You are here

В продолжение ветки...

Пол пациента: 
Тип патологии: 
Методы исследования: 

В продолжение ветки...

http://www.radiomed.ru/cases/chto-ne-tak-v-organakh-grudnoi-kletki

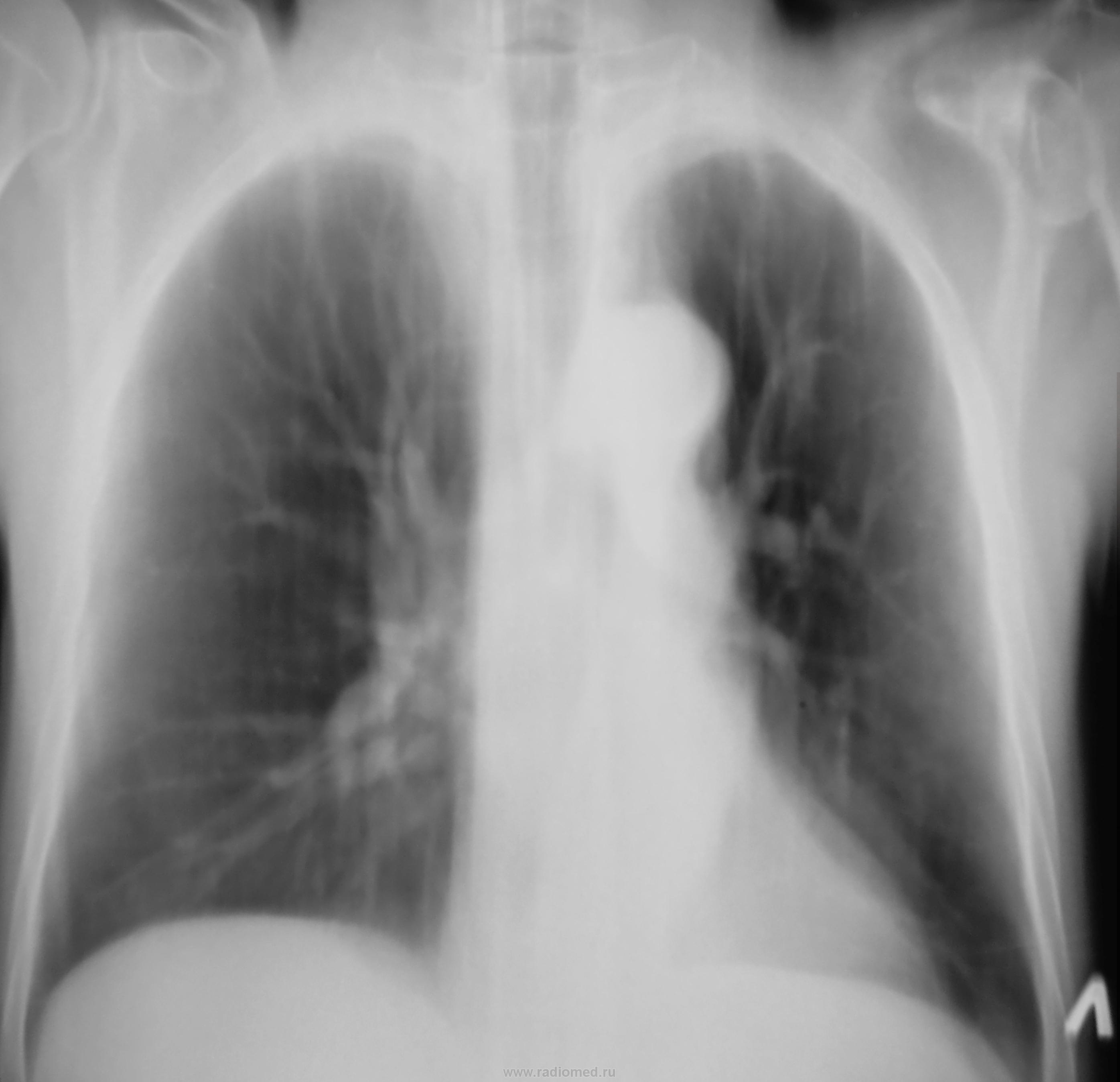
Пациент был взят после флюорографии на контроль.

Какие мнения будут уважаемые коллеги?

  • https://radiomed.ru/sites/default/files/styles/case_slider_image/public/user/12/2.dscn1328a.jpg?itok=NHWLThGW
  • https://radiomed.ru/sites/default/files/styles/case_slider_image/public/user/12/3.dscn1328ab.jpg?itok=l9Ft2EX0
  • https://radiomed.ru/sites/default/files/styles/case_slider_image/public/user/12/4.dscn1329.jpg?itok=sR9pIh3v
  • https://radiomed.ru/sites/default/files/styles/case_slider_image/public/user/12/5.dscn1329p.jpg?itok=Iwrs0qHR
ID:27623
И.Бондаренко's picture
Offline
Last seen: 1 day 16 hours ago
Joined: 13.09.2011 - 22:55
Posts: 9209

В 2-ке слева участок фиброза или чего-то хуже. В средостении ничего не видно, аорта искривлена. Надо делать желудок и смотреть.

Катенёв Валентин Львович's picture
Offline
Last seen: 7 years 4 months ago
Joined: 22.03.2008 - 22:15
Posts: 54876

И.Бондаренко wrote:

Надо делать желудок и смотреть.

Исследование ЖКТР, с досмотром проведено, зацепиться не за что.

Наталия's picture
Offline
Last seen: 8 years 11 months ago
Joined: 30.07.2008 - 13:24
Posts: 538

Есть объёмное уменьшение левого лёгкого?

Nikolas's picture
Offline
Last seen: 1 week 3 days ago
Joined: 21.12.2010 - 20:37
Posts: 4560

т.к. левая и правая половины диафрагмы находятся на одинаковом уровне, имеется смещение тени средостения влево, необычное положение азиго-пищеводной тени, повышение прозрачности правого легкого. Дополнительная тень на фоне сердца. См. рисунок. Все это может указывать на ателектаз 10 сегмента нижней доли левого легкого, а может быть и более. Такое суждение можно сделать по обзорной рентгенограмме в прямой проекции. Нужна левая боковая рентгенограмма.

Приложения: 
1.dscn1328.jpg
Катенёв Валентин Львович's picture
Offline
Last seen: 7 years 4 months ago
Joined: 22.03.2008 - 22:15
Posts: 54876

Через 1 месяц

Приложения: 
1.dscn1331a.jpg2.dscn1331av.jpg3.dscn1332.jpg4..dscn1332p.jpg5.dscn1332pr.jpg
Катенёв Валентин Львович's picture
Offline
Last seen: 7 years 4 months ago
Joined: 22.03.2008 - 22:15
Posts: 54876

Вот интересная штукенция...

Приложения: 
1.dscn1331.jpg2.dscn1331auk.jpg3.dscn1331yachs.jpg4.dscn1331yachsms.jpg