You are here

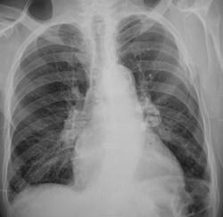
Взяли на контроль после "флюшки".

Пол пациента: 
Тип патологии: 
Методы исследования: 

Взяли на контроль  после "флюшки".

  • https://radiomed.ru/sites/default/files/styles/case_slider_image/public/user/12/12.dscn1389.jpg?itok=0P3fgO76
ID:27907
Нормандия's picture
Offline
Last seen: 12 years 2 months ago
Joined: 10.11.2012 - 10:49
Posts: 81

очень тут хочется томо серединный срез))))) С корешками "поиграться"))).......и аорта тут красивая)))

И,может, все же прав поэт? Не верится,что это враки. Чем ближе узнаю людей,тем больше нравятся собаки.

Сан Саныч1's picture
Offline
Last seen: 1 year 4 months ago
Joined: 07.06.2010 - 21:17
Posts: 2114

На контроль как R+?

Хочешь сделать что-то нормально - сделай это сам!

алкс's picture
Offline
Last seen: 10 years 5 months ago
Joined: 24.10.2012 - 22:55
Posts: 2915

Сан Саныч1 wrote:

На контроль как R+?

Похоже возраст, но есть группа кальцинированных узлов, т.е. R+ пока.

Катенёв Валентин Львович's picture
Offline
Last seen: 7 years 5 months ago
Joined: 22.03.2008 - 22:15
Posts: 54876

Сан Саныч1 wrote:

На контроль как R+?

Нет, не как рентген- положительный. По картинке то - да, раньше, по всей видимости болел, болел  без дураков. Но в туб кабинете его не помнят.

Катенёв Валентин Львович's picture
Offline
Last seen: 7 years 5 months ago
Joined: 22.03.2008 - 22:15
Posts: 54876

алкс wrote:

Похоже возраст, но есть группа кальцинированных узлов, т.е. R+ пока.

Да, кальцификатов до фига.

Катенёв Валентин Львович's picture
Offline
Last seen: 7 years 5 months ago
Joined: 22.03.2008 - 22:15
Posts: 54876

Нормандия wrote:

С корешками "поиграться"...

... плиз...

Приложения: 
1.dscn1390.jpg2.dscn1391.jpg3.dscn1391a.jpg4.dscn1392.jpg5.dscn1392a.jpg6.dscn1393.jpg7.dscn1393a.jpg
maker4ik's picture
Offline
Last seen: 9 years 1 week ago
Joined: 19.10.2011 - 17:49
Posts: 2682

А корни на саркоидозные не похожи?

Катенёв Валентин Львович's picture
Offline
Last seen: 7 years 5 months ago
Joined: 22.03.2008 - 22:15
Posts: 54876

maker4ik wrote:

А корни на саркоидозные не похожи?

Интересная мысль

maker4ik's picture
Offline
Last seen: 9 years 1 week ago
Joined: 19.10.2011 - 17:49
Posts: 2682

Катенёв Валентин Львович wrote:

maker4ik wrote:

А корни на саркоидозные не похожи?

Интересная мысль

Ну вроде ж "скорлупа". Или нет?

Катенёв Валентин Львович's picture
Offline
Last seen: 7 years 5 months ago
Joined: 22.03.2008 - 22:15
Posts: 54876

maker4ik wrote:

Ну вроде ж "скорлупа". Или нет?

А, скорлупа характерна для саркоидоза?

maker4ik's picture
Offline
Last seen: 9 years 1 week ago
Joined: 19.10.2011 - 17:49
Posts: 2682

Не знаю, но в лекции у меня "скорлупа ореха" написана!

Катенёв Валентин Львович's picture
Offline
Last seen: 7 years 5 months ago
Joined: 22.03.2008 - 22:15
Posts: 54876

При силикозе тоже скорлупа...

stovbav's picture
Offline
Last seen: 2 years 7 months ago
Joined: 20.12.2009 - 17:28
Posts: 7066

Мне сдается все это - "дела давно минувших дней"))))

Катенёв Валентин Львович's picture
Offline
Last seen: 7 years 5 months ago
Joined: 22.03.2008 - 22:15
Posts: 54876

stovbav wrote:

Мне сдается все это - "дела давно минувших дней"))))

+1

А правый корень?

stovbav's picture
Offline
Last seen: 2 years 7 months ago
Joined: 20.12.2009 - 17:28
Posts: 7066

Катенёв Валентин Львович wrote:

stovbav wrote:

Мне сдается все это - "дела давно минувших дней"))))

+1

А правый корень?

Это другой разговор...там л\узлы "посвежее"...только  нет полной уверенности, что именно они....

Катенёв Валентин Львович's picture
Offline
Last seen: 7 years 5 months ago
Joined: 22.03.2008 - 22:15
Posts: 54876

stovbav wrote:

Это другой разговор...там л\узлы "посвежее"...только  нет полной уверенности, что именно они....

А, что на Ваш взгляд уважаемый Виктор Григорьевич?

stovbav's picture
Offline
Last seen: 2 years 7 months ago
Joined: 20.12.2009 - 17:28
Posts: 7066

Катенёв Валентин Львович wrote:

 ....что на Ваш взгляд....

Как то теряюсь между центральным новообразованием и просто - артериальной гипертензией...если бы не ТАКИЕ л\узлы слева, "смазывающие" левый корень...

Нормандия's picture
Offline
Last seen: 12 years 2 months ago
Joined: 10.11.2012 - 10:49
Posts: 81

думаю,что лимфоаденопатия справа присутствует,легочная гипертензия тоже есть-никуда не денешься. Отдать клиницистам с динамическим контролем. Вам, Валентин Львович,за томо спасибо)))))

И,может, все же прав поэт? Не верится,что это враки. Чем ближе узнаю людей,тем больше нравятся собаки.

Катенёв Валентин Львович's picture
Offline
Last seen: 7 years 5 months ago
Joined: 22.03.2008 - 22:15
Posts: 54876

Нормандия wrote:

Вам, Валентин Львович,за томо спасибо)))))

Ну, а в протоколе что писать?

арти's picture
Offline
Last seen: 12 years 6 months ago
Joined: 26.02.2012 - 11:23
Posts: 490

Может это перенесенный в далеком детстве бронхоаденит? Ну тогда дела давно минувших дней ,и пациента отпустим... Впрочем наверное не отпустим. В верхних отделах средостения справа нечто, похожее на онкологию

Катенёв Валентин Львович's picture
Offline
Last seen: 7 years 5 months ago
Joined: 22.03.2008 - 22:15
Posts: 54876

арти wrote:

Может это перенесенный в далеком детстве бронхоаденит? Ну тогда дела давно минувших дней ,и пациента отпустим... 

А правый корень?

Леонид's picture
Offline
Last seen: 9 years 5 months ago
Joined: 13.01.2011 - 19:33
Posts: 445

Лимфоузлы корня правого лёгкого калцинированы не скорлупообразно. Типичный случай естественной туберкулёзной прививки.

Приложения: 
koren.png
арти's picture
Offline
Last seen: 12 years 6 months ago
Joined: 26.02.2012 - 11:23
Posts: 490

Думаю, Леонид прав