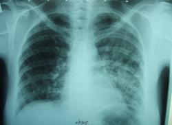
Направили с села женщину, 1969 г.р. Диагноз дежурный - Хронический бронхит.
На фоне полисегментарной пневмонии прослеживается, на мой взгляд, какая- то очаговая двусторонняя диссеминация (а анамнез, клиника поподробнее не известны?). Если с таким диагнозом направили, думаю след. шаг - контроль после курса терапии + КТ + онколог на всякий пожарный (может мтс-ы какие?)
дифдиагностика диссеминаций. Два диагноза. В первую очередь следует подтвердить или исключить подострый диссеминированный туберкулез, который можно излечить. Следует думать и о карциноматозе. В этом согласен с тактикой обследования предложенной Пантелеймоном. Томографировать надо.
исследования на туберкулез, бронхоскопия с биопсией и мн. другое. Так как возможности ограничены больницы , где автор работает необходимо направить пациентку в ПТД. На представленных томограммах (см. рисунки) полости распада, что не исключает специфический генез заболевания.
Не поверите, Николас и Мила, я не только успел дать заключение, но и ознакомиться с амбулаторной картой пациентки, кашель сухой малопродуктивный с лета. Хотя, летом ничего криминального на флюре не нашел. СОЭ 40 мм\ч. Производит впечатление нормальной домохозяйки, вроде не пьёт (выпивает по праздникам). Коллеги, очень прошу посмотреть архив, хотя бы на вашем персональном компьютере.
ничего, что потребовало бы дополнительное исследование. Смотрите рисунки за 12 и 13 годы коллеги. Возможно, что кто-то заметит патологию. С уважением Nik.
Как-то не так в моем представлении диссеминация выглядит((
Коллега, а может предоставите свое наблюдение?)
Я ее вживую не видела ни разу, у меня только представления, сложенные по картинкам.
Я столкнулся с этим в первый раз сам, вообще бы хорошо бы было, чтобы на сайте больше случаев диссиминаций было, реально больше всего опыта у фтизиатров и рентгенологов ПТД. А мне тоже охота.
Здравствуйте,коллеги!Хотела бы обратиться сразу к нескольким из Вас.Nikolas,спасибо за архив!maker4ik,Вы,наверное,диссеминацию подозревали по-другому-симметричной,но представленный случай-тоже процесс диссеминированный по распространенности,Нужно только выяснить-откуда дровишки?Я не зря спросила Dorofey,сколько тмг он планирует,зная о том,что КТ-нет(хотя в таких случаях-это самый оптим.метод).Но не успела посоветовать слои.В результате опять только добавились вопросы как в недавней ветке.Это-не в укор,а с наилучшими пожеланиями,поверьте.Так вот,-назначение тмг,как в этом случае-процесс творческий,т.к.область обследования-обширна,а информативность д.б.высокой+при минимуме лучевой нагрузки(в словиях отсутствия КТ,повторяю и необходимости)Ну вот,делаем так-источник проблемы-слева.Согласны?Как узнать?В данном случае идем бочком-9-10-11.Всего 3тмг,но-получаем локализацию источника+корень(л/у и все такое).Результат бедет налицо.С уважением,Миргалина
Забыла добавить.Если действительно есть желание увидеть "хорошие"диссеминированный процессы,потерпите-скоро представлю,и не только их.Испытываю технические и временные(ударение на третий слог-от слова -"время")сложности.
ничего, что потребовало бы дополнительное исследование. Смотрите рисунки за 12 и 13 годы коллеги. Возможно, что кто-то заметит патологию. С уважением Nik.
Таки я за предположения Nikolas . Онко - не разбирает лево-право, скорее право, чем лево(объем больше и теней на 1ед. плоского снимка больше) А вот приближение к т.н. казеозной слева при такой диссеминации вполне, и м.б. пока не совсем полости, но....
Коллега алкс!Насчет онко-конечно,доказано,что -справа >чем слева,причем из в/д,но здесь больше данных за tbc,с распадом.Казеозная здесь не рядом не стояла .Коллега Dorofey!Я имела в виду боковые левост.тмг,а не прямые.Но вообще,на будущее-такие процессы-прямое показание к КТ,отправляйте сразу.
Коллега Миргалина! Было бы оно ещё очереди везде, а платно - у людей из сёл........ В соседнем районе на 4 месяца вперёд уже запись(один 16 срезовый на 4 района). И куда отправлять? В область? Без туб. минимума, не ближний свет мататься, а больницы денежку тоже считать умеют. И тем более КТ без контрастного усиления.
Коллега Миргалина! Было бы оно ещё очереди везде, а платно - у людей из сёл........ В соседнем районе на 4 месяца вперёд уже запись(один 16 срезовый на 4 района). И куда отправлять? В область? Без туб. минимума, не ближний свет мататься, а больницы денежку тоже считать умеют. И тем более КТ без контрастного усиления.
Понимаю Вас,поэтому и посоветовала оптимальные слои тмг.
Коллега алкс!Насчет онко-конечно,доказано,что -справа >чем слева,причем из в/д,но здесь больше данных за tbc,с распадом.Казеозная здесь не рядом не стояла .Коллега Dorofey!Я имела в виду боковые левост.тмг,а не прямые.Но вообще,на будущее-такие процессы-прямое показание к КТ,отправляйте сразу.
М.б. и не стояла , но стать могет. Кстати, а что бы Вы, коллега, на КТ увидели бы сразу? Таки, сразу сказали бы - кто оно?
Или красиво описали бы дисс. неясного генеза? Поверьте, КТ больше вопросов создает, чем решает. А, то что на КТ пишут "больше соответствует" - увы - не всегда. Т.е. не надо идеализировать КТ и главное - людей, которые там работают , и "всё решают" Увы, пока "уверенность в диагнозе после биопсии и патанатомического исследования составляет 78%" подумайте скоко другие методы у нас составляют?
Забыла добавить.Если действительно есть желание увидеть "хорошие"диссеминированный процессы,потерпите-скоро представлю,и не только их.Испытываю технические и временные(ударение на третий слог-от слова -"время")сложности.
Буду ждать. Я себе это представляла как нечто симметричное. с мелкими, но четко отличаемыми друг от друга очагами. А здесь мазня какая-то. Ну где хоть один четкий очаг?
Коллега алкс!Неужели Вы считаете,что линейки в данном случае лучше?В спец.учреждении КТ гр.кл.помогло бы снять многие вопросы(некоторые озвучила в посте N21)+морфология и т.д. и т.п.Для чего же нужны тогда эти новые методы визуализации?Диссеминированный процесс в легких-прямое показание к КТ.Если интересно-могу обосновать,но думаю,это всем известно.А уж какова интерпритация-зависит от исследователя.Могла бы "прочитать"КТ",но его -нет,высказались бы увереннее.Пока больше данных за tbc.Появятся анамнез,клиника,кровь,GeneExpert и т.п.все станет ясно.Диагноз подтверждается самыми оптимальными методами,и КТ отвергать ну никак нельзя.Конечно,некоторые"специалисты "дискредитируют сам метод,но не нужно обобщать.Согласитесь,ведь мы даем заключение,а не диагноз,которое очень помогает клиницисту и сокращает диф.ряд.А потом,разве мы имеем право утверждать этиологию?Высказаться-да,но не более.,будь то линейная тмг,или КТ(которая в разы ИНФОРМАТИВНЕЕ),если,конечно ей владеть.С уважением,Миргалина
Коллега алкс!Неужели Вы считаете,что линейки в данном случае лучше?В спец.учреждении КТ гр.кл.помогло бы снять многие вопросы(некоторые озвучила в посте N21)+морфология и т.д. и т.п.Для чего же нужны тогда эти новые методы визуализации?Диссеминированный процесс в легких-прямое показание к КТ.Если интересно-могу обосновать,но думаю,это всем известно.А уж какова интерпритация-зависит от исследователя.Могла бы "прочитать"КТ",но его -нет,высказались бы увереннее.Пока больше данных за tbc.Появятся анамнез,клиника,кровь,GeneExpert и т.п.все станет ясно.Диагноз подтверждается самыми оптимальными методами,и КТ отвергать ну никак нельзя.Конечно,некоторые"специалисты "дискредитируют сам метод,но не нужно обобщать.Согласитесь,ведь мы даем заключение,а не диагноз,которое очень помогает клиницисту и сокращает диф.ряд.А потом,разве мы имеем право утверждать этиологию?Высказаться-да,но не более.,будь то линейная тмг,или КТ(которая в разы ИНФОРМАТИВНЕЕ),если,конечно ей владеть.С уважением,Миргалина
Вы еще веруете, уважаемая Миргалина... " новые методы визуализации" резко отграничили
" кажущееся" по снимку от "действительного". Т.е. - очаги- не очаги, тень- не тень, проходим бронх - не проходим, есть лимфоузлы в корнях и средостени - или нет, а к этиологии - мало добавили (это про легкие и только!) Т.е. КТ при инф.Тб выглядит = пневмонии, МТ = дисс. ТБ и т. д. "Появятся анамнез,клиника,кровь,GeneExpert и т.п.все станет ясно.Диагноз подтверждается самыми оптимальными методами" - вот это верно. А КТ при этом причем?
Так КТ-как оптимальный метод и есть.Вы можете себе представить диагноз туберкулеза без R-исследования?А разница между инф.tbc и пневмонией есть,и именно на КТ,и именно в сравнении с линейкой.Проходим бронх/непроходим,есть л/у/их нет,есть распад/нет его,характер очагов и их локализация-все это на КТ.И это как раз вопросы диф.диагностики.Это не оптимально?Как можно сравнить велосипед с автомобилем?А онкология,...,...,и много чего еще?А по-вашему,зачем она нужна?
Так КТ-как оптимальный метод и есть.Вы можете себе представить диагноз туберкулеза без R-исследования?А разница между инф.tbc и пневмонией есть,и именно на КТ,и именно в сравнении с линейкой.Проходим бронх/непроходим,есть л/у/их нет,есть распад/нет его,характер очагов и их локализация-все это на КТ.И это как раз вопросы диф.диагностики.Это не оптимально?Как можно сравнить велосипед с автомобилем?А онкология,...,...,и много чего еще?А по-вашему,зачем она нужна?
"Вы можете себе представить диагноз туберкулеза без R-исследования?"
А он только так и ставится... Есть выделение- есть, нет - то хоть 1000 КТ сделай - НЕТ и ВСЁ!!!
М.б. у фтизиатров спросим? Сегодня БЕЗ МБТ+, ТБ НЕ СТАВИТСЯ! Увы...
Попробую еще поддержать версию онко, клиника по-моему это подтверждает, высокий СОЭ тоже. Если бы это был тбц, то с лета, когда у пациентки появились жалобы, он бы уже много чего в легких наделал. Распада на томограмме я не вижу возможно очаги так наложились. Наличие жалоб при нормальной флюорограмме с последующей динамикой говорит о том, что летом вероятнее всего уже были интерстициальные изменения, но предел метода не позволил их увидеть.
Насчет ассиметрии - для онко конечно не характерно, но и для гематогенного тбц тоже. Если путь распространения лимфогенный, то метастазирование тоже могло произойти не единовременно.
Четкие очаги видны на боковых снимках, просто их много + лимфангит, поэтому на прямом мазня. Возможно, метастазирует из м.ж. или щ.ж
Так КТ-как оптимальный метод и есть.Вы можете себе представить диагноз туберкулеза без R-исследования?А разница между инф.tbc и пневмонией есть,и именно на КТ,и именно в сравнении с линейкой.Проходим бронх/непроходим,есть л/у/их нет,есть распад/нет его,характер очагов и их локализация-все это на КТ.И это как раз вопросы диф.диагностики.Это не оптимально?Как можно сравнить велосипед с автомобилем?А онкология,...,...,и много чего еще?А по-вашему,зачем она нужна?
"Вы можете себе представить диагноз туберкулеза без R-исследования?"
А он только так и ставится... Есть выделение- есть, нет - то хоть 1000 КТ сделай - НЕТ и ВСЁ!!!
М.б. у фтизиатров спросим? Сегодня БЕЗ МБТ+, ТБ НЕ СТАВИТСЯ! Увы...
Я Вас разочарую,но-ставится-МБТ(-)А все-таки согласились насчет остального,все-таки нужно хоть раз при ДПЛ КТ?"Ведь только так и ставится!"-алкс
Так КТ-как оптимальный метод и есть.Вы можете себе представить диагноз туберкулеза без R-исследования?А разница между инф.tbc и пневмонией есть,и именно на КТ,и именно в сравнении с линейкой.Проходим бронх/непроходим,есть л/у/их нет,есть распад/нет его,характер очагов и их локализация-все это на КТ.И это как раз вопросы диф.диагностики.Это не оптимально?Как можно сравнить велосипед с автомобилем?А онкология,...,...,и много чего еще?А по-вашему,зачем она нужна?
"Вы можете себе представить диагноз туберкулеза без R-исследования?"
А он только так и ставится... Есть выделение- есть, нет - то хоть 1000 КТ сделай - НЕТ и ВСЁ!!!
М.б. у фтизиатров спросим? Сегодня БЕЗ МБТ+, ТБ НЕ СТАВИТСЯ! Увы...
Я Вас разочарую,но-ставится-МБТ(-)А все-таки согласились насчет остального,все-таки нужно хоть раз при ДПЛ КТ?"Ведь только так и ставится!"-алкс
Интересные снимки. Заинтриговал Николас. Скачал архив (Евгений, заочно приветствую, с новым прежним именем!), посмотрел. Однако, не явно, не так отчётливо, но что-то там явно не в порядке на последнем (недавнем) контроле с женщиной. Похоже, процесс тогда начинался... Поправлю - первый архивный - за 2010 год.
Версию Твс поддержу. Он самый. Только уже не диссеминированный, а инфильтративный, и будет с распадом (если ещё не уже).:(
Это и есть скорее всего инфильтративный туберкулез в/д(S3,Sязычк.?)и возм.S6?н/д левого легкого-тмг,к сожалению,не те),ф распада и обсеменения(диссеминированный по распространенности).МВТ-?Подождем результатов
Интересные снимки. Заинтриговал Николас. Скачал архив (Евгений, заочно приветствую, с новым прежним именем!), посмотрел. Однако, не явно, не так отчётливо, но что-то там явно не в порядке на последнем (недавнем) контроле с женщиной. Похоже, процесс тогда начинался... Поправлю - первый архивный - за 2010 год.
Версию Твс поддержу. Он самый. Только уже не диссеминированный, а инфильтративный, и будет с распадом (если ещё не уже).:(
Коллега Maximalist, приветствую, И вам вопрос- Нужно ли было дообследовать в 2013 году больную после фг?
Насчёт дообследования. А Вы как думаете сами, коллега? Присмотритесь ещё раз. Может, несколько раз на снимки архивные. По-прежнему ничего не смущает, и глаз ничего на дообследование не цепляет?..
Вношу исправление на неверную поправку.) Архив за 2012, 2013 гг. В просмотровщике на .dcm метаданные верные прочитались, один файл просто неверно был автором назван.
Коллега maximalist, не увидел я - честно. По этому и спросил. Если не сложно - покажите стрелочкой. Заранее спасибо. P.S. Жалко Валентина Львовича нет.
Так вижу. Уже не так объективно. Ретроспективно. Но тем не менее. Если есть два снимка архивных - бывает, нужно на них, сравнивая симметричные участки, долго смотреть...
Так вижу. Уже не так объективно. Ретроспективно. Но тем не менее. Если есть два снимка архивных - бывает, нужно на них, сравнивая симметричные участки, долго смотреть...
Коллега, здравствуйте. Увеличил данный момент на рабочей станции - увидел только бифуркацию сосуда, наслоенную на передний отрезок 2 ребра слева. ИХМО не считаю, что там очаг. Извините за прямоту. Спасибо.
Так вижу. Уже не так объективно. Ретроспективно. Но тем не менее. Если есть два снимка архивных - бывает, нужно на них, сравнивая симметричные участки, долго смотреть...
Коллега, здравствуйте. Увеличил данный момент на рабочей станции - увидел только бифуркацию сосуда, наслоенную на передний отрезок 2 ребра слева. ИХМО не считаю, что там очаг. Извините за прямоту. Спасибо.
Я тоже не считаю, что там очаг. Но для сосуда бифуркация та великовата - это раз. Я для начала малого инфильтрата подходит - сближенные сосуды очень напоминают его - это два. А, в-третьих, извиняться не стоит, я же мнением своим ни на что не претендую! Приветствую и Вас, Евгений - это четыре, и пускай будет пять!)
Так вижу. Уже не так объективно. Ретроспективно. Но тем не менее. Если есть два снимка архивных - бывает, нужно на них, сравнивая симметричные участки, долго смотреть...
Коллега, здравствуйте. Увеличил данный момент на рабочей станции - увидел только бифуркацию сосуда, наслоенную на передний отрезок 2 ребра слева. ИХМО не считаю, что там очаг. Извините за прямоту. Спасибо.
Я тоже не считаю, что там очаг. Но для сосуда бифуркация та великовата - это раз. Я для начала малого инфильтрата подходит - сближенные сосуды очень напоминают его - это два. А, в-третьих, извиняться не стоит, я же мнением своим ни на что не претендую! Приветствую и Вас, Евгений - это четыре, и пускай будет пять!)
Я б 2стороннюю пневмонию залепила. После боков, естественно.
А на диссеминацию не тянет?
[quote=dorofey84]
Направили с села женщину, 1969 г.р. Диагноз дежурный - Хронический бронхит.
]Если с хр. бронхитом, то я скорее всего за карциноматоз.Для такой пневмонии должна бытьсоотв. клиника.
На маммографию!
Первое, что я сделал это запросил ФГ архив - http://files.mail.ru/59BBC112BD354A5F9E7EE4BFE0DDD850
[quote=dorofey84]
Направили с села женщину, 1969 г.р. Диагноз дежурный - Хронический бронхит.
На фоне полисегментарной пневмонии прослеживается, на мой взгляд, какая- то очаговая двусторонняя диссеминация (а анамнез, клиника поподробнее не известны?). Если с таким диагнозом направили, думаю след. шаг - контроль после курса терапии + КТ + онколог на всякий пожарный (может мтс-ы какие?)
дифдиагностика диссеминаций. Два диагноза. В первую очередь следует подтвердить или исключить подострый диссеминированный туберкулез, который можно излечить. Следует думать и о карциноматозе. В этом согласен с тактикой обследования предложенной Пантелеймоном. Томографировать надо.
Высока вероятность туберкулёза.Бок и томограммы.Но тени очень "туберные".
А на сайт можно архив? По мне так эта диссеминация ближе к карциноматозу
Он в DICOM. А линейки не хотите?
Линейка мне ясности не внесла, на боковых очаги смотрятся как типично "онкологические", без склонности к слиянию..
исследования на туберкулез, бронхоскопия с биопсией и мн. другое. Так как возможности ограничены больницы , где автор работает необходимо направить пациентку в ПТД. На представленных томограммах (см. рисунки) полости распада, что не исключает специфический генез заболевания.
Попытайте еше пациентку по анамнезу, еще если такой тбц то наверняка на фоне вич
Не поверите, Николас и Мила, я не только успел дать заключение, но и ознакомиться с амбулаторной картой пациентки, кашель сухой малопродуктивный с лета. Хотя, летом ничего криминального на флюре не нашел. СОЭ 40 мм\ч. Производит впечатление нормальной домохозяйки, вроде не пьёт (выпивает по праздникам). Коллеги, очень прошу посмотреть архив, хотя бы на вашем персональном компьютере.
ничего, что потребовало бы дополнительное исследование. Смотрите рисунки за 12 и 13 годы коллеги. Возможно, что кто-то заметит патологию. С уважением Nik.
Как-то не так в моем представлении диссеминация выглядит((
Я ее вживую не видела ни разу, у меня только представления, сложенные по картинкам.
Здравствуйте,коллеги!Хотела бы обратиться сразу к нескольким из Вас.Nikolas,спасибо за архив!maker4ik,Вы,наверное,диссеминацию подозревали по-другому-симметричной,но представленный случай-тоже процесс диссеминированный по распространенности,Нужно только выяснить-откуда дровишки?Я не зря спросила Dorofey,сколько тмг он планирует,зная о том,что КТ-нет(хотя в таких случаях-это самый оптим.метод).Но не успела посоветовать слои.В результате опять только добавились вопросы как в недавней ветке.Это-не в укор,а с наилучшими пожеланиями,поверьте.Так вот,-назначение тмг,как в этом случае-процесс творческий,т.к.область обследования-обширна,а информативность д.б.высокой+при минимуме лучевой нагрузки(в словиях отсутствия КТ,повторяю и необходимости)Ну вот,делаем так-источник проблемы-слева.Согласны?Как узнать?В данном случае идем бочком-9-10-11.Всего 3тмг,но-получаем локализацию источника+корень(л/у и все такое).Результат бедет налицо.С уважением,Миргалина
Забыла добавить.Если действительно есть желание увидеть "хорошие"диссеминированный процессы,потерпите-скоро представлю,и не только их.Испытываю технические и временные(ударение на третий слог-от слова -"время")сложности.
Норма, см.
Коллега Миргалина, В томограммах кстати 10 есть.
dscf0781.jpg
И там кстати мне распад слева кажется, а на флюре всё хорошо. Как вы это обьясните?
Таки я за предположения Nikolas . Онко - не разбирает лево-право, скорее право, чем лево(объем больше и теней на 1ед. плоского снимка больше) А вот приближение к т.н. казеозной слева при такой диссеминации вполне, и м.б. пока не совсем полости, но....
Коллега алкс!Насчет онко-конечно,доказано,что -справа >чем слева,причем из в/д,но здесь больше данных за tbc,с распадом.Казеозная здесь не рядом не стояла .Коллега Dorofey!Я имела в виду боковые левост.тмг,а не прямые.Но вообще,на будущее-такие процессы-прямое показание к КТ,отправляйте сразу.
Коллега Миргалина! Было бы оно ещё очереди везде, а платно - у людей из сёл........ В соседнем районе на 4 месяца вперёд уже запись(один 16 срезовый на 4 района). И куда отправлять? В область? Без туб. минимума, не ближний свет мататься, а больницы денежку тоже считать умеют. И тем более КТ без контрастного усиления.
Ждём динамику на стандартых сроках.Не похоже на казеоз.А вот на абсцедирующую-может быть.
М.б. и не стояла , но стать могет. Кстати, а что бы Вы, коллега, на КТ увидели бы сразу? Таки, сразу сказали бы - кто оно?
Или красиво описали бы дисс. неясного генеза? Поверьте, КТ больше вопросов создает, чем решает. А, то что на КТ пишут "больше соответствует" - увы - не всегда. Т.е. не надо идеализировать КТ и главное - людей, которые там работают , и "всё решают" Увы, пока "уверенность в диагнозе после биопсии и патанатомического исследования составляет 78%" подумайте скоко другие методы у нас составляют?
Буду ждать. Я себе это представляла как нечто симметричное. с мелкими, но четко отличаемыми друг от друга очагами. А здесь мазня какая-то. Ну где хоть один четкий очаг?
Коллега алкс!Неужели Вы считаете,что линейки в данном случае лучше?В спец.учреждении КТ гр.кл.помогло бы снять многие вопросы(некоторые озвучила в посте N21)+морфология и т.д. и т.п.Для чего же нужны тогда эти новые методы визуализации?Диссеминированный процесс в легких-прямое показание к КТ.Если интересно-могу обосновать,но думаю,это всем известно.А уж какова интерпритация-зависит от исследователя.Могла бы "прочитать"КТ",но его -нет,высказались бы увереннее.Пока больше данных за tbc.Появятся анамнез,клиника,кровь,GeneExpert и т.п.все станет ясно.Диагноз подтверждается самыми оптимальными методами,и КТ отвергать ну никак нельзя.Конечно,некоторые"специалисты "дискредитируют сам метод,но не нужно обобщать.Согласитесь,ведь мы даем заключение,а не диагноз,которое очень помогает клиницисту и сокращает диф.ряд.А потом,разве мы имеем право утверждать этиологию?Высказаться-да,но не более.,будь то линейная тмг,или КТ(которая в разы ИНФОРМАТИВНЕЕ),если,конечно ей владеть.С уважением,Миргалина
Вы еще веруете, уважаемая Миргалина... " новые методы визуализации" резко отграничили
" кажущееся" по снимку от "действительного". Т.е. - очаги- не очаги, тень- не тень, проходим бронх - не проходим, есть лимфоузлы в корнях и средостени - или нет, а к этиологии - мало добавили (это про легкие и только!) Т.е. КТ при инф.Тб выглядит = пневмонии, МТ = дисс. ТБ и т. д. "Появятся анамнез,клиника,кровь,GeneExpert и т.п.все станет ясно.Диагноз подтверждается самыми оптимальными методами" - вот это верно. А КТ при этом причем?
Так КТ-как оптимальный метод и есть.Вы можете себе представить диагноз туберкулеза без R-исследования?А разница между инф.tbc и пневмонией есть,и именно на КТ,и именно в сравнении с линейкой.Проходим бронх/непроходим,есть л/у/их нет,есть распад/нет его,характер очагов и их локализация-все это на КТ.И это как раз вопросы диф.диагностики.Это не оптимально?Как можно сравнить велосипед с автомобилем?А онкология,...,...,и много чего еще?А по-вашему,зачем она нужна?
"Вы можете себе представить диагноз туберкулеза без R-исследования?"
А он только так и ставится... Есть выделение- есть, нет - то хоть 1000 КТ сделай - НЕТ и ВСЁ!!!
М.б. у фтизиатров спросим? Сегодня БЕЗ МБТ+, ТБ НЕ СТАВИТСЯ! Увы...
Попробую еще поддержать версию онко, клиника по-моему это подтверждает, высокий СОЭ тоже. Если бы это был тбц, то с лета, когда у пациентки появились жалобы, он бы уже много чего в легких наделал. Распада на томограмме я не вижу
возможно очаги так наложились. Наличие жалоб при нормальной флюорограмме с последующей динамикой говорит о том, что летом вероятнее всего уже были интерстициальные изменения, но предел метода не позволил их увидеть.
Насчет ассиметрии - для онко конечно не характерно, но и для гематогенного тбц тоже. Если путь распространения лимфогенный, то метастазирование тоже могло произойти не единовременно.
Четкие очаги видны на боковых снимках, просто их много + лимфангит, поэтому на прямом мазня. Возможно, метастазирует из м.ж. или щ.ж
Да с Вами поспоришь! Спасибо за дискуссию
Спасибо и Вам,алкс!Вы очень симпатичный доктор,приятно было общаться!
Интересные снимки. Заинтриговал Николас. Скачал архив (Евгений, заочно приветствую, с новым прежним именем!), посмотрел. Однако, не явно, не так отчётливо, но что-то там явно не в порядке на последнем (недавнем) контроле с женщиной. Похоже, процесс тогда начинался... Поправлю - первый архивный - за 2010 год.
Версию Твс поддержу. Он самый. Только уже не диссеминированный, а инфильтративный, и будет с распадом (если ещё не уже).:(
--------------
"Просто, по видимости, не видеть логики в очевидных вещах - это тоже одно из свойств некоторых умов, наряду с грустными думами о свойствах ума других." © Vega 08/10/2011
Это и есть скорее всего инфильтративный туберкулез в/д(S3,Sязычк.?)и возм.S6?н/д левого легкого-тмг,к сожалению,не те),ф распада и обсеменения(диссеминированный по распространенности).МВТ-?Подождем результатов
Насчёт дообследования. А Вы как думаете сами, коллега? Присмотритесь ещё раз. Может, несколько раз на снимки архивные. По-прежнему ничего не смущает, и глаз ничего на дообследование не цепляет?..
Вношу исправление на неверную поправку.) Архив за 2012, 2013 гг. В просмотровщике на .dcm метаданные верные прочитались, один файл просто неверно был автором назван.
--------------
"Просто, по видимости, не видеть логики в очевидных вещах - это тоже одно из свойств некоторых умов, наряду с грустными думами о свойствах ума других." © Vega 08/10/2011
Коллега maximalist, не увидел я - честно. По этому и спросил. Если не сложно - покажите стрелочкой. Заранее спасибо. P.S. Жалко Валентина Львовича нет.
http://www.radiomed.ru/cases/doobsledovanie-eshche-odnoi-damy За полгода до этого на флюшке была полная норма.
Так вижу. Уже не так объективно. Ретроспективно. Но тем не менее. Если есть два снимка архивных - бывает, нужно на них, сравнивая симметричные участки, долго смотреть...
--------------
"Просто, по видимости, не видеть логики в очевидных вещах - это тоже одно из свойств некоторых умов, наряду с грустными думами о свойствах ума других." © Vega 08/10/2011
Я тоже не считаю, что там очаг. Но для сосуда бифуркация та великовата - это раз. Я для начала малого инфильтрата подходит - сближенные сосуды очень напоминают его - это два. А, в-третьих, извиняться не стоит, я же мнением своим ни на что не претендую! Приветствую и Вас, Евгений - это четыре, и пускай будет пять!)
--------------
"Просто, по видимости, не видеть логики в очевидных вещах - это тоже одно из свойств некоторых умов, наряду с грустными думами о свойствах ума других." © Vega 08/10/2011
Появилась информация от лечащего врача(видел его сегодня), что женщину выписали и тубер исключили, он сказал, что будет далее её обследовать.