралой реакции над правым куполом и "фиброза" в S2.
Спасибо коллега за высказанное мнение!
Онконасторженность, конечно, возникает... Впечатление вообще уменьшения верхней доли, но не за счет гиповентиляции, а за счет фиброза с мелкояичестыми просветлениями, связанного с плеврой в аксиллярной зоне. А с прошлой "флюшки" никаким, случайно, гнойным воспалением легких не переболел?
С уважением,
В 2011 г. было "тяжкая пневмония".
Мы конечно, сегодня порезали...
Картина больших поствоспалительных изменений.
+1 за метапневмонические изменения.
"Обучая других - учишься сам". Н.И.Пирогов
Надо понимать "постпневмонические", или "сейчас" - метапневмонические?
"Пост". У нас, у хохлов, просто этими терминами принято пользоватся как синонимами, когда речь идет об остаточных изменениях.
"Обучая других - учишься сам". Н.И.Пирогов
Вы правы.
А так это начиналось...
Дело раскрыто.
"Обучая других - учишься сам". Н.И.Пирогов
Это сейчас раскрыто,
а после контроля был большой "шухер". Контроль через 10 дней после мощнейшей противовоспалительной терапии...
Согласен. Картина "шухерная". В целом хороший показательный случай.
"Обучая других - учишься сам". Н.И.Пирогов
Очень интересный случай. Спасибо.
Спасибо!
С уважением,
Стесняюсь спросить: а с какой целью "резали" сегодня?
Великое преймущество врача заключается в том, что он не обязан следовать собственным советам. ( А. Кристи)
Когда-то это наблюдение было уже представлено? Одно из моих предположений была пневмония Фридлендера. Может быть я с чем -то путаю? Вы представляли это наблюдение ранее?
Вы правы.
Тогда и Фридлендера выставлялась, да и много чего ещё. После многих наших "потуг" пациента забрали в область, там тоже много было всевозможных предположений, голову тогда поломали представители трёх ведущих больниц областного центра, диагноз в основном был под вопросом.
А, тут гражданина, из села привезли на проффлюшку, "первично" был не понятен, глянул "архив сиара", и обомлел, фактически "поимели" исход трудного диагностического случая.
Вот и решил выставить, так сказать, с логическим исходом.
Очень хороший вопрос!
Ко мне часто захаживает коллега фтизиатр, имеется общий диагностический интерес.
Вот и в этот раз был..., да боковуха не понравилась, решили разрезать.
А коллега фтизиатр до сих пор к этому срезу полного доверия не имеет...
Фтизиатр захаживает чай попить или по делу, работу себе ищет? А если серьезно, то в двойке был воспалительный процесс и изменения в сегменте аналогичны троишным. Ну разве может мужику так не везти в жизни?
Великое преймущество врача заключается в том, что он не обязан следовать собственным советам. ( А. Кристи)
В основном. конечно по работе, это так сказать № 1.
Но чай попить, или кофе (и кофеварка не хилая есть, да и микроволновка имеется), у нас в рентген-кабинете (в кабинете врача) всегда можно, да и бутерброд тоже перехватить можно.
В Нашем Рентгене, как и в Греции многое есть.
--------------------
Этот рентгеновский блок, впрочем, как и сайт радиомед, последняя любовь в жизни.
http://www.radiomed.ru/forum/tam-ghdie-my-rabotaiem