Пол пациента:
Тип патологии:
Область исследования:
Методы исследования:
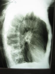
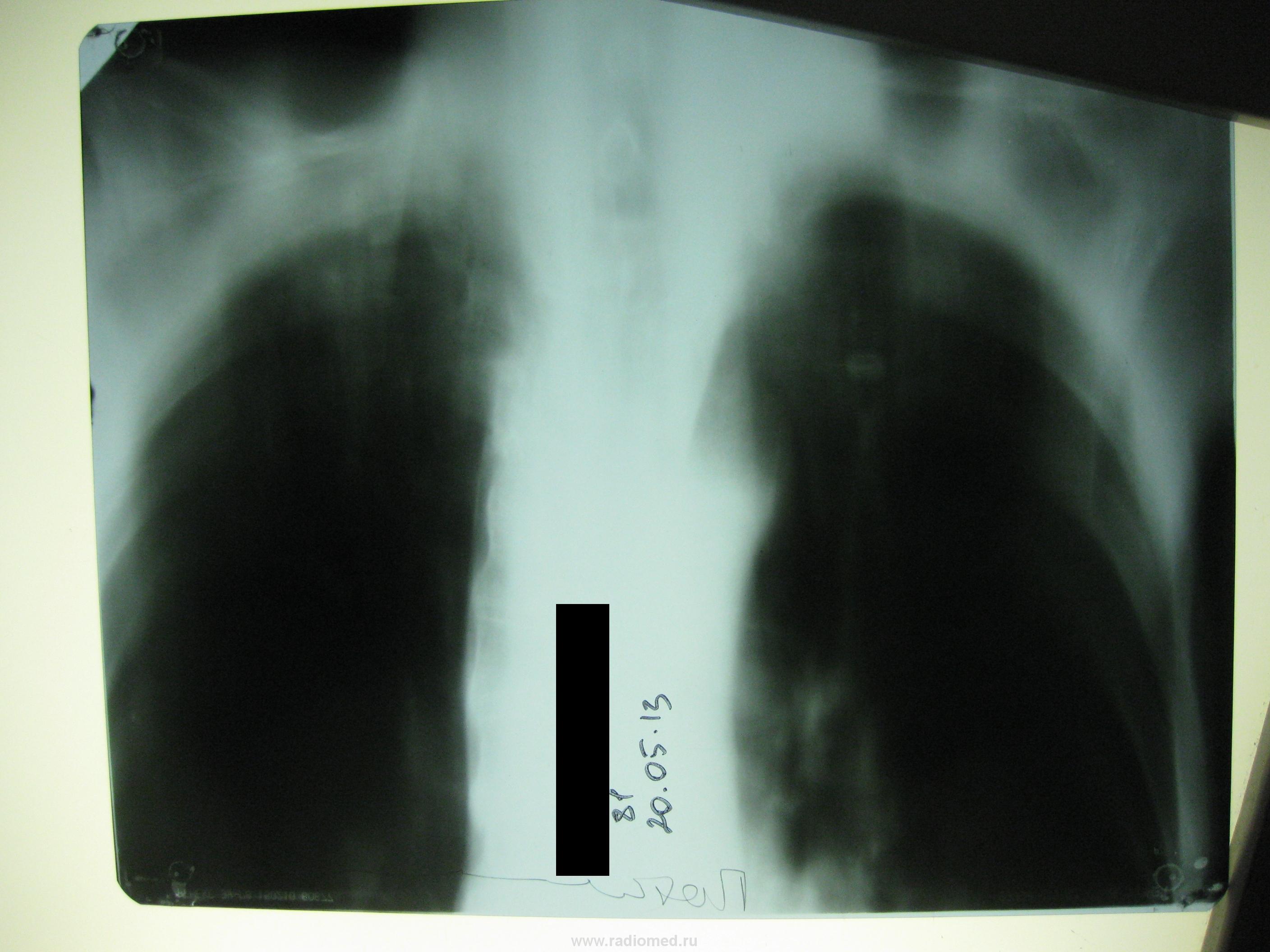
здравствуйте, уважаемые коллеги! Приехал в нашу ЦРБ сегодня дедушка из деревни, фельдшер пишет обострение хронического бронхита. Сам малоконтактен, говорит что кашляет, анализов пока никаких. Показались очаги справа на верхушке. Слева в нижней доле инфильтрация? Хотелось бы услышать ваше мнение. Спасибо!
По томограммам ничего не скажу, потому что ничего не видно (мне). А инфильтрация - она и есть инфильтрация (пока, во всяком случае). А клиника-то пневмонии есть? Если при такой инфильтрации её нет - подозрительно.
С уважением,
Дедушка глухой, немного неадекватный, все что я поняла, что "кашляет пузырями". Про температуру он не знает, не мерил.
"Совершенно ясно, что даже высококвалифицированному рентгенологу необходим хороший снимок" . В кн.: Ошибки в клинике легочного туберкулеза, Медгиз, 1941 г.
Недавно работаю. Мне периодически обрезают снимки... Не знаю прям что делать.. Фокусное расстаяние увеличивать заставлять?
Слева пневмония.Остального увидеть нельзя.
Раньше рентгенологи "заставляли" переделывать снимки, пока не получали то, что надо.)))
С уважением,
Наши рентгенлаборанты любят чтобы им показывали как надо )))
А что показывать-то? Легкие - не Шюлер-Майер-Стенверс. А уж проявочная (и правильное фиксирование снимков) - вообще их забота.
С уважением,
Говорят, что пациент высокий и не входит на пленку, они ни в чем не виноваты, вот так. )
Если пациент высокий можно на двух кассетах,два раза снять.А вообще,не стесняйтесь заставлять,поснимают и научатся.
Пневмония в 10ке слева.
Точно ли в десятке?
Спасибо, коллеги, за комментарии
я тоже думаю что S10
Вы покажите. Только предварительно предупредите, что потом будут санкции. Когда десятый раз подряд сделают, сами не захотят портачить. Вначале лечите пневмонию. Дальнейший контроль покажет правы мы или нет. В таком возрасте может выскочить всё, что угодно.
Надо просто поменять кассету и использовать плёнку 35 х 35 см.
А третий срез, на мой взгляд, довольно "гниловат", жалко, что качество такое.
Берете рулетку, совместно с лаборантом (одному не справиться), отмечаете полтора метра от касетодержателя на вертикальном штативе, и маркируете на полу маркером.
Андрей Юрьевич
Лаборанты - лаборантоми, но предлогаю вернуться к снимкам.
Левое легкое явно отличается по прозрачности от правого: и межреберные промежутки, и обеднение легочного рисунка. Боковой снимок - правый или левый?неясно.
Сделать бы Р-гр. левый бок и прямой снимок с захватом н\отд.
Мое мнение, что пневмония вторичная.
Это левый боковой снимок ) Еще и неправильно подписан (
будет?
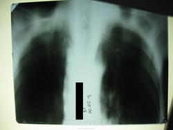
будет ) Сегодня сделали снимки, я посмотрела, все на том же месте. В понедельник описывать буду и сфотаю
Второй день забываю фотоаппарат.. Картина в точности такая же, как на первом снимке. Написала хронический бронхит
???
.
С уважением,
Алексей Станиславович, а что бы вы предположили?
Я не по поводу предположений. Я по поводу хронического бронхита в рентгенологическом заключении вообще. Да и в частности - какой такой бронхит даст локальное изменение прозрачности легочной ткани? А ведь оно явно видно и на плохих представленых снимках. А если еще и без динамики - совсем нехорошо. Лучше бы, конечно, увидеть здесь качественные снимки в динамике, еще лучше - качественную томографию бронхиального дерева и зоны локальных изменений в легком ( в идеале - РКТ). Да и бронхоскопия не помешала бы (потом).
С уважением,
Да, локально.. Мне тоже кажется что-то тут нечисто.. Советовалась со своим гуру с сороколетним стажем. он сказал что хронический бронхит. Думаю надо посоветовать сделать бронхоскопию. КТ в нашей ЦРБ нет к сожалению
Разговаривала с клиницистами, они сразу мне сказали что на пневмонию клиника не тянет
Не успел опередить Алексея Станиславовича.Если при такой картине нет динамики-дело тревожное.Если нет клиники-ещё тревожнее на тему онкологии.Если имеете возможность-дообследуйте.Приотсутствии динамики-не о бронхите разговор.
Спасибо, коллеги! Посоветую бронхоскопию
А попробовать ещё можно линейную томографию,коли нет компьютерной.Взять надо ниже представленных томограмм и срезы начать бы с 6см.
Завтра вызову. Блин, надеюсь, не выписали его
ТМГ бы сделал на левый корень!!!
Выписали.. плохо дело