You are here

Пациент дообследован.

Пол пациента: 
Тип патологии: 
Методы исследования: 

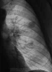
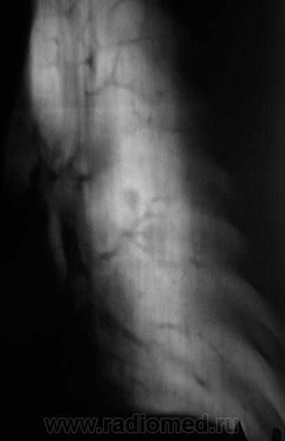
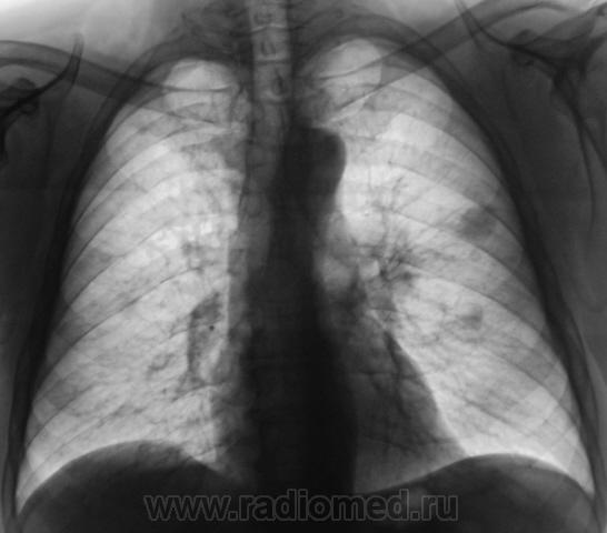
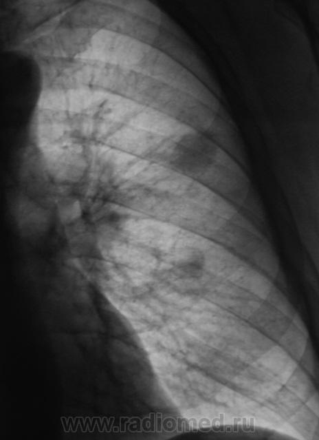
Пациент "взят на контроль" при расшифровке цифровых флюорограмм, дообследован - рентгенография в стандартных проекциях. Ваше мнение коллеги?

Произведены томограммы.

  • https://radiomed.ru/sites/default/files/styles/case_slider_image/public/user/12/12.Doobsledovanie.JPG?itok=ICEIP1dS
  • https://radiomed.ru/sites/default/files/styles/case_slider_image/public/user/12/13.Doobsledovanie..JPG?itok=55-Q-Sqs
  • https://radiomed.ru/sites/default/files/styles/case_slider_image/public/user/12/14.Doobsledovanie.jpg?itok=fNOfm9iy
  • https://radiomed.ru/sites/default/files/styles/case_slider_image/public/user/12/15_Tomogrammy.JPG?itok=DvaSDYIt
  • https://radiomed.ru/sites/default/files/styles/case_slider_image/public/user/12/16.Tomogrammy.JPG?itok=wEzoh_BK
  • https://radiomed.ru/sites/default/files/styles/case_slider_image/public/user/12/17.Tomogrammy.JPG?itok=eSD39TlG
  • https://radiomed.ru/sites/default/files/styles/case_slider_image/public/user/12/18_tomogrammy.jpg?itok=Hj8WHm9q
  • https://radiomed.ru/sites/default/files/styles/case_slider_image/public/user/12/19.Tomogrammy.JPG?itok=B1NMwaU-
  • https://radiomed.ru/sites/default/files/styles/case_slider_image/public/user/12/20_tomogrammy.jpg?itok=2vdkOO8w
  • https://radiomed.ru/sites/default/files/styles/case_slider_image/public/user/12/21.Tomogrammy.JPG?itok=UuUW_eXQ
  • https://radiomed.ru/sites/default/files/styles/case_slider_image/public/user/12/22.Tomogrammy..JPG?itok=J0iGSWqk
  • https://radiomed.ru/sites/default/files/styles/case_slider_image/public/user/12/23.Tomogrammy..jpg?itok=cmTv19ZS
  • https://radiomed.ru/sites/default/files/styles/case_slider_image/public/user/12/24.Tomogrammy..jpg?itok=2B58RKRG
ID:251
lupan's picture
Offline
Last seen: 7 years 2 months ago
Joined: 07.01.2010 - 17:17
Posts: 1406

Пахнет периферическим c-r SIII лев. л-го, хотя на ТМГ он не получил должного отображения. Mts в лимфатич. узлы корня. Очаговые тени в легких вроде как связаны с сосудами...

Великое преймущество врача заключается в том, что он не обязан следовать собственным советам. ( А. Кристи)

Almo's picture
Offline
Last seen: 2 weeks 18 hours ago
Joined: 28.09.2008 - 18:50
Posts: 8302

MTS в правое и левое лёгкие, лимфатические узлы левого корня.

Катенёв Валентин Львович's picture
Offline
Last seen: 7 years 5 months ago
Joined: 22.03.2008 - 22:15
Posts: 54876

Спасибо за высказанные мнения.

Almo's picture
Offline
Last seen: 2 weeks 18 hours ago
Joined: 28.09.2008 - 18:50
Posts: 8302

Ну,это конечно предположительно( версия); если это окажеться MTS, то могу предположить, что первичная опухоль нежелезистого происхождения.

Катенёв Валентин Львович's picture
Offline
Last seen: 7 years 5 months ago
Joined: 22.03.2008 - 22:15
Posts: 54876

Но наши клиницисты решили .... провести противовоспалительную терапию.....

Сегодняшние снимки.

 

Приложения: 
1.Reshili_prolechit.JPG2._Reshili_prolechit.JPG3._Reshili_prolechit.jpg
Almo's picture
Offline
Last seen: 2 weeks 18 hours ago
Joined: 28.09.2008 - 18:50
Posts: 8302

Здравствуйте, Валентин Львович. Динамика отрицательная, не совсем понятно. каким субстрататом она обусловлена( инфильтрация (?) Неплохо, было бы посмотреть левый боковой снимок лёгких. А, какой диагноз ставят клиницисты ?

Катенёв Валентин Львович's picture
Offline
Last seen: 7 years 5 months ago
Joined: 22.03.2008 - 22:15
Posts: 54876

Это контроль после флюорографии. Рентгенологически выставлен метастатический процесс, рекомендована консультация онколога, но что-то тянут коллеги. Сам "инфильтрацию" расцениваю, как параканкрозную пневмонию. А боковой и томограммы в начале случая. Времени от "первых" снимков прошло 3 дня.

Катенёв Валентин Львович's picture
Offline
Last seen: 7 years 5 months ago
Joined: 22.03.2008 - 22:15
Posts: 54876

Пациенту произведена МРТ головного могза - множественные метастазы.

Almo's picture
Offline
Last seen: 2 weeks 18 hours ago
Joined: 28.09.2008 - 18:50
Posts: 8302

Здравствуйте, Валентин Львович! А, не известно где первичная опухоль?её гистологическое строение?

Катенёв Валентин Львович's picture
Offline
Last seen: 7 years 5 months ago
Joined: 22.03.2008 - 22:15
Posts: 54876

Здравствуйте коллега!

Пациент, сейчас в областном онкологическом диспансере, так, что данными не располагаю. Информацию по МРТ, сегодня получил от его сына.

Выставляю флюорограмму за 2009 год.

 

Приложения: 
1.FLYuOROGRAMMA...jpg