Нужен совет

3 posts / 0 new
Last post
Михаил_Ш's picture
Offline
Last seen: 7 years 10 months ago
Joined: 08.02.2012 - 18:57
Posts: 45

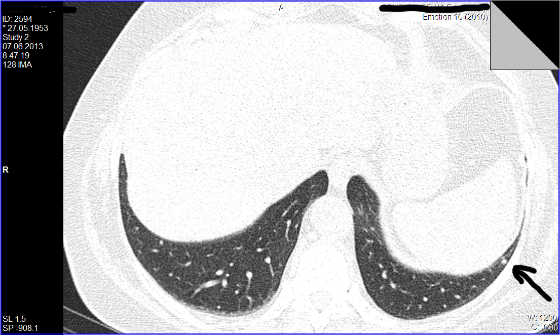
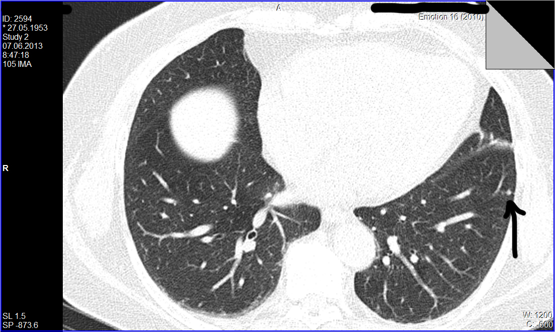
Уважаемые колеги, нужен совет более опытных чем я КТшников. А вопрос такой: как трактовать находки в виде одиночных мелких очагов в легких при относительно спокойном анамнезе.

Для примера приведу такой случай: из туб. диспансера направлена женщина после туб контакта, пожелавшая сделать кт легких. Жалоб нет, проведеные анализы без особеностей. Просмотрев томограммы я нашел только два единичных очага в базальных отделах левого легкого. Какая у вас тактика действий по поводу таких находок?

tatyana's picture
Offline
Last seen: 4 years 3 months ago
Joined: 24.06.2009 - 08:33
Posts: 2090

"самоуверенность дилетантов - предмет зависти профессионалов"

Михаил_Ш's picture
Offline
Last seen: 7 years 10 months ago
Joined: 08.02.2012 - 18:57
Posts: 45

спасибо)) 

Log in Register