You are here

помогите разобраться

Пол пациента: 
Тип патологии: 
Область исследования: 
Методы исследования: 

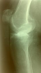
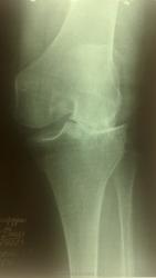
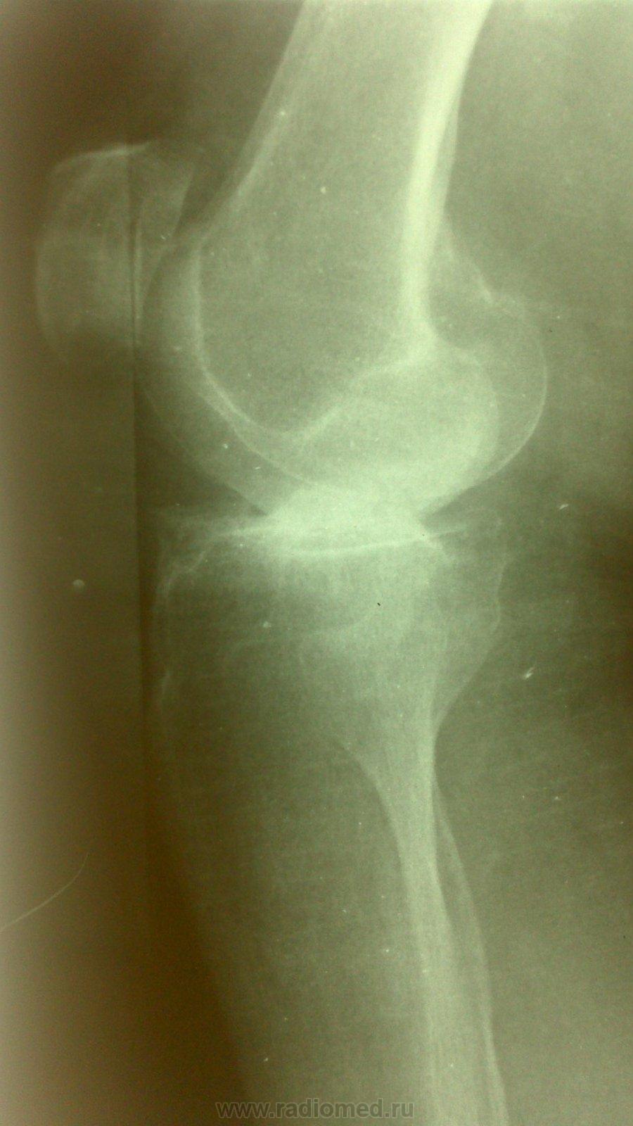
Бабушка 75 лет. Жалобы на боли в суставе. Предыдущих снимков не предоставлено. Со слов на них артроз. На снимках правого сустава Р пр-ки артроза 1 ст.

  • https://radiomed.ru/sites/default/files/styles/case_slider_image/public/user/2841/dsc_0320.jpg?itok=mdHRtvwa
ID:33918
Olga88's picture
Offline
Last seen: 5 years 6 months ago
Joined: 04.05.2012 - 14:48
Posts: 16

Извините за качество.

Olga88's picture
Offline
Last seen: 5 years 6 months ago
Joined: 04.05.2012 - 14:48
Posts: 16

Значительное сужение суставной щели в наружнем отделе,контактный склероз. Подвывих?

И.Бондаренко's picture
Offline
Last seen: 19 hours 25 min ago
Joined: 13.09.2011 - 22:55
Posts: 9208

Как с движениями в суставе? Артроз 3 стадии, подвывих. Возможно, боковые связки повреждены.

Olga88's picture
Offline
Last seen: 5 years 6 months ago
Joined: 04.05.2012 - 14:48
Posts: 16

Движения крайне болезненны, при пальпации хруст, сустав отечен.

алкс's picture
Offline
Last seen: 10 years 3 months ago
Joined: 24.10.2012 - 22:55
Posts: 2915

И.Бондаренко wrote:

Как с движениями в суставе? Артроз 3 стадии, подвывих. Возможно, боковые связки повреждены.

+ yes Вот хирурги вечно пишут "ДОА" при любых жалобах на боли в суставе. Так ВОТ - плиз:  оно и есть классик-  Деформирующий Остео-Артроз.

Makcimalist's picture
Offline
Last seen: 11 years 11 months ago
Joined: 08.05.2010 - 14:28
Posts: 1994

Коллеги, если с латеральным мыщелком бедра всё нормально,  по каким признакам артроз 3 ст. - кому авторство этого артроза присуждаете?

Приложения: 
0319.jpg0320.jpg

--------------

"Просто, по видимости, не видеть логики в очевидных вещах - это тоже одно из свойств некоторых умов, наряду с грустными думами о свойствах ума других."  © Vega 08/10/2011

Olga88's picture
Offline
Last seen: 5 years 6 months ago
Joined: 04.05.2012 - 14:48
Posts: 16

Работаю совсем недавно,опыта маловато,подобную картину вижу впервые,поэтому и возник вопрос артроз ли это. Спасибо , за то что снимки повернули,никак не получалось.

Mihail63's picture
Offline
Last seen: 9 years 2 months ago
Joined: 20.11.2012 - 10:31
Posts: 154

  Может быть рассекающий остеохондрит(суставная мышь в латеральных отделах) в сочетании с гонартрозом

Makcimalist's picture
Offline
Last seen: 11 years 11 months ago
Joined: 08.05.2010 - 14:28
Posts: 1994

Мысль про асептический некроз мыщелка бедра посещала меня, но на боковой проекции совсем ровный контур обоих мыщелков, хотя и нечёткий - "мешают" межмыщелковые бугорки. Может, прямую проекцию всё-таки повторим... в должной укладке и без поворотов?)

--------------

"Просто, по видимости, не видеть логики в очевидных вещах - это тоже одно из свойств некоторых умов, наряду с грустными думами о свойствах ума других."  © Vega 08/10/2011

Olga88's picture
Offline
Last seen: 5 years 6 months ago
Joined: 04.05.2012 - 14:48
Posts: 16

Спасибо большое за участие. Выяснила,что в анамнезе была травма 10 лет назад с тех пор и беспокоит, в амбулаторной карте ни слова об этом. Посттравматический артроз?

Makcimalist's picture
Offline
Last seen: 11 years 11 months ago
Joined: 08.05.2010 - 14:28
Posts: 1994

Olga88 wrote:
Спасибо большое за участие. Выяснила,что в анамнезе была травма 10 лет назад с тех пор и беспокоит, в амбулаторной карте ни слова об этом. Посттравматический артроз?

Посттравматический артроз, думаю, и без нас поставят. Мне самому интересно - где та тень, которая на боковом немного... пропала. А Вам не интересно? Повторили бы снимок - развеяли бы сомнения, доказали бы заблуждения...

--------------

"Просто, по видимости, не видеть логики в очевидных вещах - это тоже одно из свойств некоторых умов, наряду с грустными думами о свойствах ума других."  © Vega 08/10/2011