You are here

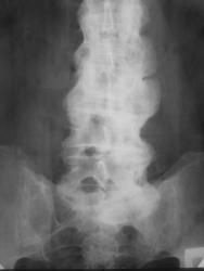
Архив. Пациент с клиникой болезни Бехтерева. Ваше мнение?

Пол пациента: 
Тип патологии: 
Область исследования: 
Методы исследования: 

Скованность позвоночника, ограничение подвижности позвоночника. Ваше мнение?


  • https://radiomed.ru/sites/default/files/styles/case_slider_image/public/user/1954/PICT3764.JPG?itok=mM_Qk95P
ID:319
stovbav's picture
Offline
Last seen: 2 years 6 months ago
Joined: 20.12.2009 - 17:28
Posts: 7066

Немного сомневаюсь, но что то крестцово подвздошные сочленеия слабо изменены, справа просматривается даже не в стандартной укладке, да и дугоотростчастый сустав просматривается справа в сегментеL4-5, с чего бы он сохранился при таком распространеиии... Есть над чем подумать. А так, с первого взгяда очень даже похоже.

Катенёв Валентин Львович's picture
Offline
Last seen: 7 years 4 months ago
Joined: 22.03.2008 - 22:15
Posts: 54876

Прошу прощения, но я чуть похулиганю.

 

Приложения: 
1.Pohuliganyu.jpg2.Pohuliganyu.jpg
stovbav's picture
Offline
Last seen: 2 years 6 months ago
Joined: 20.12.2009 - 17:28
Posts: 7066

Классно "похулиганили", теперь то уж точно не поверю, что Бехтерева...это опять Форестье...

Катенёв Валентин Львович's picture
Offline
Last seen: 7 years 4 months ago
Joined: 22.03.2008 - 22:15
Posts: 54876

Ну тогда, я еще похулиганю...

Катенёв Валентин Львович's picture
Offline
Last seen: 7 years 4 months ago
Joined: 22.03.2008 - 22:15
Posts: 54876

Продолжение хулиганства.

 

Приложения: 
1.HUL_..jpg2.HUL_.jpg3.HUL_..jpg4.HUL_.jpg
Катенёв Валентин Львович's picture
Offline
Last seen: 7 years 4 months ago
Joined: 22.03.2008 - 22:15
Posts: 54876

А это, что за "пространство"?

 

Приложения: 
1._PROSTRANSTVO..JPG2.PROSTRANSTVO..JPG
Наталия's picture
Offline
Last seen: 8 years 11 months ago
Joined: 30.07.2008 - 13:24
Posts: 538

В поясничном отделе наверно деформирующий спондилёз.

арнольд's picture
Offline
Last seen: 2 years 3 months ago
Joined: 22.12.2008 - 16:50
Posts: 196

Надо подумать о ревматизме. А сколько лет представителю снимка?

Dat.Dicat.Dedicat.

Анатолий Владимирович Шумаков's picture
Offline
Last seen: 8 years 1 month ago
Joined: 16.10.2009 - 21:16
Posts: 1941

Архив, точный возраст установить невозможно. ЭВМ и числовых аппаратов не было, был "Зенит 3М"...

stovbav's picture
Offline
Last seen: 2 years 6 months ago
Joined: 20.12.2009 - 17:28
Posts: 7066

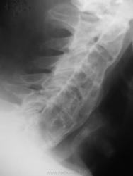
По поводу шейного отдела - не уверен, что там полость, структуризация и псевдополостность, очевидно, обьясняются длительностью процесса и слоями окостенения, вроде луковичных.

Катенёв Валентин Львович's picture
Offline
Last seen: 7 years 4 months ago
Joined: 22.03.2008 - 22:15
Posts: 54876

Написано было "пространство", а пространство, не есть синоним "полости".

stovbav's picture
Offline
Last seen: 2 years 6 months ago
Joined: 20.12.2009 - 17:28
Posts: 7066

Виноват..."полость" додумал уже сам...конечно логичнее - "пространство"....