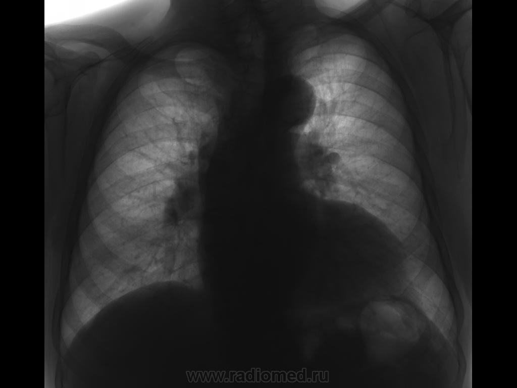
Пациент 1929 г. р. Случайная находка. Без жалоб. Архива нет. Крупная тень на позвоночнике в заднем средостении. Образование, настолько уплотненные стенки аорты накладиваются на выраженно дистрофически измененый позвоночник, аневризма.....?
Ваше мнение коллеги.




Аорта
Аорта с аневризмой.
+1
Склерозированная аорта без аневризмы.
"Слушай всех, прислушивайся к немногим, решай сам".©
Склерозированная аорта.
Поддерживаю.
Да.
С Уважением, Дмитрий.
Я бы проверил пульсацию за экраном
Именно это я и хотел. Но пациент не возвращается для дообследования.