You are here

Инородные тела

Пол пациента: 
Тип патологии: 
Методы исследования: 

  • https://radiomed.ru/sites/default/files/styles/case_slider_image/public/user/406/inor2..jpg?itok=PQPcI_7c
ID:28372
Almo's picture
Offline
Last seen: 1 day 10 hours ago
Joined: 28.09.2008 - 18:50
Posts: 8282

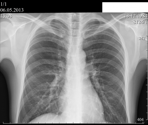
Пациент 28 лет.По поводу травмы рёбер назначена R-графия грудной клетки. Признаков травматических повреждений не нашли, но нашли другое. Работает на деревообрабатывющем стаке, проходил срочную службу. Жалоб связанных с ниходкой не предъявляет.На коже следов проникновения инородных тел нет. Чем могут быть обусловлены находки?

Наталия Васильевна's picture
Offline
Last seen: 5 years 10 months ago
Joined: 25.09.2011 - 09:02
Posts: 754

С тем, что у пациента нет "заостренности" на своем самочувствии-когда-то что то отскочило от станка, поболело и ладно.

Сергей Кузьминов's picture
Offline
Last seen: 1 year 1 month ago
Joined: 06.10.2012 - 15:51
Posts: 11813

Металлическая окалина в мягких тканях.Соблюдайте технику безопасности.

И.Бондаренко's picture
Offline
Last seen: 2 days 21 hours ago
Joined: 13.09.2011 - 22:55
Posts: 9208

Иногда и в пионерских лагерях "шутили". При скопии посмотреть. Но, кажется, что всё это в лёгких. Он случайно не охотник.

Almo's picture
Offline
Last seen: 1 day 10 hours ago
Joined: 28.09.2008 - 18:50
Posts: 8282

На скопии смотрел, да это в лёгких ( только вопрос, как металл туда проник, если на коже нет следов проникновения). Это точно не металлическая стружка, так по форме инородные тела строго шаровидной формы).

-----------------------------------------------------------------------------------------------------------------------------------------------------

"Он случайно не охотник." Вы намекаете на дробь- это точно не дробь и дробь при таком массовом поражении что-то оставила бы на коже.

Сергей Кузьминов's picture
Offline
Last seen: 1 year 1 month ago
Joined: 06.10.2012 - 15:51
Posts: 11813

Сильно интересно как это получилось.Сам то он ничего не говорил?

Almo's picture
Offline
Last seen: 1 day 10 hours ago
Joined: 28.09.2008 - 18:50
Posts: 8282

"Сам то он ничего не говорил?"

------------------------------------------------------------------------------------------------------------------------------------------------------------

Он говорит, что ничего могло бы привести к подобным изменениям у него не было (ранение, характер работы и т.д). 

brainmodel's picture
Offline
Last seen: 3 months 3 weeks ago
Joined: 18.03.2010 - 22:04
Posts: 2881

Инъекции металлической ртути у любителей "поторчать", когда ширева другого нет, выглядят несколько иначе. Однако, попытать в этом направлении стоит пациента...

Verum plus uno esse non potest.

Almo's picture
Offline
Last seen: 1 day 10 hours ago
Joined: 28.09.2008 - 18:50
Posts: 8282

Инъекции металлической ртути у любителей "поторчать", когда ширева другого нет, выглядят несколько иначе.

-----------------------------------------------------------------------------------------------------------------------------------------------------------------------------------------------------

Мы с коллгами на работе думаем, что это всего скорее ртуть. Но, путь проникновения в организм, вероятно иной. Может быть случайно когда-то вдохул ртуть , например когда разил градусник-ртуть попала в трахео-бронхиальное дерево и и спуситалась в бронхи нижних отделов лёгких. Я спрашивал об этом пациента, но он говорит, что такого не помнит. Но, это только версия...