Валентин Львович, конечно больше всего это соответствует нейро - трофическим изменениям, а какой проды - это вопрос... А мягкотканный узел в подмышечной впадине еще больший вопрос...
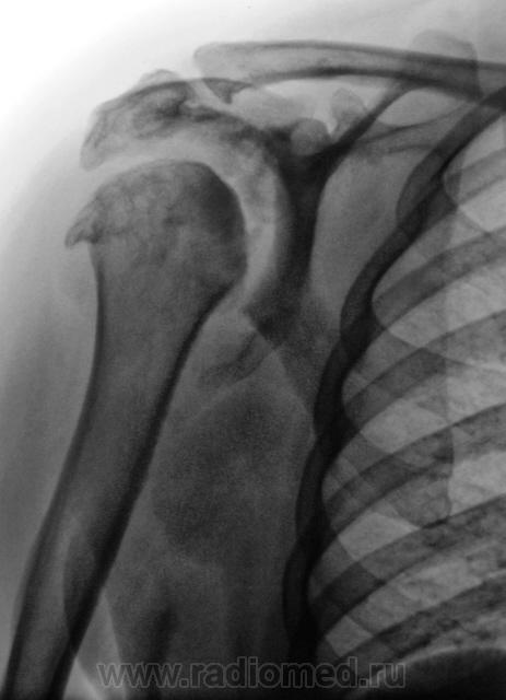
Где же подевался плечевой отросток лопатки? Что за мягкотканный компонент в подмышечной области? Костные разрастания само собой...это видно...
Если бы и конгруэнтность суставной поверхности плечевой кости была бы нарушена - предположил бы сирингомиелию...пока в раздумии, задачка не из простых....
Да патология весьма интересная. Мы долго ломали голову взвешивая все "ЗА", проводя диф. диагностику между сирингомиелией и волчанкой.
Но данный случай имеет и другой, а именно, "коллегиальный аспект". Пациентка обратилась к хирургу по поводу болей в плечевом суставе. Коллега хирург не желая вникать в подробности, сразу-же выписал направление на рентгенографию плечевого сустава, выставил формальный диагноз - "деформирующий артроз". Пациентка исчезла, где-то на месяц, но затем явилась за заключением, так как "обновляет группу". Каково-же было удивление, когда при анализе амбулаторной карты, было выявлено "море исследований", проведенных ранее, включая КТ, МРТ и т.д. и т.п., и диагноз "Сирингомиелия" проходил "красной нитью".
Не хотят коллеги высказать мнение, не хотят поделиться своими соображениями.
Валентин Львович, конечно больше всего это соответствует нейро - трофическим изменениям, а какой проды - это вопрос... А мягкотканный узел в подмышечной впадине еще больший вопрос...
Где же подевался плечевой отросток лопатки? Что за мягкотканный компонент в подмышечной области? Костные разрастания само собой...это видно...
Если бы и конгруэнтность суставной поверхности плечевой кости была бы нарушена - предположил бы сирингомиелию...пока в раздумии, задачка не из простых....
Болезни ног: виды, симптомы, причины, профилактика и лечение
Да патология весьма интересная. Мы долго ломали голову взвешивая все "ЗА", проводя диф. диагностику между сирингомиелией и волчанкой.
Но данный случай имеет и другой, а именно, "коллегиальный аспект". Пациентка обратилась к хирургу по поводу болей в плечевом суставе. Коллега хирург не желая вникать в подробности, сразу-же выписал направление на рентгенографию плечевого сустава, выставил формальный диагноз - "деформирующий артроз". Пациентка исчезла, где-то на месяц, но затем явилась за заключением, так как "обновляет группу". Каково-же было удивление, когда при анализе амбулаторной карты, было выявлено "море исследований", проведенных ранее, включая КТ, МРТ и т.д. и т.п., и диагноз "Сирингомиелия" проходил "красной нитью".
А для волчанки, такая картина, не характерна.