You are here

Прошу посмотреть КТ мозга.

Пол пациента: 
Тип патологии: 
Область исследования: 
Методы исследования: 

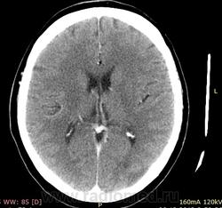
Травма головы 10-12дней назад, женщина, 1975г.,  направленная нейрохирургом, контраст-40мл. в\в. Непонятные изменения на уровне мозолистого тела и слева в затылочной доле. Первое расценено как образование жировой плотности, второе как инсульт.  Не очень внятный для меня инсульт, не абсцедирование ли слева? И что за жир?

   

 

Дайкомы :

Ссылка для скачивания файла:
http://www.fayloobmennik.net/3407046

  • https://radiomed.ru/sites/default/files/styles/case_slider_image/public/user/17212/1_17.jpg?itok=LQHGm4tb
  • https://radiomed.ru/sites/default/files/styles/case_slider_image/public/user/17212/3_7.jpg?itok=xFGwnqQZ
  • https://radiomed.ru/sites/default/files/styles/case_slider_image/public/user/17212/4_8.jpg?itok=2BmWSxbO
ID:34037
Special.K's picture
Offline
Last seen: 9 years 3 months ago
Joined: 09.08.2012 - 23:08
Posts: 479

Дайкомы не смотрел, по представленным снимкам низкоплотностное образование вокруг мозолистого тела это скорее всего Перикаллозальная липома - http://radiopaedia.org/articles/pericallosal-lipoma

Насчет изменения в левой затылочной доле - интереснее. А что по клинике?

Андрей Юрьевич's picture
Offline
Last seen: 2 weeks 6 days ago
Joined: 16.11.2008 - 22:16
Posts: 18106

Изменения в левой теменно-затылочной области описал бы как ушиб 1-го вида (по Корниенко).

Андрей Юрьевич

Popovpavel's picture
Offline
Last seen: 7 years 7 months ago
Joined: 08.06.2009 - 00:23
Posts: 649

Вокруг мозолистого тела - это врожденная "липома" мозолистого тела, дисэмбриогенетические изменения. В принципе, при таких размерах это не имеет клинического значения.

В левой затылочной области - это ушиб, скорее всего в зоне противоудара. Посмотрите повнимательнее, тут есть еще ушиб правой лобной доли - в зоне удара.

И.Бондаренко's picture
Offline
Last seen: 3 days 2 hours ago
Joined: 13.09.2011 - 22:55
Posts: 9213

Андрей Юрьевич wrote:

Изменения в левой теменно-затылочной области описал бы как ушиб 1-го вида (по Корниенко).

+1

Алексей Игоревич Чернявский's picture
Offline
Last seen: 7 years 3 months ago
Joined: 08.08.2012 - 21:52
Posts: 786

+1. Ушиб.

"Обучая других - учишься сам". Н.И.Пирогов
 

алкс's picture
Offline
Last seen: 10 years 5 months ago
Joined: 24.10.2012 - 22:55
Posts: 2915

Special.K wrote:

Дайкомы не смотрел, по представленным снимкам низкоплотностное образование вокруг мозолистого тела это скорее всего Перикаллозальная липома - http://radiopaedia.org/articles/pericallosal-lipoma

Насчет изменения в левой затылочной доле - интереснее. А что по клинике?

Спасибо большое за ссылку!!!yes. Нечасто но встречается, когда такое - как-то понятнее, а бывает до 5-10мм и вдоль серпа. На своих ногах, головная боль, подозрение на ушиб. ( по словам лаборантов - "легкий"!wink асоциал)

Special.K's picture
Offline
Last seen: 9 years 3 months ago
Joined: 09.08.2012 - 23:08
Posts: 479

ну раз была травма в анамнезе, то сомнений нет - ушиб!