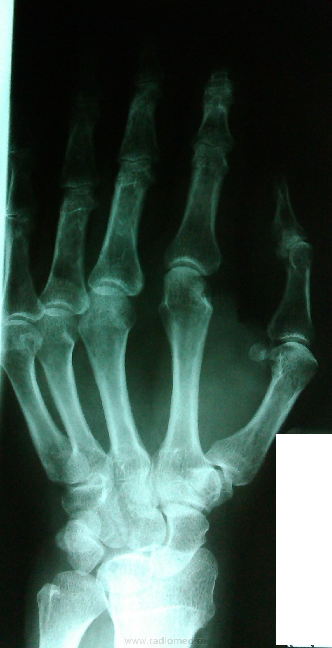
Пол пациента: Мужской пол Тип патологии: Другое Область исследования: Скелетно-мышечная система Методы исследования: Rg Пациент, 64 года. C диагнозом контрактура левой кисти. Как описывать в данном случае? https://radiomed.ru/sites/default/files/styles/case_slider_image/public/user/18609/img_20130822_121905.jpg?itok=m1BEXT25 ID:31041 Thu, 22/08/2013 - 21:46 #1 Катенёв Валенти... Offline Last seen: 7 years 2 months ago Joined: 22.03.2008 - 22:15 Posts: 54876 Что контрактура, "рентгенологический диагноз"? Fri, 23/08/2013 - 00:19 #2 Алексей Игореви... Offline Last seen: 6 years 11 months ago Joined: 08.08.2012 - 21:52 Posts: 786 Контрактура суто клинический диагноз, описывайте, скорее, как полиартрит суставов кисти. "Обучая других - учишься сам". Н.И.Пирогов Fri, 23/08/2013 - 17:40 #3 Катенёв Валенти... Offline Last seen: 7 years 2 months ago Joined: 22.03.2008 - 22:15 Posts: 54876 На мой взгляд, косячит Ваш лаборант с укладками, или что с трубкой?Приложения:
Что контрактура, "рентгенологический диагноз"?
Контрактура суто клинический диагноз, описывайте, скорее, как полиартрит суставов кисти.
"Обучая других - учишься сам". Н.И.Пирогов
На мой взгляд, косячит Ваш лаборант с укладками, или что с трубкой?