Пол пациента:
Тип патологии:
Область исследования:
Методы исследования:
- https://radiomed.ru/sites/default/files/styles/case_slider_image/public/user/12/2.dscn1501.jpg?itok=BTq4EaiJ
- https://radiomed.ru/sites/default/files/styles/case_slider_image/public/user/12/3.dscn1501ab.jpg?itok=-SSrQ0uB
- https://radiomed.ru/sites/default/files/styles/case_slider_image/public/user/12/4.dscn1502.jpg?itok=XnKFKqMJ
- https://radiomed.ru/sites/default/files/styles/case_slider_image/public/user/12/5.dscn1502ab.jpg?itok=qn8hJL4x
ID:28071
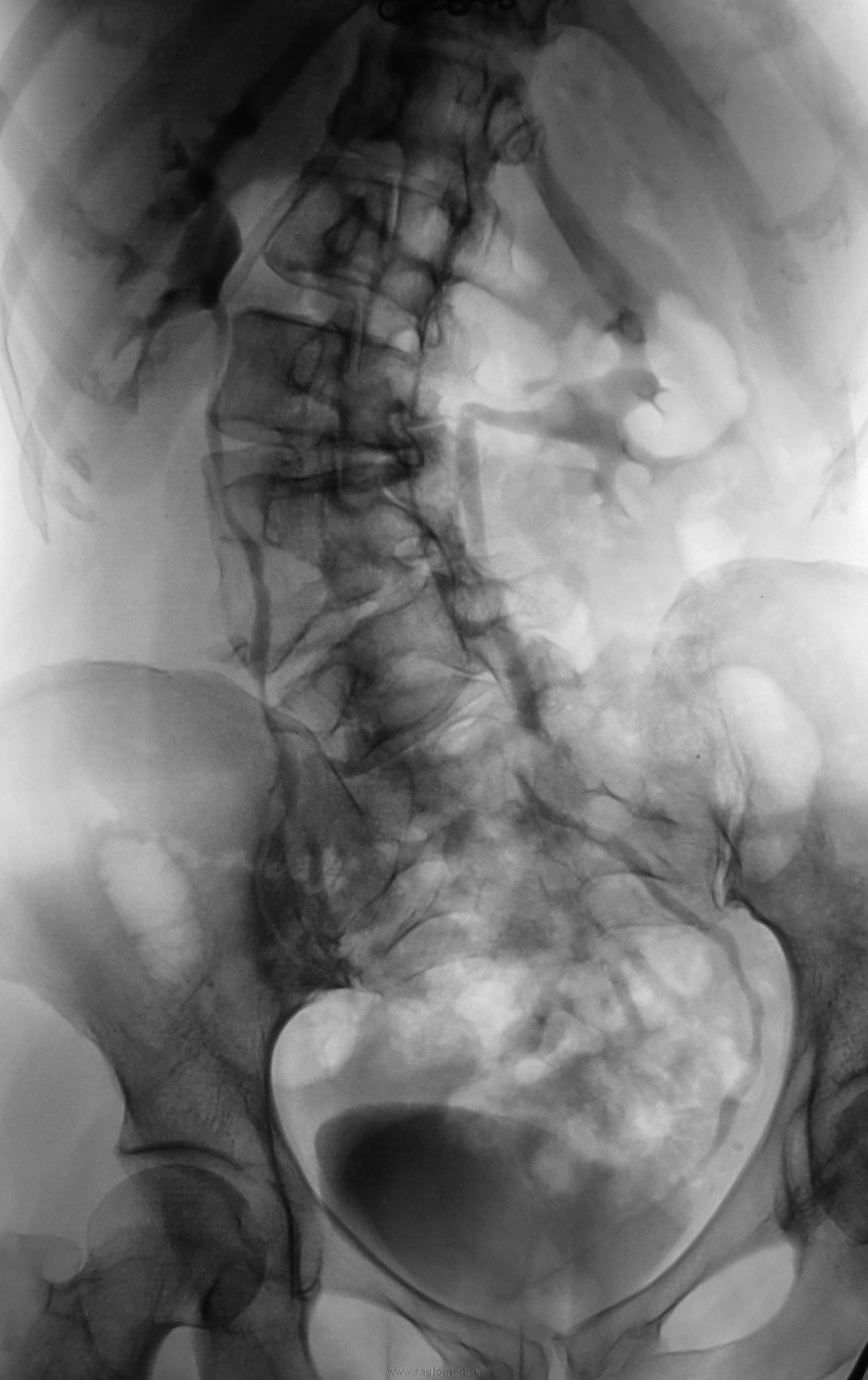
Урогрофия удалась, патологиии я не выяввил.
Однако на топографических проблемах и перегибе практически под прямым углом ЛМС слева акцентировать внимание не помешало бы))))
Болезни ног: виды, симптомы, причины, профилактика и лечение
Я, наверное, придираюсь, но справа шейки чашечек выглядят спазмированными.
Насчет спазма шеек чашечек не знаю))), но вот левый мочеточник (даже при измененных соотношениях) впадает в пузырь как-то справа. Интересно, что хотели доктора от в/в. Может, это демонстрация аномалии позвоночника?
С уважением,
Просто это прекрасный наглядный пример, чем чреват сколиоз)))
Болезни ног: виды, симптомы, причины, профилактика и лечение
"но вот левый мочеточник (даже при измененных соотношениях) впадает в пузырь как-то справа"
--------------------------------------------------------------------------------------------------------------------------------------------------------------
имхо: Можно предположить, что получается так проекционно, по причине сколиотической деформации( таз как бы ротируестя в фронтальной плоскости по часовой стрелке; не исключается вариант и дистопии устья правого мочеточника.
Пациентка обследуется в областной онкологической "конторе" по поводу рака шейки матки. Вот они, чтобы себя не утруждать и направляют пациентов "дообследоваться" по месту жительства.
Этой пациенте из областной конторы было назначено ОГК, ЖКТр, ирригоскопия и внутривеная урография.