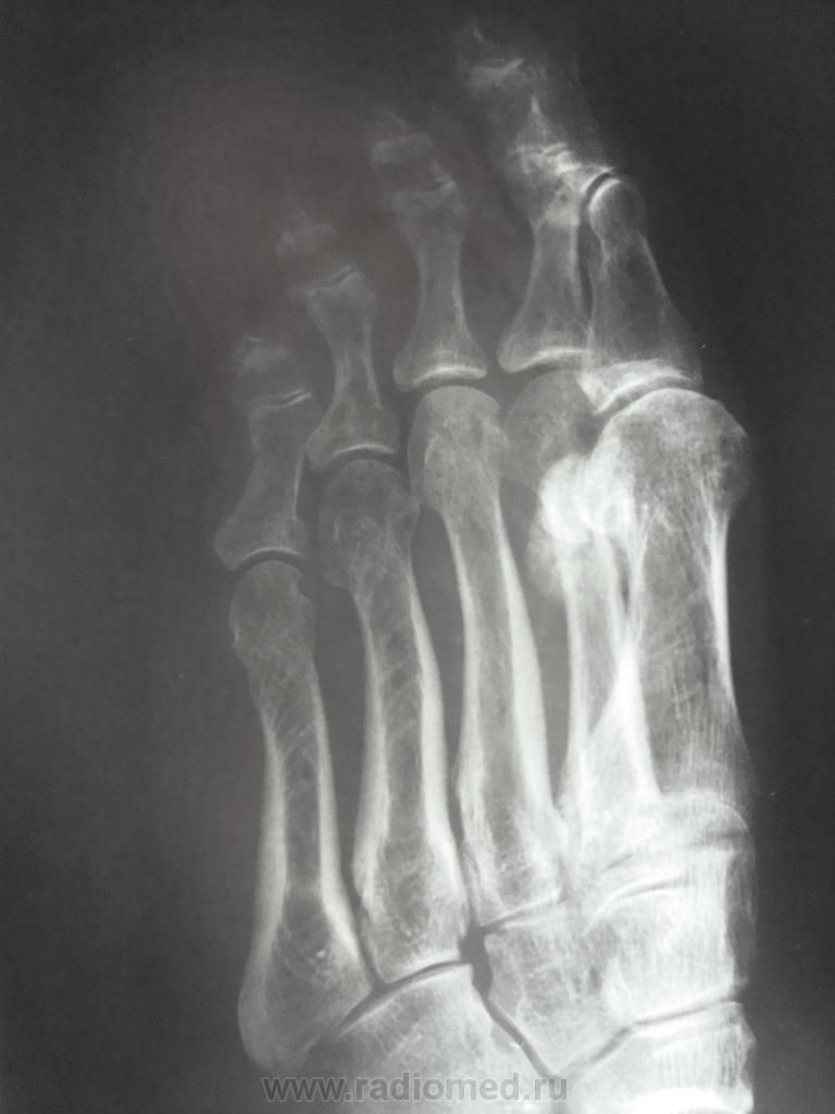
женщина обратилась с жалобами к участковому терапевту на боли во 2 и 3 пальцах правой стопы, предварительный диагноз у них как всегда " артроз", про травму ничего не пишут в амбулаторной карте, как внешне выглядит стопа тоже не описывают. Может ли это быть патологическим переломом????
Перелом по типу маршевого, но так как на фоне минералопении - это ближе к Лоозера, чем Дойчлендера...
Анатолий Владимирович, "болезнь Дойчлендера" или "маршевый перелом" это "лоозеровская зона" или "зона патологической функциональной перестройки структуры" в плюсневых костях, т.е. синонимы.
цитирую С.А. Рейнберга:
"Наиболее показательным прототипом патологической костной перестройки может служить болезнь Дойчлендера (Deutschlander). Она особенно хорошо известна военным врачам под названием "маршевый перелом". Сущностью этой болезни является процесс перестройки кости, вызванный чрезмерной перегрузкой ее. Светлая поперечная полоска - это не нарушение целости кости, не загадочный перелом, наступивший вопреки всему, что нам известно о переломах, без острой травмы, а лоозеровская зона."
Лоозер описал перестройки в скелете на фоне измененной костной ткани, при массовых эпидемиях, недоедании и т. п., а Дойчлендер - тот же самый по сути процесс в нормальном скелете, так что это вещи родственные и похожие, но не тождественные... Информация из лекции уважаемого мной Ш.Ш. Шотемора (ЦОЛИУВ)
Тем не менее термин "лоозеровская зона" стал применяться более широко, подразумевая, что формирование нормальной структуры кости нарушается в силу воздействия на нее тех или иных химических (недоедание) или физических (избыточная нагрузка) факторов.
А меня что-то смущает и участок, помеченный желтыми стрелками.
Меня не смущает: остеопороз, верхний край участка - проекционное наложение сесамовидной кости, нижний - линейное уплотнение структуры по типу стрессорного перелома, из той же серии лоозеровских зон.
Боюсь прослыть упрямым ... Но все-таки... Дружный DS б-ни Дойчлендера выставлен только на основании утверждения, что травмы не было. Я тут "посоветовался" с С.А.Рейнбергом. Он утверждает, что отличительной особенностью полоски просветления при б.Д. является ее ровность, прямолинейность. При переломах полоска зигзагообразная, что мы и имеем. На фоне остеопении больная могла просто наступить на камень и этого не заметить. Вот вам и перелом.
Великое преймущество врача заключается в том, что он не обязан следовать собственным советам. ( А. Кристи)
Мне помниться, на сайте, не так давно, уже велась дискусия о всех этих "маршевых делах", я склонен считать, хотя конечно может и ошибаюсь, но всё это обычные переломы, только при разных условиях. Типичная "мозоль" линия перлома и т.д. Для пациента это особой роли не сыграет. Лечатся одинаково.
Да. Мне тогда Ваше мнение понравилось.. об авторитетах. Ни то что бы я всё отрицаю... просто в данной области взгляды со временем могут и трансформироваться, и термины типа "идиопатический" надеюсь со временем исчезнут, хотя... Чудны дела твои Господи! (не всё подвластно разуму)
Так...к слову...но из двух последних подобных случаев:один - женщина прораб-с утра до вечера - по этажам; другой - холодильных дел мастер - то же самое...в течении многих лет и зим...; а вот по поводу минералопатии - молодая женщина, 40 лет - операция по поводу вальгусной деформации, два месяца гипса и ограничения подвижности, сняли, через 3 дня встала утром с кровати - перелом. Мозоли у всех были одинаковыми...линии переломов тоже....только причины - разные.
Так к слову - какая профессия или род занятий у пациентки?
А.Н. Семизоров «Рентгенография в диагностикеи лечении переломов костей», Москва, видар,2008 г. Стр. 45-49
Патологическая перестройка костной ткани от механических перенапряжений.
Костная ткань обладает огромной пластической способностью видоизменяться и перестраиваться, приспосабливаясь к новым условиям жизнедеятельности. В костной системе человекав течение всей его жизни происходят непрерывные процессы физиологической перестройки костного вещества. Они протекают постоянно, медленно и никакими клиническими признаками не сопровождаются. Морфологическими и рентгенологическими исследованиями установлена тесная зависимость формы и структуры костей от функциональной нагрузки. Уровень функциональной нагрузки определяется среднесуточным стереотипом, при котором форма и строение костей адекватны предъявляемым к ним нагрузкам и обеспечивают относительно равномерное распределение механических напряжений ( анатомо-функциональное соответствие). При стойком изменении среднесуточного стереотипафункциональной нагрузки в ту или иную сторону возникает стойкое изменение структурной организации всей кости.
Повышение функциональной нагрузки ведет к постепенному нарастанию массы кости, равномерному утолщению компактного слоя диафиза и костных балочек эпиметафизов, сужению костномозговой полости и костно-мозговых пространств, то есть к рабочей гипертрофии. Рентгенологически рабочая гипертрофия проявляется четкой дифференцировкой костной структуры, равномерным утолщением кортикального слоя, сужением костно-мозгового канала, усилением рисунка костных перекладин по линиям механических напряжений.
Стойкое понижение функциональной нагрузки сопровождается постепенным уменьшением массы кости за счет истончения кортикальных слоев и костных перекладин метаэпифизов, расширения костномозговой полости. На рентгенограммах выявляются остеопороз ( снижение количества костных структур в единице объема костной ткани), расширение костномозгового канала, ослабление рисунка губчатой кости (атрофия).
Активизация процессов новообразования или резорбции костной ткани происходит до тех пор, пока не наступит новый уровень анатомо-функционального соответствия. Такие изменения структуры кости следует рассматривать как адаптационные, при этом форма кости не меняется. В жизни могут возникать ситуации, когда на костную систему действуют чрезмерно высокие циклические (переменные) нагрузки, а отдыха явно недостаточно. Развивается состояние функционального перенапряжения, вызывающее репаративную регенерацию, которая лежит в основе патологической перестройки. При этом на одних участках кости преобладает костеобразование, на других-разрушение. Локально в месте максимальных напряжений возникает реакция в виде периостальных наслоений и эндостального костеобразования ( локальный склероз). Довольно быстро нарастает местное утолщение кости. К 7-10 дню одновременно с гиперостозом от перенапряжения появляется и рарефикация ( разрежение)компактной кости, приводящая к снижению предела механической прочности костной ткани. Если высокая нагрузка продолжает действовать, то возникает трещина в кортикальной кости. Она имеет тенденцию к увеличению, распространению поперечно продольной оси кости- картина «ползучего» перелома. За счет трещины постепенно уменьшается поперечное сечение кости, что может привести к одномоментному доламыванию кости.
Патологическая перестройка от перенапряжения может возникать в разных костях, однако наиболее типичные места – дистальный отдел 2-й или 3-й (реже) плюсневых костей и проксимальный метафиз большой берцовой кости. Первая локализация носит название в литературе как «маршевая стопа», перелом Дойчлендера, усталостная стопа и др. и встречается чаще у солдат-новобранцев. Перестройка большой берцовой кости встречается чаще у спортсменов в период интенсивных тренировок.
При патологической перестройки выявляются довольно типичные клинические проявления: боль, локальная припухлость, пастозность мягких тканей, нарушение функции. Боль появляется при нагрузке и исчезает в покое.
На рентгенограммах выявляется локальная периостальная реакция в виде одно- или многослойного периостоза. Соответственно ему в костномозговом канале появляется склероз, сужающий просвет канала. В кортикальном слое и среди склероза видна полоска просветления, чаще имеющая клиновидную форму- собственно « ползучий » перелом. При продолжении действии нагрузки он постепенно увеличивается. Однако если травмирующий фактор прекращает свое действие, достаточно быстро восстанавливается нормальная структура кости.
Патологическая перестройка костной ткани требует дифференциальной диагностики с такими заболеваниями, как острый гематогенный остеомиелит, злокачественные опухоли костей (остеогенная саркома, опухоль Юинга, ретикулосаркома).
Описанная перестройка костной ткани возникает у практически здоровых людей при чрезмерно высоких, длительных переменных нагрузках. Однако аналогичная анатомо-функциональное несоответствие может возникнуть и при обычных нагрузках, характерных для повседневной бытовой и профессиональной деятельности у больных с некоторыми заболеваниями, сказывающимися на состоянии костной ткани: это фиброзная дисплазия, эндокринопатии, болезнь Педжета, рахитоподобные заболевания. У пациентов при этих заболеваниях ухудшаются механические свойства костной ткани, и при длительных, хотя и не очень высоких нагрузках возникает патологическая перестройка в метафизах длинных костей, лонной и седалищной костях, шейки бедренной кости, ребрах. Рентгенологическая картина такого «ползучего» перелома наслаивается на картину основного заболевания. Перестроичные переломы возникают на вершине искривления кости при ее дугообразной деформации. Эти зоны перестройки впервые описаны Лоозером и носит название лоозеровских зон просветления.
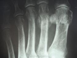
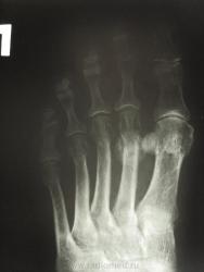
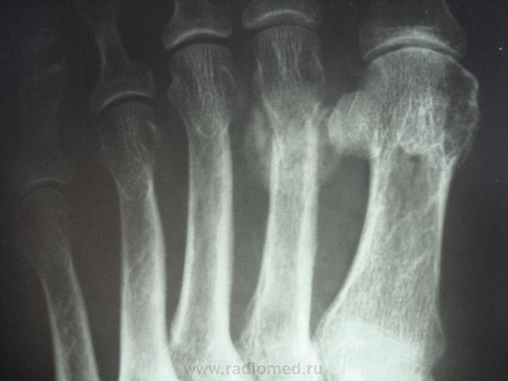
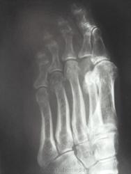
Это остеохондропатия диафиза II плюсневой кости (б-нь Дойчлендера).
Андрей Юрьевич
Перелом по типу маршевого, но так как на фоне минералопении - это ближе к Лоозера, чем Дойчлендера...
про б-нь Дойчлендера я даже и не подумала))))))))))))))))))))
Анатолий Владимирович, "болезнь Дойчлендера" или "маршевый перелом" это "лоозеровская зона" или "зона патологической функциональной перестройки структуры" в плюсневых костях, т.е. синонимы.
цитирую С.А. Рейнберга:
"Наиболее показательным прототипом патологической костной перестройки может служить болезнь Дойчлендера (Deutschlander). Она особенно хорошо известна военным врачам под названием "маршевый перелом". Сущностью этой болезни является процесс перестройки кости, вызванный чрезмерной перегрузкой ее. Светлая поперечная полоска - это не нарушение целости кости, не загадочный перелом, наступивший вопреки всему, что нам известно о переломах, без острой травмы, а лоозеровская зона."
"самоуверенность дилетантов - предмет зависти профессионалов"
Лоозер описал перестройки в скелете на фоне измененной костной ткани, при массовых эпидемиях, недоедании и т. п., а Дойчлендер - тот же самый по сути процесс в нормальном скелете, так что это вещи родственные и похожие, но не тождественные... Информация из лекции уважаемого мной Ш.Ш. Шотемора (ЦОЛИУВ)
Тем не менее термин "лоозеровская зона" стал применяться более широко, подразумевая, что формирование нормальной структуры кости нарушается в силу воздействия на нее тех или иных химических (недоедание) или физических (избыточная нагрузка) факторов.
"самоуверенность дилетантов - предмет зависти профессионалов"
А меня что-то смущает и участок, помеченный желтыми стрелками.
Но тут еще есть мнение Андрея Юрьевича, что это "Это остеохондропатия диафиза II плюсневой кости"....
no comments...
"самоуверенность дилетантов - предмет зависти профессионалов"
Меня не смущает: остеопороз, верхний край участка - проекционное наложение сесамовидной кости, нижний - линейное уплотнение структуры по типу стрессорного перелома, из той же серии лоозеровских зон.
"самоуверенность дилетантов - предмет зависти профессионалов"
По всей видимости, дама, просто начала носить другие туфли (обувь).
Боюсь прослыть упрямым ... Но все-таки... Дружный DS б-ни Дойчлендера выставлен только на основании утверждения, что травмы не было. Я тут "посоветовался" с С.А.Рейнбергом. Он утверждает, что отличительной особенностью полоски просветления при б.Д. является ее ровность, прямолинейность. При переломах полоска зигзагообразная, что мы и имеем. На фоне остеопении больная могла просто наступить на камень и этого не заметить. Вот вам и перелом.
Великое преймущество врача заключается в том, что он не обязан следовать собственным советам. ( А. Кристи)
Мне помниться, на сайте, не так давно, уже велась дискусия о всех этих "маршевых делах", я склонен считать, хотя конечно может и ошибаюсь, но всё это обычные переломы, только при разных условиях. Типичная "мозоль" линия перлома и т.д. Для пациента это особой роли не сыграет. Лечатся одинаково.
Виктор.
Если, мне не изменяет память, то, случай, о котором Вы повествуете, выставила Рыбакова Людмила Александровна.
Да. Мне тогда Ваше мнение понравилось.. об авторитетах. Ни то что бы я всё отрицаю... просто в данной области взгляды со временем могут и трансформироваться, и термины типа "идиопатический" надеюсь со временем исчезнут, хотя... Чудны дела твои Господи! (не всё подвластно разуму)
Виктор.
Так...к слову...но из двух последних подобных случаев:один - женщина прораб-с утра до вечера - по этажам; другой - холодильных дел мастер - то же самое...в течении многих лет и зим...; а вот по поводу минералопатии - молодая женщина, 40 лет - операция по поводу вальгусной деформации, два месяца гипса и ограничения подвижности, сняли, через 3 дня встала утром с кровати - перелом. Мозоли у всех были одинаковыми...линии переломов тоже....только причины - разные.
Так к слову - какая профессия или род занятий у пациентки?
Болезни ног: виды, симптомы, причины, профилактика и лечение
про профессию упустила, спрошу))))))))))))
"Так к слову - какая профессия или род занятий у пациентки?"
удалось узнать только что пенсионерка.
А.Н. Семизоров «Рентгенография в диагностике и лечении переломов костей», Москва, видар,2008 г. Стр. 45-49
Патологическая перестройка костной ткани от механических перенапряжений.
Костная ткань обладает огромной пластической способностью видоизменяться и перестраиваться, приспосабливаясь к новым условиям жизнедеятельности. В костной системе человека в течение всей его жизни происходят непрерывные процессы физиологической перестройки костного вещества. Они протекают постоянно, медленно и никакими клиническими признаками не сопровождаются. Морфологическими и рентгенологическими исследованиями установлена тесная зависимость формы и структуры костей от функциональной нагрузки. Уровень функциональной нагрузки определяется среднесуточным стереотипом, при котором форма и строение костей адекватны предъявляемым к ним нагрузкам и обеспечивают относительно равномерное распределение механических напряжений ( анатомо-функциональное соответствие). При стойком изменении среднесуточного стереотипа функциональной нагрузки в ту или иную сторону возникает стойкое изменение структурной организации всей кости.
Повышение функциональной нагрузки ведет к постепенному нарастанию массы кости, равномерному утолщению компактного слоя диафиза и костных балочек эпиметафизов, сужению костномозговой полости и костно-мозговых пространств, то есть к рабочей гипертрофии. Рентгенологически рабочая гипертрофия проявляется четкой дифференцировкой костной структуры, равномерным утолщением кортикального слоя, сужением костно-мозгового канала, усилением рисунка костных перекладин по линиям механических напряжений.
Стойкое понижение функциональной нагрузки сопровождается постепенным уменьшением массы кости за счет истончения кортикальных слоев и костных перекладин метаэпифизов, расширения костномозговой полости. На рентгенограммах выявляются остеопороз ( снижение количества костных структур в единице объема костной ткани), расширение костномозгового канала, ослабление рисунка губчатой кости (атрофия).
Активизация процессов новообразования или резорбции костной ткани происходит до тех пор, пока не наступит новый уровень анатомо-функционального соответствия. Такие изменения структуры кости следует рассматривать как адаптационные, при этом форма кости не меняется. В жизни могут возникать ситуации, когда на костную систему действуют чрезмерно высокие циклические (переменные) нагрузки, а отдыха явно недостаточно. Развивается состояние функционального перенапряжения, вызывающее репаративную регенерацию, которая лежит в основе патологической перестройки. При этом на одних участках кости преобладает костеобразование, на других-разрушение. Локально в месте максимальных напряжений возникает реакция в виде периостальных наслоений и эндостального костеобразования ( локальный склероз). Довольно быстро нарастает местное утолщение кости. К 7-10 дню одновременно с гиперостозом от перенапряжения появляется и рарефикация ( разрежение)компактной кости, приводящая к снижению предела механической прочности костной ткани. Если высокая нагрузка продолжает действовать, то возникает трещина в кортикальной кости. Она имеет тенденцию к увеличению, распространению поперечно продольной оси кости- картина «ползучего» перелома. За счет трещины постепенно уменьшается поперечное сечение кости, что может привести к одномоментному доламыванию кости.
Патологическая перестройка от перенапряжения может возникать в разных костях, однако наиболее типичные места – дистальный отдел 2-й или 3-й (реже) плюсневых костей и проксимальный метафиз большой берцовой кости. Первая локализация носит название в литературе как «маршевая стопа», перелом Дойчлендера, усталостная стопа и др. и встречается чаще у солдат-новобранцев. Перестройка большой берцовой кости встречается чаще у спортсменов в период интенсивных тренировок.
При патологической перестройки выявляются довольно типичные клинические проявления: боль, локальная припухлость, пастозность мягких тканей, нарушение функции. Боль появляется при нагрузке и исчезает в покое.
На рентгенограммах выявляется локальная периостальная реакция в виде одно- или многослойного периостоза. Соответственно ему в костномозговом канале появляется склероз, сужающий просвет канала. В кортикальном слое и среди склероза видна полоска просветления, чаще имеющая клиновидную форму- собственно « ползучий » перелом. При продолжении действии нагрузки он постепенно увеличивается. Однако если травмирующий фактор прекращает свое действие, достаточно быстро восстанавливается нормальная структура кости.
Патологическая перестройка костной ткани требует дифференциальной диагностики с такими заболеваниями, как острый гематогенный остеомиелит, злокачественные опухоли костей (остеогенная саркома, опухоль Юинга, ретикулосаркома).
Описанная перестройка костной ткани возникает у практически здоровых людей при чрезмерно высоких, длительных переменных нагрузках. Однако аналогичная анатомо-функциональное несоответствие может возникнуть и при обычных нагрузках, характерных для повседневной бытовой и профессиональной деятельности у больных с некоторыми заболеваниями, сказывающимися на состоянии костной ткани: это фиброзная дисплазия, эндокринопатии, болезнь Педжета, рахитоподобные заболевания. У пациентов при этих заболеваниях ухудшаются механические свойства костной ткани, и при длительных, хотя и не очень высоких нагрузках возникает патологическая перестройка в метафизах длинных костей, лонной и седалищной костях, шейки бедренной кости, ребрах. Рентгенологическая картина такого «ползучего» перелома наслаивается на картину основного заболевания. Перестроичные переломы возникают на вершине искривления кости при ее дугообразной деформации. Эти зоны перестройки впервые описаны Лоозером и носит название лоозеровских зон просветления.