Пол пациента:
Тип патологии:
Область исследования:
Методы исследования:
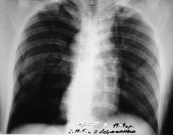
Мужчина 34 лет, травмирован в результате ДТП. Двухсторонние множественные переломы ребер. Гемопневмоторакс справа, пневмоторакс слева. Перелом правого бедра. Первая помощь: дренирование обеих плевральных полостей, скелетное вытяжение проведено в ЦРБ. При переводе к нам пневмотораксы разрешены. Первый снимок выполнен в ЦРБ, второй снимок - обратный (зеркальный) первому, третий выполнен у нас на 8 сутки после травмы.
Какой из первых двух снимков первый или обратный отражает истину? С какой стороны пневмоторакс?
Пневматоракс слева. Снимок неправильно подписан.
Пневматоракс слева. Снимок неправильно подписан.
--------------------------------------------------------------------------------------------------------------------------------------------------------------------------------
+1. Но, по-моему можно было предположить пневматоракс и справа в нижне-внутреннем отделе, учётом того, что снимок выполнен в положении лёжа.Ссылка на сходный, ваш же случай
http://www.radiomed.ru/cases/pnevmotoraks-v-polozhenii-na-spine
Первый снимок подписан неправильно.
Оба снимка подписаны неправильно). Пневмоторакс левосторонний
Мы тоже считаем, что снимок неверно подписан на основании следующего:
1. тень дуги аорты и талии сердца на втором и последнем снимке находятся слева (правильное отображение снимка), тогда как на первом - справа (неверно подписанный снимок)
2. на втором и последнем снимке тень бифуркации трахеи и правого бронха совпадают, а на первом снимке слева оказался правый бронх, отходящий под более пологим углом
3. на первом снимке трахея смещена влево (соотвественно пневмотораксу), а тень сердца "вправо", что противоречит логике, тогда как на втором снимке этого противоречия нет, смещение и сердца, и трахеи соответствует пневмотораксу.
Какой из этих аргументов наиболее значим? Есть ли другие, не замеченные нами аргументы?
Согласен. Вы имели ввиду визуализацию переднего ребернодиафрагмального синуса справа?
Справа дополнительно перелом 6 ребра по средне-ключичной линии
В первую очередь смотрел по тени аорты.
Третий снимок.
Или спайки?
Вы имели ввиду визуализацию переднего ребернодиафрагмального синуса справа?
-------------------------------------------------------------------------------------------------------------------------------------------------------------------
У вас нет снимка в боковой проеции, так что трудно сказать что это именно спереди.
Создается впечатление, что первые 2снимка - одного больного, а 3 снимок - другого больного.
Создается впечатление, что первые 2снимка - одного больного, а 3 снимок - другого больного.
Присоединяюсь.
Первый и второй - один и тот же снимок с противоположным расположением на негетоскопе.
Основное отличие первых двух снимков от третьего, кроме пневмоторакса - тень сердца, так я понимаю Ваши впечатления?
Про первые два снимка - понятно, а вот третий по моему мнению, отличается и тенью сердца, и формой грудной клетки, да и перелома ребра как-то не видно (может из-за качества р-снимка).
Да здесь без впечатления - это ОДИН И ТОТ ЖЕ снимок, только копию нам одну показывают правильно. вторую - нет))), а вот третий снимок...это вопрос))))...причем вопрос должен быть решен в пользу ДРУГОГО пациента))))
Болезни ног: виды, симптомы, причины, профилактика и лечение
Если был бы только один контрольный снимок, были бы основания для сомнения, но вот первый контрольный снимок от 14.10.13., а тот, что в начале темы (№3) был сделан 16.10.13.
Переломы ребер имеют свойство на одних снимках явно проявляться, а на других изчезать. Если сравнивать кроме переломов и тени сердца другие анатомические особенности, возможно, будут убедительные доказательства того, что это один больной. Наиболее отчетливо видно одинаковость правого бронха с его делением на долевые бронхи на втором и третьем снимках.
Хорошо...договорились:
1. все снимки одного и того же больного
2. пневмоторакс слева
3.1-й и 2-й снимки - это один и тот же снимок
4.динамика по пневмотораксу положительная, в целом....хотя и не совсем полное расправление пока
5. больше "пугает" тень справа в базально-медиальном отделе...это что - ателектаз средней доли?
6.что с клиникой?
7.что переломы "то видно, то-нет" - что удивительного...с ребрами, при небольшом смещении, вполне вероятная история.
Болезни ног: виды, симптомы, причины, профилактика и лечение
Теперь мы подходим к главной интриге этого случая - объяснению деформации тени сердца со смещением вправо на первых двух снимках. Я приводил примеры краевых малых напряженных пневмотораксов:
http://www.radiomed.ru/cases/napryazhennyi-pnevmotoraks-bez-kolapsa-legkogo#comments
краевого напряженного гемопневмоторакса:
http://www.radiomed.ru/cases/sochetannaya-travma-grudi#comments
малого напряженного пневмоторакса:
http://www.radiomed.ru/cases/tupaya-travma-grudnoi-kletki#comments
Настоящий случай еще одно доказательство возможности напряженного пневмоторакса со смещением средостения, опущением и уплощением диафрагмы и при этом без выраженного коллапса легкого.
Три дня назад выполнили остеосинтез правого бедра в плановом порядке. Со стороны легких заметной клиники нет. Подробнее опишу завтра.
Мурат Максутович.
ВЫ считайте, что в Вашем наблюдении коллапс легкого не выражен?
Бронхоскопию надо. Пневмоторакс слева, на последнем - ателектаз нижней доли. Причины ателектаза - ? Возможно, просто слизистая пробка. Тень сердца менялась вместе с коллабированным легким и положением пациента. Сделали более ровный снимок+ почти расправленное левое легкое+ателектаз справа - вот и изменение формы тени сердца, как мне кажется.
https://www.youtube.com/channel/UCBGxoBUOqUT_bFhSeUgtWEw
Пневмоторакс подразделяют на краевой, малый, средний, большой, тотальный, либо коллапс легкого на 1/5, на 1/4, на 1/3, на 1/2, полный коллапс. Выраженный коллапс, наверное, надо считать с 1/3 и далее. В настоящем случае легкое коллабировано всего на 1/5 своего объема по снимку в прямой проекции.
Противоречие в том, что во всех учебниках, руководствах и энциклопедиях, напряженный пневмоторакс, как в тексте, так и на схемах и рентгенограммах, ассоцирован с полным коллапсом легкого. Поэтому, подобные настоящему пневмотораксы, из-за отсутствия полного коллапса легких, не воспринимаются как напряженные, тогда как клиника, смещение средостения и диафрагмы свидетельствуют об выраженном напряжении.
Я ждал этого подтверждения.
Категорически требую чтобы лаборанты всегда применяли маркировку в процессе производства снимков (свинцовыми буквами), тогда сомнения в стороне не возникают.
С уважением. Ильич.
С уважением,
Коллеги, где Ваши комментарии по этому поводу?
Кто мешает Вам написать учебное пособие и устранить противоречия? Врачи сайта будут Вам только благодарны.
Можно ли это расценивать как Ваше согласие с моими доводами в основном? Какие детали у Вас вызывают сомнения? Мне это важно знать, пототму что изменить сложившийся десятилетиями стереотип очень сложно.
Уважаемый Мурат Максутович
Вы забывайте Что легкого колабируется совсех сторон, то есть спереди,сзади снизу, сверху а не только с латеральной стороны. В представленом Вами наблюдении объем спавшеглся легкого не превышает 25% должного. и в плевральной полости не менее 2,5 литров воздуха..
Абсолютное показание к дренированию..
Легкие должно смотреть объемом, а не плоскостями.
Полностью с Вами согласен.
Показания к дренированию не просто абсолютные, а жизненные (т.е. чем раньше, тем лучше), особеннно при сочетанной тяжелой ЧМТ. В такой ситуации я даже не дожидался скальпеля и троакара, а в первую очередь вводил длинную иглу во второе межреберье.
Вы правы, что плоскостное представление легких не отражает его объемных изменений. Но, приведите мне хоть один источник литературы, где об этом пишется в оценке объема пневмоторакса, особенно в положении лежа, когда боковой снимок, чаще не делается. Мы только недавно стали говорить о сложности диагностики пневмоторакса в положении лежа вообще, не говоря уже об оценке его объема.
Именно смещение средостения, опущение и уплощение диафрагмы говорят об выраженности напряжения (стало быть и об объеме пневмоторакса), но не степень коллапса легких. Наверняка в Вашей практике не раз были тотальные (с полным коллапсом легких) ненапряженные пневмотораксы (без смещения средостения и опущения диафрагмы) со скудной клиникой и без дыхательной недостаточности, и, наоборот, с "малым" пневмотораксом и выраженной клиникой.
Я был бы Вам очень благодарен за источник литературы, где оговаривается возможность напряженного пневмоторакса с неполным коллабированием легкого.
Сейчас просмотрела по статьям, вроде нигде не пишут о том, на сколько должно быть коллабировано легкое при напряженном пневмотораксе. Из рентгенологических признаков напряженного пневмоторакса указывают смещение средостения, изменение объема половины грудной клетки и уплощение диафрагмы на стороне пневмоторакса
http://radiopaedia.org/articles/tension-pneumothorax
http://med-books.by/vnutrennie-bolezni/142-bolezni-plevry-layt-ru-1985-god-187-s.html
Тираж на момент издания был махонький
Это уже хорошо, что не пишут о объеме коллапса легкого, как о критерии напряжения. Из 10 снимков с напряженным пневмотораксом, которые приводятся в данной статье, на 2-3х как раз и нет описываемых двух признаков (смещение средостения, опущение диафрагмы).
Примеров с малым (по прямой проекции) напряженным пневмотораксом вовсе нет (более менее похожи два примера с новорожденными). В общем, у них нет такого стереотипного утверждения, как в наших учебниках, что коллапс должен быть полным...извените, есть, читайте пост №37.
Мила, спасибо за ссылку.
Кто учебники пишет?
Противоречия устранены не будут. Так как уважаемый автор ветки всегда демонстрирует рентгенограммы в одной проекции.
Известная монография, но как то не попадалась в руки. Спасибо за ссылку.
В разделе напряженный пневмоторакс (стр 131) не упоминается о каллапсе легкого вообще. Это можно скорее расценить так, что коллапс подразумевается, но наврятли речь идет о малом (на прямой проекции) пневмотораксе с напряжением. Может я не увидел в монографии то, что Вы нашли, укажите страницу.
Я еще раз внимательно прочитал статью, в отношении коллапса легкого написано следующее: In this situation, the ipsilateral lung will, if normal, collapse completely (although a less than normally compliant lung may remain partially inflated). Что по-моему переводится следующим образом: В этой ситуации (при напряженном пневмотораксе) ипсолатеральное легкое, если оно нормальное, будет полностью коллабировано (хотя при сниженной эластичности легкое может сохранять частичную воздушность).
Валентин Львович, в литературе не то что бы не оговаривается сравнительная степень коллапса легкого в положении лежа на спине в прямой и боковой проекции, а вообще всегда приводится одна проекция и полный коллапс легкого. С такой литературой Вы знакомы, наверное, больше, чем кто-либо на этом форуме. И такой взгляд на напряженный пневмоторакс не только в учебниках и энциклопедиях, а в современных руководствах (национальное руководство по травматологии, национальное руководство по военно-полевой травматологии и т.д.).
Я не могу утверждать, но очень сомневаюсь, что информативность бокового снимка при тяжелой сочетанной, нередко двухсторонней, травме груди, будет превышать материальные и другие затраты, связанные с такой рентгенографией.
Да, я тоже так поняла, что в большинстве случаев легкое спадается полностью, но это не является обязательным условием, можно же только догадываться насколько эластичное легкое у пациента. Вот еще тоже пример нашла
http://www.vcuthoracicimaging.com/Historyanswer.aspx?qid=142&fid=1
и еще - тут пишут, что у одного из пациентов болезнь гиалиновых мембран
http://www.learningradiology.com/archives2012/COW%20511-tension%20ptx/tensptxcorrect.html
Уважаемый Мурат Максутович!
Рентгенология (лучевая диагностика), как и всякая другая медицинская наука имеет свои законы и незыблемые правила. Одним, из основных правил классической рентгенодиагностики, является необходимость исследования органа (области) минимум в двух проекциях, хотя отдельные области (например придаточные пазухи) часто исследуют в одной (прямой) проекции, но "это" преррогатива рентгенолога, рентгенолога и никого другого.
По поводу рентгенографии ОГК (при патологии) в одной проекции (прямой), так то рентгенофотография, мало чем отличающаяся от обычной фотографии. Ссылки на материальные затраты и прочее, так то не существенно, когда нарушается один из основопологающих законов клинической рентгенологии.
В рентгенологии нет понятия и определения "такая рентгенография", рентгенография, она и есть рентгенография. Мне понятно, что клиницисту (у нас тоже такое частенько бывает) намного легче ориентироваться по "прямому" снимку, на котором он "глаз набил", можно многое обосновать и домыслить. Как правило по "боковым рентгенограммам" ОГК клиницисты часто "не въезжают", но это не значит, что так должно быть.
Практика "одного снимка" весьма часто "опосля" приводит к так называемым "случайным находкам", которые находками не являются, а являются обычными "пропусками", или от невидения, или от неведения.
Мне очень странно, что в Вашей клинике, По всей видимости довольно крупной, которая занимается, как я понял, и весьма широко политравмой, не используется С-дуга, которая позволяет не манипулируя пациентом, получить максимальное количество информации
Не знаю, может и чудеса какие есть, но, именно полного спадения лёгкого наблюдаю много реже, чем частичного...
А, вот вопрос на засыпку любителям пневмотораксов...
При подозрении на пневмоторакс, как правильно делать "прямую" рентгенограмму - на максимальном вдохе, просто на вдохе, не имеет значения, на выдохе, на максимальном выдохе?
Нуте-с...
Вопрос не риторический, а имеет так сказать отношение к теме, и прямое отношение, по поводу так сказать более частого выявления полностью "спавшегося лёгкого"
"Определение степени коллапса легкого
При лечении больного с пневмотораксом необходимо установить степень коллапса легкого. Объем легкого и гемиторакса приблизительно пропорциональны кубу их диаметров. Таким образом, степень коллапса можно определить, измерив средний диаметр легкого и гемиторакса, возведя эти величины в куб и найдя их соотношение. Например, на рис. 14 средний диаметр гемиторакса составляет 10 см, а расстояние между легким и грудной стенкой — 4 см. Поэтому соотношение диаметров, воз-веденных в куб, 63:103 составит 22%. Это означает, что пневмоторакс занимает около 80% объема, хотя на первый взгляд он не выглядит таким обширным."
Лайт "Болезни плевры".
В книге стр. 282.
По сноске используейте функцию Поиск
Но помню наблюдение Игоря Ивановича. Мнения врачей о наличии пневмоторакса на прямой обзорной рентгенограмме, выполненной на вдохе разошлись. Следующая рентгенограмма на максимальном выдохе убедила всех в наличии пневмоторакса. Было очень поучительно. Да здравствует Радиомед!
Но это же очевидно,
Разве кто то мог это не знать?
если знаю я, то как это могут не знать другие. В жизни совсем не так.
Уважаемый Валентин Львович, по поводу второй проекции Вы правы, когда больной стабильный, есть возможность транспортировать его в рентгенкабинет, этот стандарт надо выполнять. При напряженном пневмотораксе, особенно когда он сочетается с другими тяжелыми повреждениями, и больной нестабильный, мы порой не успеваем даже в одной проекции сделать (больной дает клиническую смерть). Если же больной достаточно стабильный, то одна проекция + аускультация + перкуссия +УЗИ + сатурация (газы крови) - достаточны для диагностики.
Согласен с Вами, что редкое пользование боковой проекцией сопровождается и слабым его чтением и тенденцией не выполнять его.
Я, как и Вы, Валентин Львович, чаще встречаюсь с частичным спадением легкого. Не знаю как у других срабатывает мышление, скажу за себя: частичное спадение легкого у меня долго ассоцировалось только с ненапряженным пневмотораксом, как учит литература. Причем именно этого вида пневмоторакса (ненапряженного с частичным спадением легкого) и больше всего на практике. Только неоднократное наблюдение противоречия между стереотипом, сложившимся из книг и практики с одной стороны и отдельных случаев из практики с другой стороны (напряженных пневмотораксов с частичным спадением действительно не много) заставили пересмотреть этот стереотип.
На вопрос на "вдохе" или "выдохе" форумчане уже ответили, поверьте об этом я тоже знал. На выдохе пневмоторакс проявится лучше. Не думаю, что при напряженном пневмотораксе на выдохе легкое спадется полностью, а при повторном вдохе расправится до частичного спадения. Если пневмоторакс напряженный, сдвигает средостение, логический он не даст полностью спавшемуся легкому заметно расправиться. Механизм частичного спадения легкого при напряженном пневмотораксе еще предстоит объяснить, а пока надо признать факт его существования, по крайней по рентгенограмме (пусть в момент вдоха).
Мурат Максутович
Достаточно многим книгам, сноскам и т.д. хотелось бы пожелать
"Смените переводчиков, редакторов перевода, а может и авторов"
Хорошие, свежие публикации, спасибо!
В первой статье констатируется, что нет коллапса легкого, возможно поэтому задается вопрос "какой диагноз?", "что следует делать дальше?". Т.е. в отсутствии коллапса легких, авторы видят некоторую интригу этого случая. При отсутствии коллапса легких (полное спадение) спадение легкого в приведенном в статье случае достаточно выражено (более чем на 1/3), чем в нашем случае. К сожалению, механизм такого варианта напряженного пневмоторакса и значение таких вариантов в практике дальше на обсуждается.
Во второй статье хотя и не считается полное спадение условием напряженного пневмоторакса, вопрос о возможности напряженного пневмоторакса при малом спадении опять обходится стороной.
Что подразумевать под малым спадением?
См.#42