You are here

Дедушка с бронхоэктатической болезнью

Пол пациента: 
Тип патологии: 
Методы исследования: 

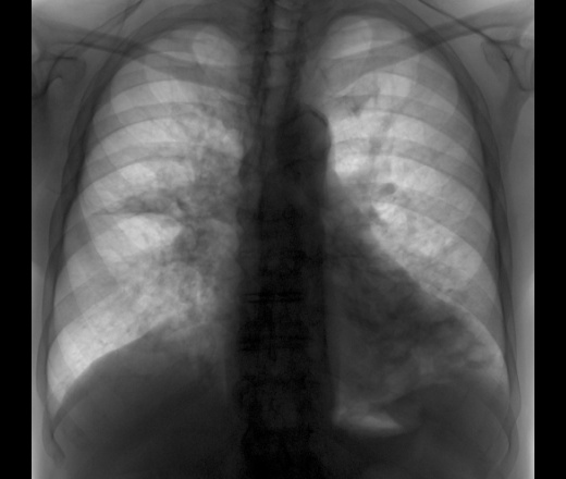
Пришел дедушка на флюорографию. Подняла предыдущую флюшку.

Снимок за 26.06.09 Снимки 05.03.10

( томограммы, конечно, оставляют желать лучшего)

Очень смущает 3 сегмент.

Ваше мнение?

  • https://radiomed.ru/sites/default/files/styles/case_slider_image/public/user/229/DolbilinAA0503085103-1_0.jpg?itok=8Zl0Kd7y
  • https://radiomed.ru/sites/default/files/styles/case_slider_image/public/user/229/DolbilinAA0503085215-1.jpg?itok=1di6Szt9
  • https://radiomed.ru/sites/default/files/styles/case_slider_image/public/user/229/DolbilinAA0503085333-1.jpg?itok=eeTO0LKp
  • https://radiomed.ru/sites/default/files/styles/case_slider_image/public/user/229/05032010_0.jpg?itok=bOA9rgEQ
  • https://radiomed.ru/sites/default/files/styles/case_slider_image/public/user/229/05032010001_0.jpg?itok=NoC7weYB
  • https://radiomed.ru/sites/default/files/styles/case_slider_image/public/user/229/05032010002.jpg?itok=ZJyyiAsg
ID:1711
Катенёв Валентин Львович's picture
Offline
Last seen: 7 years 2 months ago
Joined: 22.03.2008 - 22:15
Posts: 54876

Изображения "подрихтуем" - будут более-менее.

davainapadai's picture
Offline
Last seen: 12 years 9 months ago
Joined: 04.08.2008 - 20:09
Posts: 92

Спасибо. Как ни старалась, так и не могла снять удовлетворительно

 

Катенёв Валентин Львович's picture
Offline
Last seen: 7 years 2 months ago
Joined: 22.03.2008 - 22:15
Posts: 54876

Обработанные изображения.

 

Приложения: 
1..O.V..jpg2..O.V..jpg3..O.V..jpg4..O.V..jpg5..O.V..jpg6..O.V..jpg7..O.V..jpg
Катенёв Валентин Львович's picture
Offline
Last seen: 7 years 2 months ago
Joined: 22.03.2008 - 22:15
Posts: 54876

Томограммы.

 

Приложения: 
11..O.V..jpg12..O.V..jpg13..O.V..jpg14..O.V..jpg15..O.V..jpg16..O.V..jpg17..O.V..jpg18..O.V..jpg
Игорь Иванович's picture
Offline
Last seen: 3 years 11 months ago
Joined: 23.01.2010 - 14:56
Posts: 3695

Много всякой всячины, но к S3 спрва нужно присмотреться.