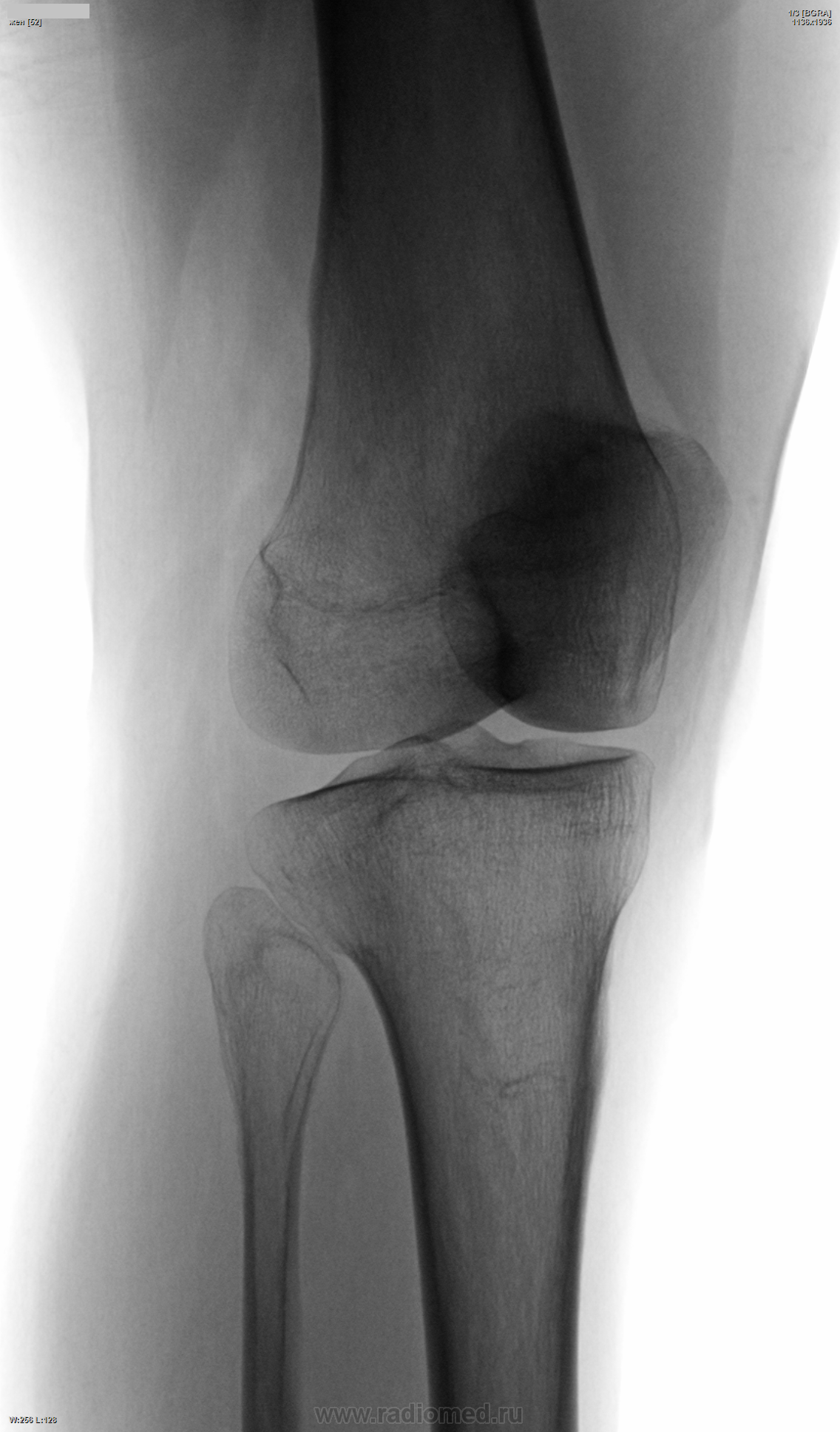
Пол пациента: Женский пол Тип патологии: ТравмаДругое Область исследования: Скелетно-мышечная система Методы исследования: Rg Женщина, 52 лет, с болями в колене. А у кого их сейчас нет? Смотрел на артроз, но увидел нечто иное. Коллеги, если не ново, как возможно такое?.. https://radiomed.ru/sites/default/files/styles/case_slider_image/public/user/4508/144_lst_0001.png?itok=MUEGHztB https://radiomed.ru/sites/default/files/styles/case_slider_image/public/user/4508/144-3.png?itok=g8aIPhgh ID:34356 Wed, 18/12/2013 - 19:07 #1 maker4ik Offline Last seen: 8 years 7 months ago Joined: 19.10.2011 - 17:49 Posts: 2682 Кроме артроза ничего не увидела. Wed, 18/12/2013 - 20:07 #2 Алексей Станисл... Offline Last seen: 5 years 10 months ago Joined: 11.08.2012 - 20:33 Posts: 1903 Кроме пателло-феморального (начального) артроза и тендиноза сухожилия квадрицепса, ничего не увидел. С уважением, Wed, 18/12/2013 - 21:16 #3 schlyapa Offline Last seen: 8 years 3 weeks ago Joined: 27.09.2013 - 22:15 Posts: 613 Экзостоз по передней пов-ти эпифиза м\б кости? Thu, 19/12/2013 - 00:46 #4 Алексей Игореви... Offline Last seen: 6 years 10 months ago Joined: 08.08.2012 - 21:52 Posts: 786 А что кроме артроза Вас смущает? Не вижу за что еще зацепится. "Обучая других - учишься сам". Н.И.Пирогов Fri, 20/12/2013 - 17:30 #5 Сан Саныч1 Offline Last seen: 12 months 1 hour ago Joined: 07.06.2010 - 21:17 Posts: 2114 Пателло-феморальный артроз І ст, тендиноз квадрицепса. Хочешь сделать что-то нормально - сделай это сам! Fri, 20/12/2013 - 23:06 #6 Дмитрий Волегов Offline Last seen: 3 years 6 months ago Joined: 22.05.2013 - 00:32 Posts: 1148 Возможно была травма латерального мениска в детстве. На МРТ, если нет анамнеза. С Уважением, Дмитрий. Sat, 21/12/2013 - 14:45 #7 Makcimalist Offline Last seen: 11 years 9 months ago Joined: 08.05.2010 - 14:28 Posts: 1994 schlyapa wrote: Экзостоз по передней пов-ти эпифиза м\б кости? Да, глаз прицепился к головке малоберцовой. Решил, что сломалась как-то - отломок призначился - доснял косую проекцию через пару дней я. Оказалось, тень (эностоз/перелом(?)) в большеберцовой сидит - и кто это он, о чём говорит?..Приложения: -------------- "Просто, по видимости, не видеть логики в очевидных вещах - это тоже одно из свойств некоторых умов, наряду с грустными думами о свойствах ума других." © Vega 08/10/2011
Кроме артроза ничего не увидела.
Кроме пателло-феморального (начального) артроза и тендиноза сухожилия квадрицепса, ничего не увидел.
С уважением,
Экзостоз по передней пов-ти эпифиза м\б кости?
А что кроме артроза Вас смущает? Не вижу за что еще зацепится.
"Обучая других - учишься сам". Н.И.Пирогов
Пателло-феморальный артроз І ст, тендиноз квадрицепса.
Хочешь сделать что-то нормально - сделай это сам!
Возможно была травма латерального мениска в детстве. На МРТ, если нет анамнеза.
С Уважением, Дмитрий.
Да, глаз прицепился к головке малоберцовой. Решил, что сломалась как-то - отломок призначился - доснял косую проекцию через пару дней я. Оказалось, тень (эностоз/перелом(?)) в большеберцовой сидит - и кто это он, о чём говорит?..
--------------
"Просто, по видимости, не видеть логики в очевидных вещах - это тоже одно из свойств некоторых умов, наряду с грустными думами о свойствах ума других." © Vega 08/10/2011