You are here

интересный рентгенархив

Пол пациента: 
Тип патологии: 
Методы исследования: 

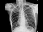
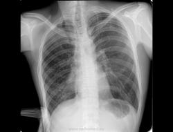
Молодой человек 1977 г.р, прошел профосмотр. Что-то смущает?

ID:35736
Катенёв Валентин Львович's picture
Offline
Last seen: 7 years 3 months ago
Joined: 22.03.2008 - 22:15
Posts: 54876

Танюшка wrote:

 Что-то смущает?

Ничего не смущает. Нужна томография верхушек.

Танюшка's picture
Offline
Last seen: 6 years 5 months ago
Joined: 16.12.2013 - 14:23
Posts: 179

Валентин Львович, здравствуйте. Вот и я пропустила патологию, а вернулась к этому пациенту через 8 месяцев, когда он заболел туберкулезом легких

Приложения: 
foto0033.jpgfoto0034.jpgfoto0035.jpg

Михай

Танюшка's picture
Offline
Last seen: 6 years 5 months ago
Joined: 16.12.2013 - 14:23
Posts: 179

И представляю R контроль после выписки из ОПТД

Приложения: 
foto0037.jpg

Михай

Катенёв Валентин Львович's picture
Offline
Last seen: 7 years 3 months ago
Joined: 22.03.2008 - 22:15
Posts: 54876

Здравствуйте!

Вы правы - пропуск был.

Катенёв Валентин Львович's picture
Offline
Last seen: 7 years 3 months ago
Joined: 22.03.2008 - 22:15
Posts: 54876

Танюшка wrote:

И представляю R контроль после выписки из ОПТД

Интересно, а сколько длилось лечения в ОПТД до контроля.

Танюшка's picture
Offline
Last seen: 6 years 5 months ago
Joined: 16.12.2013 - 14:23
Posts: 179

Лечение продолжалось 8 месяцев. Есть еще ФОГК контроль и после лечения.

Приложения: 
5545_0.jpg

Михай

Катенёв Валентин Львович's picture
Offline
Last seen: 7 years 3 months ago
Joined: 22.03.2008 - 22:15
Posts: 54876

Спасибо за динамику.

Можно озаглавить, как классику жанра.

Танюшка's picture
Offline
Last seen: 6 years 5 months ago
Joined: 16.12.2013 - 14:23
Posts: 179

Валентин Львович, это еще не все. Обратите внимание на правый контур сердца. Вот это и был мой пропуск. Ваше мнение?

Михай

Катенёв Валентин Львович's picture
Offline
Last seen: 7 years 3 months ago
Joined: 22.03.2008 - 22:15
Posts: 54876

Танюшка wrote:

 Обратите внимание на правый контур сердца. Вот это и был мой пропуск. Ваше мнение?

Без бокового снимка мнения быть не может.

Helios's picture
Offline
Last seen: 10 months 2 weeks ago
Joined: 06.08.2010 - 15:16
Posts: 4417

Я бы тоже за верхушки не зацепилась, а правое легочное поле в нижнем отделе сразу напрягло.Мне показалось, что какой-то клубок  сосудов(?).

Танюшка's picture
Offline
Last seen: 6 years 5 months ago
Joined: 16.12.2013 - 14:23
Posts: 179

Здравствуйте, Helios. На всех снимках присутсвуют изменения + боковых. Представлю еще ФОГК архив за 2013г

Приложения: 
12320_0.jpg

Михай

Катенёв Валентин Львович's picture
Offline
Last seen: 7 years 3 months ago
Joined: 22.03.2008 - 22:15
Posts: 54876

Танюшка wrote:

 Представлю еще ФОГК архив за 2013г

Архив конечно хороший. Но почему правый боковой не сделан, а если сделан, то почему не выкладываете.

Mila85's picture
Offline
Last seen: 3 years 4 months ago
Joined: 15.03.2012 - 16:59
Posts: 1790

Странно смотрится все правое легочное поле, может гипоплазия с аномалией сосудов корня?

Танюшка's picture
Offline
Last seen: 6 years 5 months ago
Joined: 16.12.2013 - 14:23
Posts: 179

Mila, уже теплее. Валентин Львович, добавляю бок от.08.2013года, но он мало, что дает. Направила на КТ

Приложения: 
foto0044.jpg

Михай

А. Горюнов's picture
Offline
Last seen: 4 months 18 hours ago
Joined: 07.10.2012 - 12:12
Posts: 2744

Аномалия легочной вены правого легкого (ЧАДЛВ). Ятаган синдром. Показано МСКТ с внутривенным болюсным контрастированием. 

Анатолий Петрович

Ola-la's picture
Offline
Last seen: 1 year 1 month ago
Joined: 06.12.2008 - 09:33
Posts: 1786

Затемнение паравертебрально справа в нижнем отделе, на фоне которого визуализируются просветы бронхов - ателектаз? Верхняя доля компенсаторно вздута.

Makcimalist's picture
Offline
Last seen: 11 years 11 months ago
Joined: 08.05.2010 - 14:28
Posts: 1994

Ola-la wrote:

Затемнение паравертебрально справа в нижнем отделе, на фоне которого визуализируются просветы бронхов - ателектаз? Верхняя доля компенсаторно вздута.

Длительный по времени, получается, ателектаз. И лечение было, но не расправится он никак.) Добавлю версию секвестрации. Хотя больше склоняюсь к сосудистой мальформации.

--------------

"Просто, по видимости, не видеть логики в очевидных вещах - это тоже одно из свойств некоторых умов, наряду с грустными думами о свойствах ума других."  © Vega 08/10/2011

Helios's picture
Offline
Last seen: 10 months 2 weeks ago
Joined: 06.08.2010 - 15:16
Posts: 4417

[quote=Makcimalist]

 Хотя больше склоняюсь к сосудистой мальформации.

[/quote

+1 ( см выше)

А. Горюнов's picture
Offline
Last seen: 4 months 18 hours ago
Joined: 07.10.2012 - 12:12
Posts: 2744

Ola-la wrote:

Затемнение паравертебрально справа в нижнем отделе, на фоне которого визуализируются просветы бронхов - ателектаз? Верхняя доля компенсаторно вздута.

Ателектаз бы выглядел так.

RLL Collapse 1 PA

Анатолий Петрович

Сольвейг's picture
Offline
Last seen: 3 years 8 months ago
Joined: 05.02.2013 - 20:25
Posts: 2239

Танюшка.картинка похожа на цирроз средней доли с бронхоэктазами.

Танюшка's picture
Offline
Last seen: 6 years 5 months ago
Joined: 16.12.2013 - 14:23
Posts: 179

Миргалина, здравствуйте. Посмотрите на первую дугу правого контура сердца, а что сверху?

С уважением, Татьяна.

Михай

И.Бондаренко's picture
Offline
Last seen: 10 hours 19 min ago
Joined: 13.09.2011 - 22:55
Posts: 9209

Трахея расширяется внизу. Вроде добавочный сосуд идёт снизу к правому корню, или обратно. Добавочная доля?

Сольвейг's picture
Offline
Last seen: 3 years 8 months ago
Joined: 05.02.2013 - 20:25
Posts: 2239

Танюша, еще в голову приходит атрезия бронха, так бронхоцеле формируются. Еще видится крупная тонкостенная полость. КТ-шечку бы сюда или томочки. Ух,как интересно! Заинтриговали. Но врожденная аномалия есть какая-то.

Сольвейг's picture
Offline
Last seen: 3 years 8 months ago
Joined: 05.02.2013 - 20:25
Posts: 2239

Танюшка,неужели с-м ятагана, а эта тень-легочная вена? Ух, фантазия заработала. С этими ятаганами встречалась, но больше у детей.а тут- взрослый. Неужто так и не замечали никогда? Внимания, наверное,не обращали. Думали: " Ну, встал бочком, и ладно" Танюшка, приходите скорей, а то я уже сама с собой разговариваю.Люди-то смеяться сейчас будут.

А. Горюнов's picture
Offline
Last seen: 4 months 18 hours ago
Joined: 07.10.2012 - 12:12
Posts: 2744

В анамнезе твс; возможны с ним осложнения: например синдром верхней полой вены?

Анатолий Петрович

Дмитрий Волегов's picture
Offline
Last seen: 3 years 9 months ago
Joined: 22.05.2013 - 00:32
Posts: 1148

Автор задерживается с ответом, может ждёт версии синдрома Мунье-Куна. По сердцу версии нет, может слипчивый перикардит?

С Уважением, Дмитрий.

Катенёв Валентин Львович's picture
Offline
Last seen: 7 years 3 months ago
Joined: 22.03.2008 - 22:15
Posts: 54876

Ola-la wrote:

Затемнение паравертебрально справа в нижнем отделе, на фоне которого визуализируются просветы бронхов - ателектаз? Верхняя доля компенсаторно вздута.

Очень симпатичная версия (ателектаз), тем паче, что межреберные промежутки справа сужены...

А. Горюнов's picture
Offline
Last seen: 4 months 18 hours ago
Joined: 07.10.2012 - 12:12
Posts: 2744

Последствие флотирующих переломов ребер справа?

Анатолий Петрович

Makcimalist's picture
Offline
Last seen: 11 years 11 months ago
Joined: 08.05.2010 - 14:28
Posts: 1994

А. Горюнов wrote:

Флотирующие переломы 1-2 ребер справа?

Уверен, что рёберно-позвонковые сочленения, смотрятся так из-за асимметрии грудной клетки, вследствие правого гемиторакса объёмного уменьшения...

--------------

"Просто, по видимости, не видеть логики в очевидных вещах - это тоже одно из свойств некоторых умов, наряду с грустными думами о свойствах ума других."  © Vega 08/10/2011

Сольвейг's picture
Offline
Last seen: 3 years 8 months ago
Joined: 05.02.2013 - 20:25
Posts: 2239

Однозначно,что объем правого легкого уменьшен.Дождемся автора-версий много.И все-таки больше данных за аномалию развития.ИМХО.

А. Горюнов's picture
Offline
Last seen: 4 months 18 hours ago
Joined: 07.10.2012 - 12:12
Posts: 2744

Миргалина wrote:

Однозначно,что объем правого легкого уменьшен.Дождемся автора-версий много.И все-таки больше данных за аномалию развития.ИМХО.

Уважаемая, Коллега Миргалина! К сожалению,   не по имени-отчеству. И все же каков приоритетный диф. ряд? Жаль, что опытные, постоянные и активные Коллеги-классики остаются в стороне, наверное, заняты. 

Анатолий Петрович

А. Горюнов's picture
Offline
Last seen: 4 months 18 hours ago
Joined: 07.10.2012 - 12:12
Posts: 2744

И Автор молчит, выдерживая интригу, классическую паузу! Поэтому ему вопросы: клинико-лабораторные данные пациента?  Перед КТ проводили ли дополнительные диагностические исследования: Ro-скопия, ЛТ и др.?

Анатолий Петрович

Танюшка's picture
Offline
Last seen: 6 years 5 months ago
Joined: 16.12.2013 - 14:23
Posts: 179

Всем, здравствуйте. Результатов МСКТ -снимков не дождалась; мать не принесла. Есть только протокол. Докладываю: пациент яв-ся инвалидом детства по- психическому заболеванию,  правосторонний гемипарез с рождения, в анамнезе частые простудные заболевания, правосторонние н/долевые пневмонии, туберкулез легких - ЧДБ.

Заключение: Гипоплазия н/доли правого легкого. Компенсаторная эмфизема левого легкого.

С уважением, Татьяна

 

Приложения: 
foto0060.jpg

Михай

Катенёв Валентин Львович's picture
Offline
Last seen: 7 years 3 months ago
Joined: 22.03.2008 - 22:15
Posts: 54876

Следовательно, "Гипоплазия" установлена впервые?

Танюшка's picture
Offline
Last seen: 6 years 5 months ago
Joined: 16.12.2013 - 14:23
Posts: 179

Да, впервые. Со слов матери была проведена и ФБС. Я пришла к выводу, что имея одну вр.патологию, надо всегда предполагать о наличии и других, как в данном случае; хотя данного мальчика я знаю с детства и сама лечила неоднократно пр.пневмонию, будучи терапевтом.

Михай

Катенёв Валентин Львович's picture
Offline
Last seen: 7 years 3 months ago
Joined: 22.03.2008 - 22:15
Posts: 54876

Танюшка wrote:

Да, впервые.

Да, однако...

А, как же обследование при первичной и "последующих" постановках на военный учёт по линии доблестного военкомата?

Танюшка's picture
Offline
Last seen: 6 years 5 months ago
Joined: 16.12.2013 - 14:23
Posts: 179

Инвалид детства-белый билет

Михай

svetlana292929's picture
Offline
Last seen: 3 years 11 months ago
Joined: 18.06.2012 - 13:53
Posts: 869

что-то я не поняла, очаги были слева в среднем поле на первом снимке?

А. Горюнов's picture
Offline
Last seen: 4 months 18 hours ago
Joined: 07.10.2012 - 12:12
Posts: 2744

Я тоже не понял. Что за намеки на правый контур сердца и что-то над ним?  Будет ли Дайком формат КТ-исследования?

Анатолий Петрович

Танюшка's picture
Offline
Last seen: 6 years 5 months ago
Joined: 16.12.2013 - 14:23
Posts: 179

Я тоже ждала результатов МСКТ. Если мама их предоставит, то, обязательно выставлю.

Михай

А. Горюнов's picture
Offline
Last seen: 4 months 18 hours ago
Joined: 07.10.2012 - 12:12
Posts: 2744

5545_0.jpgf30.medium_s_sindromom_yatagan.gif Синдром ятагана - это сложный, комплексный врожденный порок развития, в состав которого входят: аномалии и пороки развития бронхолегочной структуры правого легкого и, прежде всего, гипоплазия правого легкого (1-й: обсуждаемый случай;  2-ой: ссылка из публикации).

Предположения о наличии порока (аномалии) развития правого легкого были в постах: №№: 10, 13, 15, 24, 30. 

С каким рентгенологическим заключением был направлен пациент на МСКТ (Цель исследования?)? И когда по времени проводилась ФБС?

Анатолий Петрович

Танюшка's picture
Offline
Last seen: 6 years 5 months ago
Joined: 16.12.2013 - 14:23
Posts: 179

Никто и не спорит, что на представленных снимках была отмечена, многими постами, эта патология. Спасибо за представленный синдром "ятагана" А ФБС выплнена  была  при выявлении туберкулеза легких, когда было бацилловыделение. Интриги никакой нет, я ждала результаты МСКТ. А наравила его на МСКТ с диф.ряом- образование нижнего этажа преднего средостения и секвестрация н/дои пр.легкого? Юноша состоит на учете у психитра.

С уважением, Татьяна.

Михай

А. Горюнов's picture
Offline
Last seen: 4 months 18 hours ago
Joined: 07.10.2012 - 12:12
Posts: 2744

Уважаемая, Татьяна! Вот теперь все стало понятным. Спасибо за представленное наблюдени! Поучительно и познавательно, хотя бы для меня. Несколько дней в мыслях была диф. диагностика этого наблюдения. А Вы говорите, что нет интриги! С уважением, А. П.

Анатолий Петрович

Катенёв Валентин Львович's picture
Offline
Last seen: 7 years 3 months ago
Joined: 22.03.2008 - 22:15
Posts: 54876

А. Горюнов wrote:

5545_0.jpgf30.medium_s_sindromom_yatagan.gif Синдром ятагана - это сложный, комплексный врожденный порок развития, в состав которого входят: аномалии и пороки развития бронхолегочной структуры правого легкого и, прежде всего, гипоплазия правого легкого (1-й: обсуждаемый случай;  2-ой: ссылка из публикации).

Я думаю эта ссылка будет не лишней -

http://www.radiomed.ru/publications/anomalii-i-varianty-razvitiya-ogk-kisty-bronkhogennye-ageneziya-legkikh-gipoplaziya-leg

А. Горюнов's picture
Offline
Last seen: 4 months 18 hours ago
Joined: 07.10.2012 - 12:12
Posts: 2744

Катенёв Валентин Львович wrote:

А. Горюнов wrote:

5545_0.jpgf30.medium_s_sindromom_yatagan.gif Синдром ятагана - это сложный, комплексный врожденный порок развития, в состав которого входят: аномалии и пороки развития бронхолегочной структуры правого легкого и, прежде всего, гипоплазия правого легкого (1-й: обсуждаемый случай;  2-ой: ссылка из публикации).

Я думаю эта ссылка будет не лишней -

http://www.radiomed.ru/publications/anomalii-i-varianty-razvitiya-ogk-kisty-bronkhogennye-ageneziya-legkikh-gipoplaziya-leg

Уважаемый, Валентин Львович! Спасибо за Ваши полезные  публикации и многочисленные ссылки по различным разделам лучевой диагностики. Помогают мне в работе; вот пригодились и в данном случае. С уважением, А.П. 

Анатолий Петрович

Nobody's picture
Offline
Last seen: 11 years 3 months ago
Joined: 15.03.2014 - 20:29
Posts: 2013

Танюшка wrote:

Всем, здравствуйте. Результатов МСКТ -снимков не дождалась; мать не принесла. Есть только протокол. Докладываю: пациент яв-ся инвалидом детства по- психическому заболеванию,  правосторонний гемипарез с рождения, в анамнезе частые простудные заболевания, правосторонние н/долевые пневмонии, туберкулез легких - ЧДБ.

Заключение: Гипоплазия н/доли правого легкого. Компенсаторная эмфизема левого легкого.

С уважением, Татьяна

+

Танюшка wrote:

Да, впервые (выполнена МСКТ). Со слов матери была проведена и ФБС. Я пришла к выводу, что имея одну вр.патологию, надо всегда предполагать о наличии и других, как в данном случае; хотя данного мальчика я знаю с детства и сама лечила неоднократно пр.пневмонию, будучи терапевтом.

= Только мне одному чудится, что гипоплазию в протоколе описали фиброзом? И анамнез никого не напрягает - пневмониеперенесённый?.. То есть бывает? Гипоплазия вместе с фиброзом по жизни шагает? И всё верно - так её и нужно характеризовать на КТ - то бишь фиброзом, чтоб не вывалилась в нечто новое, непонятное из кузова-э?..

"Лишь утратив всё до конца, мы обретаем свободу." F.C.