You are here

Непонятное сочетание Т1, Т2 и FLAIR

Пол пациента: 
Тип патологии: 
Область исследования: 
Методы исследования: 

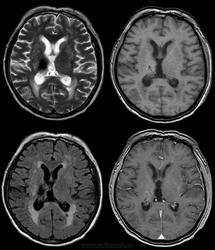
Через год после "инсульта", МРТ впервые.

Почему и на Т2 и на FLAIR - гипоинтенсивное, а на Т1 - не совпадает ни по форме, ни по структуре? Что это? Не кистозно-глиозные изменения и не гематома и все остальное, о чем я способен подумать.

ID:27363
nnemo's picture
Offline
Last seen: 11 years 6 months ago
Joined: 13.09.2011 - 18:32
Posts: 561

Последствие кровоизлияния в проекции таламуса справа

Если сделать SWI (SWAN), то можно подтвердить наличие продуктов распада гемоглобина 

irena's picture
Offline
Last seen: 9 years 11 months ago
Joined: 28.09.2009 - 13:00
Posts: 289

тоже подумала об этом, слева определяется  щелевидной формы зона с аналогичными 

Dr.Drug's picture
Offline
Last seen: 8 years 2 months ago
Joined: 01.11.2008 - 20:21
Posts: 464

Или имбибиция? И что такое SWI и SWAN - у нас таких нет. Может для Филипс эти последовательности называются по-другому?

С уважением, А.В.Коробейников

nnemo's picture
Offline
Last seen: 11 years 6 months ago
Joined: 13.09.2011 - 18:32
Posts: 561
Mitkampfer's picture
Offline
Last seen: 11 years 6 months ago
Joined: 27.07.2010 - 07:43
Posts: 1454

как описать перивентрикулярные изменения? лейкоареоз?

Не ограничивайте свою мысль

Живешь пока учишься

Ecrasez l’infame

Dr.Drug's picture
Offline
Last seen: 8 years 2 months ago
Joined: 01.11.2008 - 20:21
Posts: 464

Я написал лейкоареоз.

С уважением, А.В.Коробейников