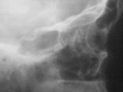
Виктор Григорьевич, надеюсь простите некоторые вольности (попыталась немного улучшить Ваши рентгенограммы), но всё равно, кроме пристеночного затемнения гайморовых пазух пока ничего не нахожу.
Снова встает вопрос, нужна ли рентгенография черепа? Гадание на кофейной гуще. Сразу КТ надо было делать. От рентгенограмм никакой информации.
Уважаемая Nela, это фрагменты экспертной оценки...есть и КТ, но рентгенограммы были произведены на первом этапе...и еще одно, не знаю как в РФ, но у нас в ТАКОМ случае рентгенограммы, как вещдок, необходимы)))), так требует инструкция и соответствующие приказы...хорошие они или плохие - сие надо отобразить в протоколе...иногда их уже и переделывать некому...увы.
Виктор Григорьевич! Если Вы обнаружили эту пулю уже на рентгенограммах, то кто направил пациента на КТ головного мозга (Вы? лечащий врач?).
Это "разборки" из бюро СМЭ...там у меня под рукой все...а уж рентгенограммы, ПОДТВЕРЖДАЮЩИЕ что либо, ОБЯЗАНЫ быть...так ТРЕБУЮТ....посему, есть КТ или нет, но хоть малейшие подтверждающие признаки, хоть часть, НАДО найти и рентгенологически.
Понимаю, иногда это вразрез с логикой, но я ЭТИХ приказов и инструкций не писал))), а вот требуют с меня.
Вообще работа в СМЭ - это отдельный и интересный разговор)))
раз никто не комментирует - значит сложная задача, дайте хоть какую подсказку, что за инородное тело?
Виктор Григорьевич, надеюсь простите некоторые вольности (попыталась немного улучшить Ваши рентгенограммы), но всё равно, кроме пристеночного затемнения гайморовых пазух пока ничего не нахожу.
"Слушай всех, прислушивайся к немногим, решай сам".©
Ну разве только эта тенюшка?
"Слушай всех, прислушивайся к немногим, решай сам".©
Мерещатся два: одно в проекции малого крыла, второе чуть выше и медиальнее.
Показать не получается :)
Подсказка 2-я - это резиновая пуля
Болезни ног: виды, симптомы, причины, профилактика и лечение
Витор Гриорьевич, ну ты ж и хитрый. Видишь входное, видишь выходное, знаешь калибр, а нам весь череп суешь...
Если б я эти резиновые пули когда-нибудь видела, Хоть бы размер знать... Попытка №2
"Слушай всех, прислушивайся к немногим, решай сам".©
Если бы))), Игорь Иванович, ты же знаешь где я еще работаю...там - только снимки)))
Болезни ног: виды, симптомы, причины, профилактика и лечение
На 1 см выше и влево))))
Болезни ног: виды, симптомы, причины, профилактика и лечение
В проекции основной пазухи?
С уважением, Татьяна.
Михай
Вот, в понедельник дополню.
Болезни ног: виды, симптомы, причины, профилактика и лечение
Снова встает вопрос, нужна ли рентгенография черепа? Гадание на кофейной гуще. Сразу КТ надо было делать. От рентгенограмм никакой информации.
Уважаемая Nela, это фрагменты экспертной оценки...есть и КТ, но рентгенограммы были произведены на первом этапе...и еще одно, не знаю как в РФ, но у нас в ТАКОМ случае рентгенограммы, как вещдок, необходимы)))), так требует инструкция и соответствующие приказы...хорошие они или плохие - сие надо отобразить в протоколе...иногда их уже и переделывать некому...увы.
Болезни ног: виды, симптомы, причины, профилактика и лечение
Да у нас тоже самое. Вопреки логике и здравому смыслу.
"Слушай всех, прислушивайся к немногим, решай сам".©
У меня на работе есть заготовленые схемы и слайд КТ. в понедельник выставлю.
Случай потому и представлен, что порой такую "резинку" практически не найти....
Болезни ног: виды, симптомы, причины, профилактика и лечение
Вот где то так все выглядит.
Болезни ног: виды, симптомы, причины, профилактика и лечение
Ну наконец-то. Думала, Вы забыли. Спасибо.
"Слушай всех, прислушивайся к немногим, решай сам".©
Да не забыл, работы невпроворот))))
Болезни ног: виды, симптомы, причины, профилактика и лечение
Виктор Григорьевич! Если Вы обнаружили эту пулю уже на рентгенограммах, то кто направил пациента на КТ головного мозга (Вы? лечащий врач?).
Анатолий Петрович
Это "разборки" из бюро СМЭ...там у меня под рукой все...а уж рентгенограммы, ПОДТВЕРЖДАЮЩИЕ что либо, ОБЯЗАНЫ быть...так ТРЕБУЮТ....посему, есть КТ или нет, но хоть малейшие подтверждающие признаки, хоть часть, НАДО найти и рентгенологически.
Понимаю, иногда это вразрез с логикой, но я ЭТИХ приказов и инструкций не писал))), а вот требуют с меня.
Вообще работа в СМЭ - это отдельный и интересный разговор)))
Болезни ног: виды, симптомы, причины, профилактика и лечение