You are here

Пневмония

Пол пациента: 
Тип патологии: 
Методы исследования: 

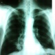
Пациент, 58 лет. Жалобы на  сухой кашель, невозможность глубоко вдохнуть, боли в грудной клетке слева, повыгение температуры до 39,5 С, сухость во рту, снижение аппетита. Какие предположения по поводу диагноза?

контроль через 13 дней

  • https://radiomed.ru/sites/default/files/styles/case_slider_image/public/user/18609/img_20130820_091844.jpg?itok=Puizhl1f
  • https://radiomed.ru/sites/default/files/styles/case_slider_image/public/user/18609/img_20130820_091932.jpg?itok=pxZAttZc
  • https://radiomed.ru/sites/default/files/styles/case_slider_image/public/user/18609/img_20130820_092002.jpg?itok=c5fnd1LR
  • https://radiomed.ru/sites/default/files/styles/case_slider_image/public/user/18609/img_20130820_092014.jpg?itok=lsAHe1hK
  • https://radiomed.ru/sites/default/files/styles/case_slider_image/public/user/18609/img_20130820_092032.jpg?itok=bk7husyT
ID:30901
Nikolas's picture
Offline
Last seen: 2 weeks 2 days ago
Joined: 21.12.2010 - 20:37
Posts: 4560

привожу цитату Г.Р. Рубинштейна. "Совершенно ясно, что даже высококвалифицированному рентгенологу необходим....хороший снимок". Ошибки в клинике легочного туберкулеза, 1941 г.

doctorrodin1983's picture
Offline
Last seen: 12 years 4 months ago
Joined: 08.08.2013 - 15:52
Posts: 27

Двухсторонняя полисегментарная пневмония в ст. рассасывания

maker4ik's picture
Offline
Last seen: 8 years 8 months ago
Joined: 19.10.2011 - 17:49
Posts: 2682

Коллега! Рентгенолог не ставит диагнозы! Это задача клинициста!

Катенёв Валентин Львович's picture
Offline
Last seen: 7 years 2 months ago
Joined: 22.03.2008 - 22:15
Posts: 54876

maker4ik wrote:

Коллега! Рентгенолог не ставит диагнозы! Это задача клинициста!

Но клиницист не видит того, что видим мы...

Обработанные снимки.

Приложения: 
1.201308200069.jpg2.201308200070.jpg3.201308200071.jpg4.201308200072.jpg5.201308200073.jpg6.201308200074.jpg
Катенёв Валентин Львович's picture
Offline
Last seen: 7 years 2 months ago
Joined: 22.03.2008 - 22:15
Posts: 54876

Я надеюсь, что такого качества иллюстрации можно и обсудить?

Сергей Кузьминов's picture
Offline
Last seen: 1 year 1 month ago
Joined: 06.10.2012 - 15:51
Posts: 11813

В левом синусе-жидкость.Справа в десятке-инфильтрация.

maker4ik's picture
Offline
Last seen: 8 years 8 months ago
Joined: 19.10.2011 - 17:49
Posts: 2682

Клиницист, может, и не видит, но читать вполне умеет.

Нет ли ателектаза нижней доли (или отделььных сегментов) слева?

Катенёв Валентин Львович's picture
Offline
Last seen: 7 years 2 months ago
Joined: 22.03.2008 - 22:15
Posts: 54876

И динамика.

Обработанные снимки

Приложения: 
1.201308200075.jpg2.201308200076.jpg3.201308200077.jpg4.201308200078.jpg5.201308200079.jpg6.201308200080.jpg
Сергей Кузьминов's picture
Offline
Last seen: 1 year 1 month ago
Joined: 06.10.2012 - 15:51
Posts: 11813

Инфильтрация справа внижней доле уменьшилась.Ссева осталась жидкость.Кажется,ателектазируется средняя доля.Успокоится нельзя.