You are here

Флюоробудни

Пол пациента: 
Тип патологии: 
Методы исследования: 

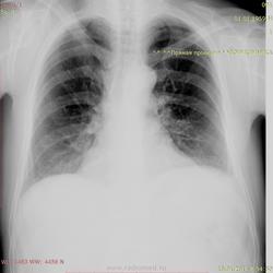
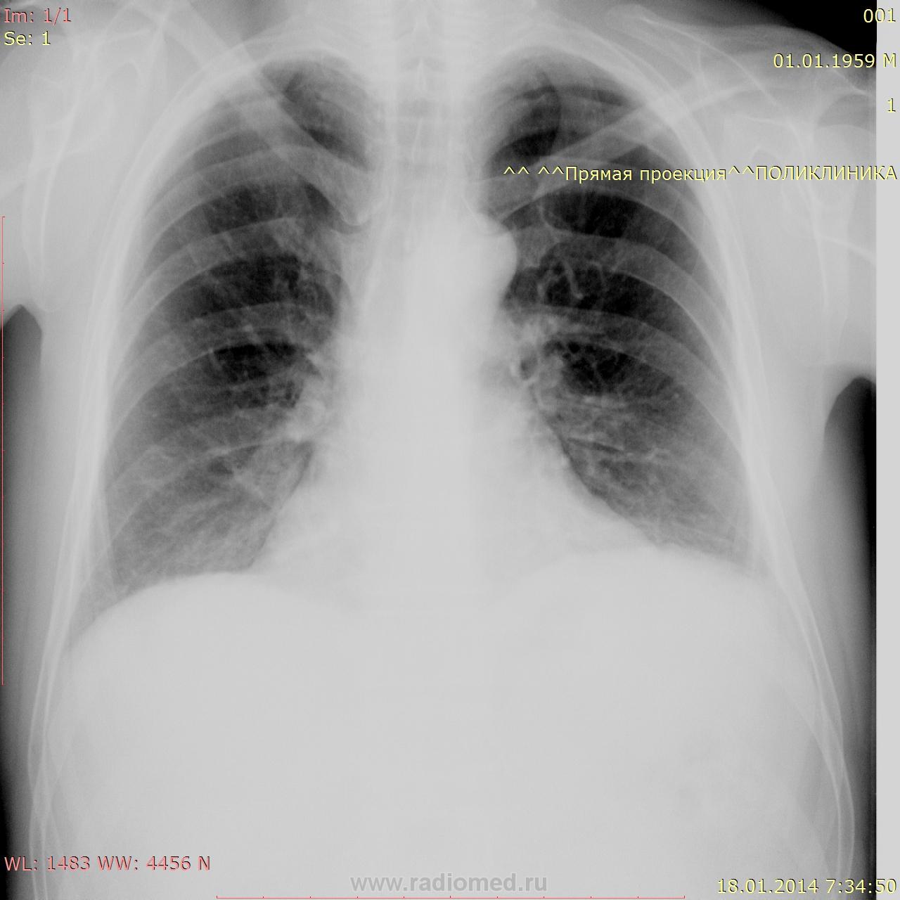
Пока кабинет закрыт на ремонт, снимаю ОГК на передвижке. Что посоветуете, коллеги?

  • https://radiomed.ru/sites/default/files/styles/case_slider_image/public/user/18445/img-0002-00001.jpg?itok=xOy9CVql
ID:35214
Андрей Юрьевич's picture
Offline
Last seen: 3 days 14 hours ago
Joined: 16.11.2008 - 22:16
Posts: 18101

В принцине, ничего особенного. А на чем глаз остановился?

Андрей Юрьевич

Евгений Дорофеев's picture
Offline
Last seen: 11 years 2 months ago
Joined: 06.06.2013 - 17:28
Posts: 1746

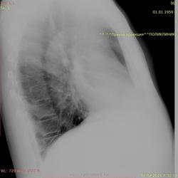
Добрый день, Андрей Юрьевич. Смутило положение средостения и куполов диафрагмы, Просил правый бок сделать. Теперь "мерещится" инфильтрация S2. Могу Dicom скинуть.

Андрей Юрьевич's picture
Offline
Last seen: 3 days 14 hours ago
Joined: 16.11.2008 - 22:16
Posts: 18101

Оценивать боковые ФГ на аппарате класса 12Ф9 не очень перспективно. Вопросов меньше не становится.

Коллега, Вы пытаетесь заниматься современной диагностикой имея на руках примитивное оборудование, предназначенное, к тому же, совсем для другого. Флюорография предназначена для выявления туберкулеза при профосмотрах. И ФСЁ. Все, что на нее навешено в дальнейшем - это ОБРЕМЕНЕНИЕ.

Вот ваш пример. Левый купол стоит несколько выше правого, это может быть при поражении диафрагмально нерва метастатически увеличенными лимфоузлам средостения. Что Вам делать? Дообследовать своими силами вы не можете. Варианта два: 1. написать "Возр. изменения", и ждать , во что это выльется; 2. Написать "Нельзя исключить мтс в л/у средостение. Рек. КТ". Выбор за Вами.

Андрей Юрьевич

Евгений Дорофеев's picture
Offline
Last seen: 11 years 2 months ago
Joined: 06.06.2013 - 17:28
Posts: 1746

Андрей Юрьевич wrote:

Оценивать боковые ФГ на аппарате класса 12Ф9 не очень перспективно. Вопросов меньше не становится.

Коллега, Вы пытаетесь заниматься современной диагностикой имея на руках примитивное оборудование, предназначенное, к тому же, совсем для другого. Флюорография предназначена для выявления туберкулеза при профосмотрах. И ФСЁ. Все, что на нее навешено в дальнейшем - это ОБРЕМЕНЕНИЕ.

Вот ваш пример. Левый купол стоит несколько выше правого, это может быть при поражении диафрагмально нерва метастатически увеличенными лимфоузлам средостения. Что Вам делать? Дообследовать своими силами вы не можете. Варианта два: 1. написать "Возр. изменения", и ждать , во что это выльется; 2. Написать "Нельзя исключить мтс в л/у средостение. Рек. КТ". Выбор за Вами.

Ну почему ? Проскан 7000 - 3,5 пар линий на пиксель. http://files.mail.ru/6DD1A1E6013446409F4CB3A5E986AA27

Андрей Юрьевич's picture
Offline
Last seen: 3 days 14 hours ago
Joined: 16.11.2008 - 22:16
Posts: 18101

Хорошо, пусть Проскан, все равно адекватно ///Дообследовать своими силами вы не можете//. Ну, ладно, может другие что подскажут.

Приложения: 
img-0002-00001.jpgimg-0001-00001.jpg

Андрей Юрьевич

Евгений Дорофеев's picture
Offline
Last seen: 11 years 2 months ago
Joined: 06.06.2013 - 17:28
Posts: 1746

Андрей Юрьевич, только не обижайтесь. Но просто работаю с тем что есть - выбирать не приходится.

Андрей Юрьевич's picture
Offline
Last seen: 3 days 14 hours ago
Joined: 16.11.2008 - 22:16
Posts: 18101

Какие обиды, Дорофей. Мы все работаем на чем есть, не у всех есть детекторы. Я бы ее отпустил.

Андрей Юрьевич

Сольвейг's picture
Offline
Last seen: 3 years 7 months ago
Joined: 05.02.2013 - 20:25
Posts: 2239

Дорофей! Я бы сначала попробовала переделать на полном вдохе,

Евгений Дорофеев's picture
Offline
Last seen: 11 years 2 months ago
Joined: 06.06.2013 - 17:28
Posts: 1746

Миргалина wrote:

Дорофей! Я бы сначала попробовала переделать на полном вдохе,

Спасибо за мнение Миргалина.

Сергей Кузьминов's picture
Offline
Last seen: 1 year 1 month ago
Joined: 06.10.2012 - 15:51
Posts: 11813

Вроде как,ничего криминального.