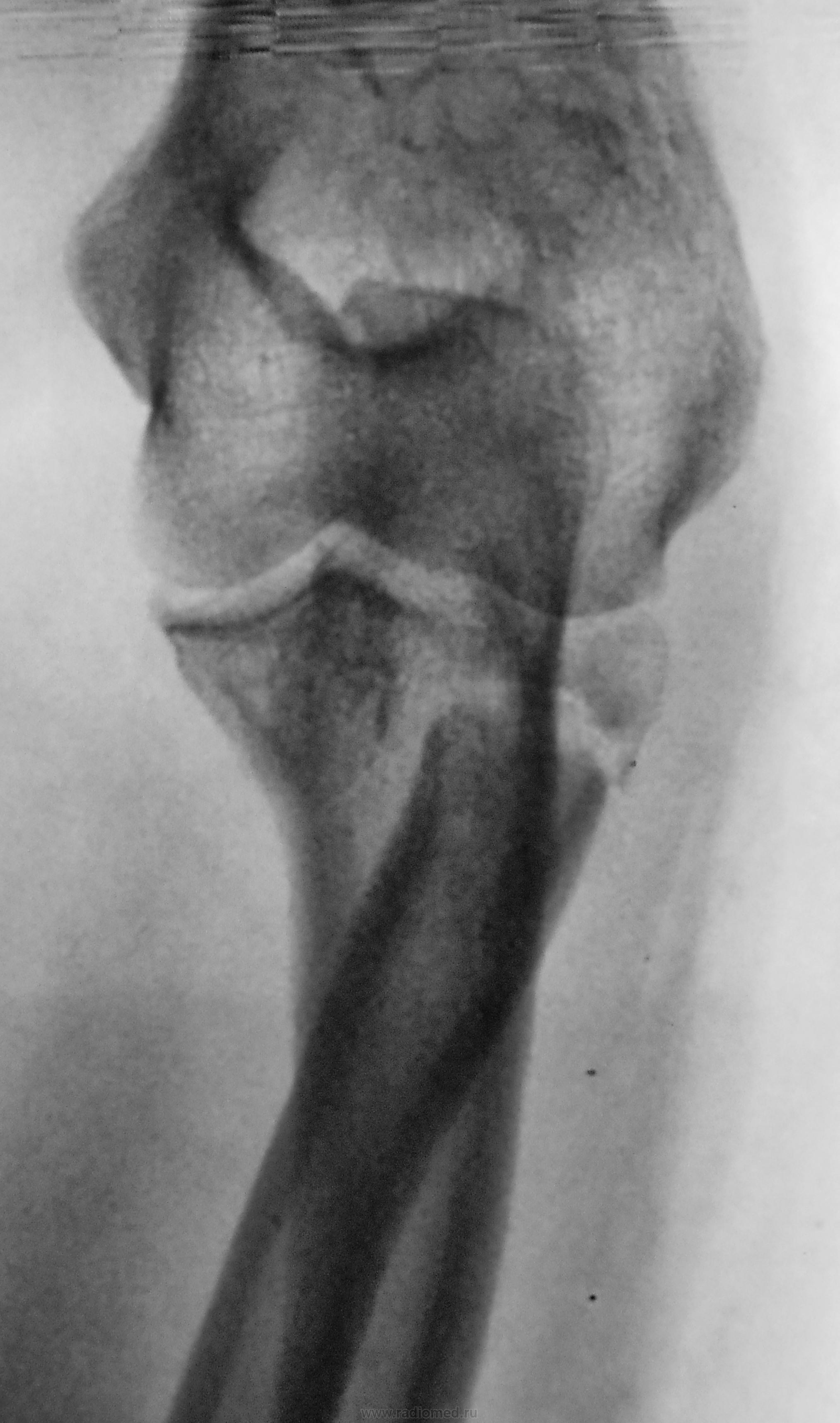
Пол пациента: Женский пол Тип патологии: Травма Область исследования: Скелетно-мышечная система Методы исследования: Rg После лечения направлен на рентген-контроль для подтверждения консолидации https://radiomed.ru/sites/default/files/styles/case_slider_image/public/user/12/2.dscn1622a.jpg?itok=S1eF-zXd https://radiomed.ru/sites/default/files/styles/case_slider_image/public/user/12/3.dscn1623.jpg?itok=X2Hg0JZv https://radiomed.ru/sites/default/files/styles/case_slider_image/public/user/12/4.dscn1623a.jpg?itok=NNPpyqMN ID:28492 Tue, 14/05/2013 - 22:50 #1 Сергей Кузьминов Offline Last seen: 1 year 2 months ago Joined: 06.10.2012 - 15:51 Posts: 11813 Не подтверждается консолидация. Tue, 14/05/2013 - 23:52 #2 И.Бондаренко Offline Last seen: 16 hours 36 min ago Joined: 13.09.2011 - 22:55 Posts: 9208 А как было вначале лечения? Wed, 15/05/2013 - 15:31 #3 Катенёв Валенти... Offline Last seen: 7 years 2 months ago Joined: 22.03.2008 - 22:15 Posts: 54876 Первичных снимков нет. Были сделаны в областном центре, там и остались, наруки не выдали. Thu, 16/05/2013 - 20:49 #4 Роман Муравьев Offline Last seen: 4 years 11 months ago Joined: 02.10.2010 - 20:09 Posts: 191 А это чего? отломок от головки лучевой так сместился?Приложения:
Не подтверждается консолидация.
А как было вначале лечения?
Первичных снимков нет. Были сделаны в областном центре, там и остались, наруки не выдали.
А это чего? отломок от головки лучевой так сместился?