Пол пациента:
Тип патологии:
Область исследования:
Методы исследования:
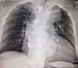
Здравствуйте! Скажите пожалуйста свое мнение по поводу снимка. Женщина 74 года. Поступила в приемное отделение с направлением из психоневрологического диспансера для исключения пневмонии. Большей информацией по больной не владею! Аневризма грудного отдела аорты?? Тысяча извинений за качество снимков!
Нет ПК для обработки снимков.
-
Schlyapa спасибо.
А dicom никак нельзя предоставить?
Образование верхнего этажа передненго средостения: загрудинный зоб, лимфома, киста,тимома, аневризма восходящего отдела аорты.
"Слушай всех, прислушивайся к немногим, решай сам".©
К большому сожалению нет возможности.
Вы забыли указать, что снимки выполнены в положении лёжа. Или стоя так установили? Или у пациентки просто большой живот?..
Аневризмы аорты у женщины нет. Кальциноз дуги на фоне аортосклероза имеется. И возможно, с вероятностью очень большой, есть у неё дилатация полостей сердца. Но для этой цели УЗИ даст больший информационный объём.)
"Лишь утратив всё до конца, мы обретаем свободу." F.C.
Однако! Не слабо!.. Можно вопрос? Вы дифференциальный ряд привели про расширенное средостение слева, а что предложите про его правую тоже слегка изменённую часть?))
"Лишь утратив всё до конца, мы обретаем свободу." F.C.
Справа расширено за счёт ВПВ, на верхушке справа плевральные наслоения. Аневризма аорты вполне может быть.
Однако! Не слабо!.. Можно вопрос? Вы дифференциальный ряд привели про расширенное средостение слева, а что предложите про его правую тоже слегка изменённую часть?))
[/quote]Первый комментарий писала, кагда снимки ещё не были развёрнуты.С головой, повёрнутой на 900 трудно соображать.
Вношу коррективы.Вверху- аорта. А вот но фоне сердца определяется полукруглая, интенсивная, с четким контуром тень . Наиболее выроятно - аневризма аорты.
"Слушай всех, прислушивайся к немногим, решай сам".©
Спасибо за ответ. А я горбатую аорту вижу, что прогнулась под тяжестью прожитых человеком лет...
"Лишь утратив всё до конца, мы обретаем свободу." F.C.
Тут дела аотрные-деформация ( кинкинг?) ее есть в нисходящем отделе, высокое ее стояние, расширение. На боковом-"гантелька такая" На прямом круглую тень дает правый желудочек. ИМХО.
Горбатая- то она горбатая, но, мне кажется - не только... Уж как-то всё это локально выпукло, локально интенсивно
"Слушай всех, прислушивайся к немногим, решай сам".©
:-)) На то он и склероз - чтоб выпячивать и подчёркивать то, чего в норме видно быть не должно.))
Возможно расширение есть - то бишь дилатация, но не локальное, то есть не аневризматизация.))
"Лишь утратив всё до конца, мы обретаем свободу." F.C.
Ага, эту тень имела в виду. ИМХО ведь. Вообще -золотой стандарт в таких делах-ангиография ( ну и КТ-ангиография) . На районном уровне-пищевод контрастировали и косые проекции. "Сердешная", в общем, бабушка.
Надо нормально переснять, тогда и будет ясно, аорта или что-то другое.. И режим не тот, и установка. Корней и легочного рисунка толком не видно
Согласен с коллегами Миргалиной и Милой. Это аорта. Возможно без кинкинга. Высоко раположена не только аорта, но и ключицы. Хотелось бы видеть, в данном случае, и ключицы и лопатки и даже часть шеи. Подозрительная укладка, как-то снизу вверх - переснять.
С Уважением, Дмитрий.
или все-таки аневризма
Не нам судить…
Если нормально переснять - ну, чтобы с рисунком и с корнями, тогда аорту эту в прямой будет совсем не видать. Тогда все заключим спокойно мы норму.)
"Лишь утратив всё до конца, мы обретаем свободу." F.C.
+1
Что, лаборанты в кабинете "правят бал", что снимок ОГК в прямой проекции стандартно сделать не могут?
Спасибо большое за советы, что по делились, по этому поводу, вашим мнением!! P.S: Заключение КТ ОГК: б/о
Этого не может быть!
Куда же подевалось аневризматическое расширение нисходящей части грудной аорты.
+1
Интересно..., а "наездник" на КТ врач лучевой диагност, или кто?
Валентин Львович, Вы забыли добавить кажущееся расширение.) Ну, если учиться у наших детей, то признаки расширения - так тоже можно, вернее, желательно - чтобы ни у кого не было лишних сомнений... Ведь признаки - не само расширение.))
"Лишь утратив всё до конца, мы обретаем свободу." F.C.