You are here

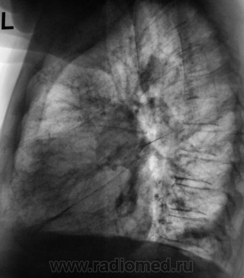
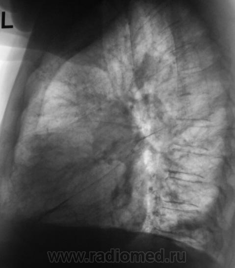
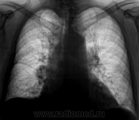
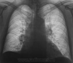
Контроль после флюорографии.

Пол пациента: 
Тип патологии: 
Методы исследования: 

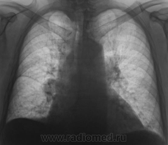
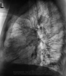
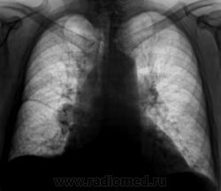
При расшифровке флюорограмм пациент "взят на контроль". Произведено стандартное дообследование.

Ваше мнение коллеги?

  • https://radiomed.ru/sites/default/files/styles/case_slider_image/public/user/12/2..P.K..jpg?itok=wTQvBoYn
  • https://radiomed.ru/sites/default/files/styles/case_slider_image/public/user/12/3..P.K..JPG?itok=WdimU119
  • https://radiomed.ru/sites/default/files/styles/case_slider_image/public/user/12/4..P.K..jpg?itok=PhUPePED
  • https://radiomed.ru/sites/default/files/styles/case_slider_image/public/user/12/5..P.K..JPG?itok=rCpdBesy
  • https://radiomed.ru/sites/default/files/styles/case_slider_image/public/user/12/6.P.K..jpg?itok=ZVaJ1xJG
ID:1615
Катенёв Валентин Львович's picture
Offline
Last seen: 7 years 2 months ago
Joined: 22.03.2008 - 22:15
Posts: 54876

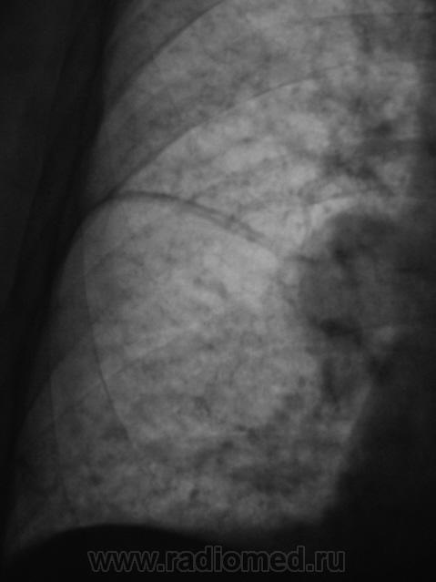
Произведены томограммы.

 

Приложения: 
1.T.omo_.JPG2._T.omo_.jpg3._T.omo_.JPG4._t.omo_.jpg5._T.omo_.JPG6._T.omo_.jpg
Катенёв Валентин Львович's picture
Offline
Last seen: 7 years 2 months ago
Joined: 22.03.2008 - 22:15
Posts: 54876

Продолжение.

 

Приложения: 
11._T.omo_.JPG12._T.omo_.jpg13._T.omo_.JPG14._T.omo_.jpg15._T.omo_.JPG16._T.omo_.jpg17._T.omo_.jpg
Almo's picture
Offline
Last seen: 4 hours 48 min ago
Joined: 28.09.2008 - 18:50
Posts: 8282

Здравствуйте Валентин Львович, не совсем понятно, где это по боковой проекции? В таких слчаях может помочь R-скопия лёгких, но право врача выбирать ту методику, которая ему ближе.

Катенёв Валентин Львович's picture
Offline
Last seen: 7 years 2 months ago
Joined: 22.03.2008 - 22:15
Posts: 54876

Здравствуйте Almo! Томограммы выполнены в стандартных срезах - 7, 9, 11 см.

Анатолий Владимирович Шумаков's picture
Offline
Last seen: 7 years 11 months ago
Joined: 16.10.2009 - 21:16
Posts: 1941

Эта штучка неотделима от правой промежуточной артерии...

Катенёв Валентин Львович's picture
Offline
Last seen: 7 years 2 months ago
Joined: 22.03.2008 - 22:15
Posts: 54876

Вот раздумываю послать на КТ или не посылать. Пациент ничего и слышать не хочет о поездке в областной центр.

Игорь Иванович's picture
Offline
Last seen: 3 years 11 months ago
Joined: 23.01.2010 - 14:56
Posts: 3695

А что там в легких: фиброз, склероз, диссеминация? Почему этого не видно на томо?

Катенёв Валентин Львович's picture
Offline
Last seen: 7 years 2 months ago
Joined: 22.03.2008 - 22:15
Posts: 54876

На "томо" шикарно видно:

1. Гиповентиляцию правого лёгкого.

Игорь Иванович's picture
Offline
Last seen: 3 years 11 months ago
Joined: 23.01.2010 - 14:56
Posts: 3695

Выйдет что-то  типа пустого выстрела. Дядьке -100 лет, курец с 3-4 лет. И т.д.