You are here

Непонятка осталась и после дообследования...

Пол пациента: 
Тип патологии: 
Методы исследования: 

Непонятка осталась и после дообследования...

  • https://radiomed.ru/sites/default/files/styles/case_slider_image/public/user/12/2.dscn1326.jpg?itok=48MWiBRq
  • https://radiomed.ru/sites/default/files/styles/case_slider_image/public/user/12/3.dscn1326a.jpg?itok=AUFU8713
  • https://radiomed.ru/sites/default/files/styles/case_slider_image/public/user/12/4.dscn1327.jpg?itok=VB4ojF-5
  • https://radiomed.ru/sites/default/files/styles/case_slider_image/public/user/12/5.dscn1327a.jpg?itok=T0bXpYqm
ID:27641
Dr.Drug's picture
Offline
Last seen: 8 years 2 months ago
Joined: 01.11.2008 - 20:21
Posts: 464

Доброго времени суток.

Срезы близки к срединному, а какой из них вентральный, какой дорзальный - не угадаю. Если первая пара "выше" второй, то я бы подумал на размазанное сочленение 1-го левого ребра с грудиной - мне кажется, он более кальцинирован.

С уважением, А.В.Коробейников

brainmodel's picture
Offline
Last seen: 7 months 3 weeks ago
Joined: 18.03.2010 - 22:04
Posts: 2881

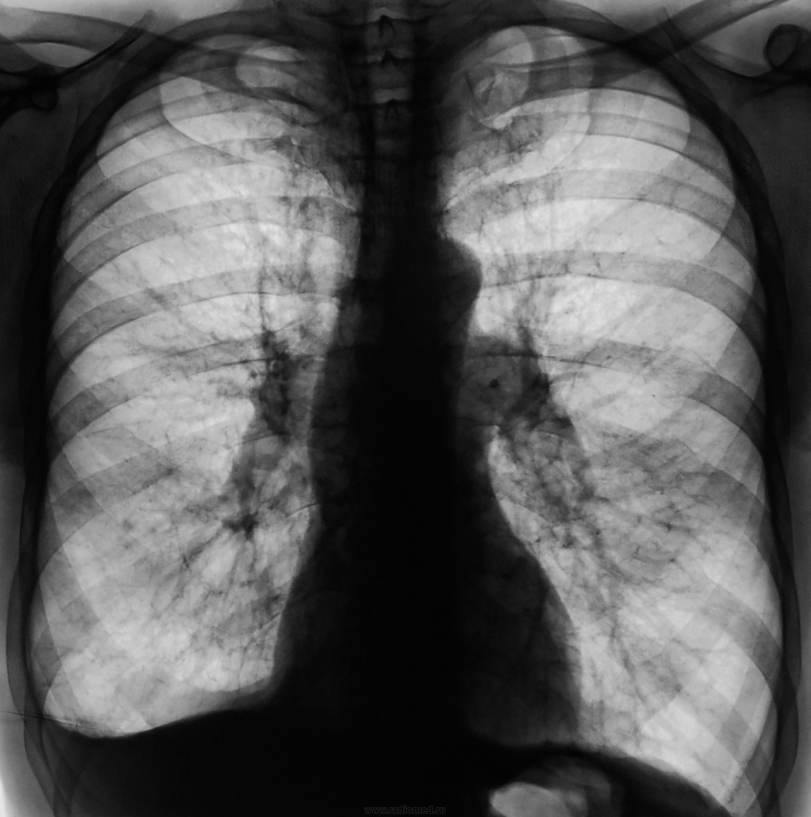
Снимок №2 - более дорзальный (предположу 9-10 см), №3 - его обработка, №4 - более вентральный срез, №5 - его обработка. Валентин Львович, отчего же Вы брезгуете указать см на снимках. S1-2 слева и S10 справа кажутся "заплеванными". Синус справа облитерирован. Корни уплотнены. Эмфизема хороша. Плевро-перикардиальные спайки слева. 

На активность как-то не тянет, возможно (и скорее всего) это архивчик. Что с анамнезом и фл.архивом?

Verum plus uno esse non potest.

И.Бондаренко's picture
Offline
Last seen: 4 days 15 hours ago
Joined: 13.09.2011 - 22:55
Posts: 9213

Латерограмму или УЗИ плевральных не проводили?

Сан Саныч1's picture
Offline
Last seen: 1 year 4 months ago
Joined: 07.06.2010 - 21:17
Posts: 2114

Последствия тбц.

Хочешь сделать что-то нормально - сделай это сам!