You are here

Кисть

Пол пациента: 
Область исследования: 
Методы исследования: 

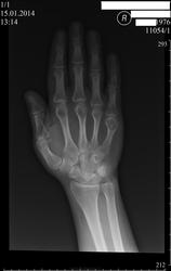
Пациент 37 лет. Приблизительно  5 лет  тому назад заметил увеличение в объёме области головки V пястной кости, боль при рукопожатии. Ваше мнение и какова может быть дальнейшая тактика?

  • https://radiomed.ru/sites/default/files/styles/case_slider_image/public/user/406/kist2.jpg?itok=p2P4mc2M
  • https://radiomed.ru/sites/default/files/styles/case_slider_image/public/user/406/kist.3.jpg?itok=sSaKV_Lr
ID:34788
NIL's picture
NIL
Offline
Last seen: 1 month 21 hours ago
Joined: 25.11.2013 - 20:50
Posts: 18208

Думаю, энхондрома. Мы в таких случаях направляемя на консультацию к онкологу.


"Слушай всех, прислушивайся к немногим, решай сам".©

maker4ik's picture
Offline
Last seen: 8 years 8 months ago
Joined: 19.10.2011 - 17:49
Posts: 2682

Консультация ортопеда?

И.Бондаренко's picture
Offline
Last seen: 3 days 12 hours ago
Joined: 13.09.2011 - 22:55
Posts: 9208

NIL wrote:

Думаю, энхондрома. Мы в таких случаях направляемя на консультацию к онкологу.

+1

Almo's picture
Offline
Last seen: 2 days 1 hour ago
Joined: 28.09.2008 - 18:50
Posts: 8282

Я написал в заключении больше данных за энхондрому. Порекомендовал консультацию ортопеда(  предварительно звонил онкологу и он скзал, что такой нозологией у нас ( в регионе) занимаются ортопеды).

Катенёв Валентин Львович's picture
Offline
Last seen: 7 years 1 month ago
Joined: 22.03.2008 - 22:15
Posts: 54876

+1 за энхондрому

x-ray.ua's picture
Offline
Last seen: 11 years 3 months ago
Joined: 20.10.2013 - 21:32
Posts: 129

энхондрома,занимается ортопед

Almo's picture
Offline
Last seen: 2 days 1 hour ago
Joined: 28.09.2008 - 18:50
Posts: 8282

А, это костной кистой не может быть?

Makcimalist's picture
Offline
Last seen: 11 years 10 months ago
Joined: 08.05.2010 - 14:28
Posts: 1994

Almo wrote:

А, это костной кистой не может быть?

Плотновато для дырки будет. И это не по моему мнению, как говорил уважаемый коллега, - скиалогия здесь не та.

--------------

"Просто, по видимости, не видеть логики в очевидных вещах - это тоже одно из свойств некоторых умов, наряду с грустными думами о свойствах ума других."  © Vega 08/10/2011

Алексей Игоревич Чернявский's picture
Offline
Last seen: 6 years 11 months ago
Joined: 08.08.2012 - 21:52
Posts: 786

Сложно бывает различть энходрому, кисту и гигантоклеточную опухоль. Но тут, я думаю, ближе к энхондроме. Содержимое выглядит неоднородным, с включениями. Одним словом, гистология покажет.

"Обучая других - учишься сам". Н.И.Пирогов
 

Almo's picture
Offline
Last seen: 2 days 1 hour ago
Joined: 28.09.2008 - 18:50
Posts: 8282

Плотновато для дырки будет

--------------------------------------------------------------------------------------------------------------------------------------

Как я понимаю, киста-не совсем "дырка"( в организме в принципе, не должно быть пустот), можно предположить, что имеет какое-то содержимое, например тканевую жидкость.

Makcimalist's picture
Offline
Last seen: 11 years 10 months ago
Joined: 08.05.2010 - 14:28
Posts: 1994

Да, но содержимое это слишком на много частей в ней будто бы разделено. Многокамерная киста? Может так. Но нет ободка-контура для кисты, зато есть костно-хрящевая ткань. Пусть и по-моему, но как-то так.)

--------------

"Просто, по видимости, не видеть логики в очевидных вещах - это тоже одно из свойств некоторых умов, наряду с грустными думами о свойствах ума других."  © Vega 08/10/2011

Almo's picture
Offline
Last seen: 2 days 1 hour ago
Joined: 28.09.2008 - 18:50
Posts: 8282

Да, но содержимое это слишком на много частей в ней будто бы разделено. Многокамерная киста? Может так. Но нет ободка-контура для кисты, зато есть костно-хрящевая ткань. Пусть и по-моему, но как-то так.)

----------------------------------------------------------------------------------------------------------------------------------------------------------------

Да  коллега, где-то так...вот если бы пациенту сделать КТ-кисти, возможно многие вопросы, по содержимому просветления бы снялись. Кстати по КТ, в протоколах отажают плотность структур в единицах плотности H . В протоколах по МРТ, я почему-то такого не встречал, я имею ввиду оценку плотности структур в физических единицах?( может быть нет  физических возможностей сделать это?)

Makcimalist's picture
Offline
Last seen: 11 years 10 months ago
Joined: 08.05.2010 - 14:28
Posts: 1994

Almo wrote:

Да, но содержимое это слишком на много частей в ней будто бы разделено. Многокамерная киста? Может так. Но нет ободка-контура для кисты, зато есть костно-хрящевая ткань. Пусть и по-моему, но как-то так.)

----------------------------------------------------------------------------------------------------------------------------------------------------------------

Да  коллега, где-то так...вот если бы пациенту сделать КТ-кисти, возможно многие вопросы, по содержимому просветления бы снялись. Кстати по КТ, в протоколах отажают плотность структур в единицах плотности H . В протоколах по МРТ, я почему-то такого не встречал, я имею ввиду оценку плотности структур в физических единицах?( может быть нет  физических возможностей сделать это?)

Вы не поверите, но КТ-спецы (не все, конечно) очень не любят использовать то, благодаря чему стало КТ в принципе возможно.

--------------

"Просто, по видимости, не видеть логики в очевидных вещах - это тоже одно из свойств некоторых умов, наряду с грустными думами о свойствах ума других."  © Vega 08/10/2011