Зная о последующих событиях можно сказать о патологии левого корня на архивной флюорограмме.После драки мы все сильны кулаками помахать.Не ведая будущего-за норму может проскочить.
Зная о последующих событиях можно сказать о патологии левого корня на архивной флюорограмме.После драки мы все сильны кулаками помахать.Не ведая будущего-за норму может проскочить.
Нет, за "норму" (рентгенологических) не проскочило, но вот клиницисты... манкировали выявленное.
Начнём с центрального рака слева.Ждём бока и томки.
Увеличенное сердце, пневмосклероз. Больше без левого бока ничего не скажу.
Флюшка за 2012 год, а снимки "от вчера".
Динамика отрицательная.Хочется томограмм и мнений коллег.
Центральное новообразование левого легкого, гиповентиляция верхней доли. Однако, в шестерочке что-то нечеткое затенилось.
Verum plus uno esse non potest.
+1. Даже не знаю, что принципиально нового дадут ТГ. Только про шестерку, разве.
С уважением,
Плеврит-то есть(междолевой).А где сама опухоль?Сомнения возникли.
Спереди осталась...
С уважением,
Да,Алексей Станславович,похоже не в срезе она,но ведь она существует.Жалко,ФБС там нет.
ФБС нет, это правда. Но архив есть, архив - великое дело.
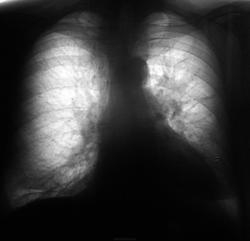
Вот флюшка, за год до "этого", когда был выявлен рак...
Зная о последующих событиях можно сказать о патологии левого корня на архивной флюорограмме.После драки мы все сильны кулаками помахать.Не ведая будущего-за норму может проскочить.
Нет, за "норму" (рентгенологических) не проскочило, но вот клиницисты... манкировали выявленное.
Совесть рентгенолога чиста,глаз его зорок.