You are here

Вот, такая динамика...

Пол пациента: 
Тип патологии: 
Методы исследования: 

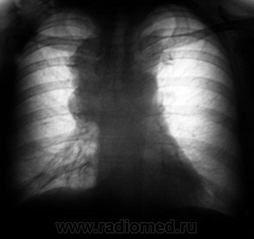
Флюорограмма - 2009 год.

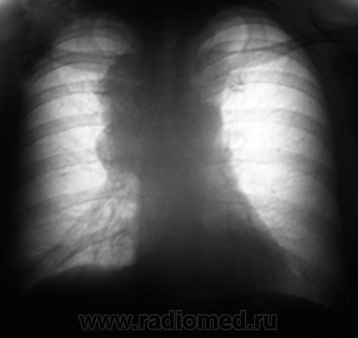
Флюорограмма, ровно через год.

 

Пациент "взят на контроль".

Р.

 

  • https://radiomed.ru/sites/default/files/styles/case_slider_image/public/user/12/2..l..jpg?itok=0rnWG4ea
  • https://radiomed.ru/sites/default/files/styles/case_slider_image/public/user/12/3..l..JPG?itok=gsU6guY2
  • https://radiomed.ru/sites/default/files/styles/case_slider_image/public/user/12/4..l..jpg?itok=Dz0Tc-j7
  • https://radiomed.ru/sites/default/files/styles/case_slider_image/public/user/12/5..l._0.JPG?itok=WiSVScHz
  • https://radiomed.ru/sites/default/files/styles/case_slider_image/public/user/12/6..l..jpg?itok=auetVltJ
ID:1724
Грицько Виталий's picture
Offline
Last seen: 9 years 2 months ago
Joined: 05.01.2010 - 14:06
Posts: 1058

Уверен есть красивые томограммы.

Катенёв Валентин Львович's picture
Offline
Last seen: 7 years 3 months ago
Joined: 22.03.2008 - 22:15
Posts: 54876

Да, томограммы есть, и будут выставлены.

Грицько Виталий's picture
Offline
Last seen: 9 years 2 months ago
Joined: 05.01.2010 - 14:06
Posts: 1058

А часом не ЛГМ

Катенёв Валентин Львович's picture
Offline
Last seen: 7 years 3 months ago
Joined: 22.03.2008 - 22:15
Posts: 54876

Произвели рентгенографию в стандартных проекциях.

 

Приложения: 
11..l..JPG12..l..JPG13..l..JPG14..l..jpg15..l..JPG
Катенёв Валентин Львович's picture
Offline
Last seen: 7 years 3 months ago
Joined: 22.03.2008 - 22:15
Posts: 54876

Произвели томограмму в боковой проекции.

 

Приложения: 
21..l..JPG22..l.jpg23..l..JPG24..l..jpg
Катенёв Валентин Львович's picture
Offline
Last seen: 7 years 3 months ago
Joined: 22.03.2008 - 22:15
Posts: 54876

Произвели томографию в прямой проекции.

 

Приложения: 
31..l..JPG32..l..jpg33..l..JPG34..l..jpg35..l..JPG36..l..jpg