You are here

Какие мнения будут только по "прямой" рентгенограмме?

Пол пациента: 
Тип патологии: 
Методы исследования: 

Какие мнения будут только по "прямой" рентгенограмме?

  • https://radiomed.ru/sites/default/files/styles/case_slider_image/public/user/12/1.201404090025.jpg?itok=5Nh8G8yN
ID:37389
Doc84's picture
Offline
Last seen: 11 years 10 months ago
Joined: 05.03.2014 - 15:21
Posts: 209

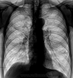
Очаги на верхушке справа, справа фиброзные изменения на уровне 3 ребра, междолевая горизонтальная плевра справа смещена вверх, видимо за счёт фиброза. Слева апикально плевральные наслоения. в проекции 4 м/р вроде бы 2 округлые очаговые тени (одна рядом с корнем)?. Очаговый ТВС верхней доли справа? Возможно гиповентияляция верхней доли справа. Хотелось бы архив

Сергей Кузьминов's picture
Offline
Last seen: 1 year 5 months ago
Joined: 06.10.2012 - 15:51
Posts: 11813

Здраствуйте,Валентин Львович!Опять заставляете меня застесняться про диссеминированный туберкулёз справа.Имею также вопосы:где бок и не началась ли эпидемия в Ваших краях?С нетерпением ждём томограмм.

Сольвейг's picture
Offline
Last seen: 3 years 10 months ago
Joined: 05.02.2013 - 20:25
Posts: 2239

Валентин Львович! А Вы часом не в ПТД устроились работать(подрабатывать)?Патология-в верхней доле и S6 правого легкого . Точно о характере ( очаговый или инфильтративный )и наличии полостей распада правильно судить можно только п/тмг дообследования.

Катенёв Валентин Львович's picture
Offline
Last seen: 7 years 5 months ago
Joined: 22.03.2008 - 22:15
Posts: 54876

Doc84 wrote:

 Хотелось бы архив

Плиз...

Приложения: 
1.201404090026.jpg2.201404090027.jpg
Андрей Викторович's picture
Offline
Last seen: 2 years 10 months ago
Joined: 13.02.2014 - 14:52
Posts: 242

а не подскажите вот это, что такое

Приложения: 
201404090025.jpg

...... еще бы в рентгенологии что-нибудь понимать.

Катенёв Валентин Львович's picture
Offline
Last seen: 7 years 5 months ago
Joined: 22.03.2008 - 22:15
Posts: 54876

Миргалина wrote:
А Вы часом не в ПТД устроились работать(подрабатывать)?

Куда мне подрабатывать?

Я вообще один на целый район...

Катенёв Валентин Львович's picture
Offline
Last seen: 7 years 5 months ago
Joined: 22.03.2008 - 22:15
Posts: 54876

Сергей Кузьминов wrote:

 не началась ли эпидемия в Ваших краях?

Здравствуйте Сергей!

Нет, эпидемии нет..., все в рабочем порядке...

Катенёв Валентин Львович's picture
Offline
Last seen: 7 years 5 months ago
Joined: 22.03.2008 - 22:15
Posts: 54876

Андрей Викторович wrote:

а не подскажите вот это, что такое

По всей видимости "это" надо расценивать, как экзостоз.

Катенёв Валентин Львович's picture
Offline
Last seen: 7 years 5 months ago
Joined: 22.03.2008 - 22:15
Posts: 54876

Но, стало интересно, "откуда ноги растут"..., чем вызваны такие изменения?

Понятно, как к "маме родной" ,  к "архиву"..., вот, что "нарыли...

Приложения: 
1.201404090032.jpg2.201404090033.jpg3.201404090028.jpg4.201404090030.jpg5.201404090031.jpg
Катенёв Валентин Львович's picture
Offline
Last seen: 7 years 5 months ago
Joined: 22.03.2008 - 22:15
Posts: 54876

Дальше, ещё интереснее...

Приложения: 
1.201404090072.jpg3.201404090074.jpg4.201404090075.jpg5.201404090077.jpg
Катенёв Валентин Львович's picture
Offline
Last seen: 7 years 5 months ago
Joined: 22.03.2008 - 22:15
Posts: 54876

Какие мнения коллеги будут?

Сольвейг's picture
Offline
Last seen: 3 years 10 months ago
Joined: 05.02.2013 - 20:25
Posts: 2239

Валентин Львович ! Можно расположить снимки в хронологическом порядке? Я не совсем поняла, что за чем следует, какие первые, а какие последние снимки. Ну или напр, указать-пост N ( ) -это 1-ый и т.д. В начале ветки- это конечные снимки? Заранее спасибо.

Катенёв Валентин Львович's picture
Offline
Last seen: 7 years 5 months ago
Joined: 22.03.2008 - 22:15
Posts: 54876

Здравствуйте!

Хронология выдержана, только с точностью до "наоборот".

В начале ветки снимки от апреля 2014 г., а далее к концу ветки хронология соблюдена, но только вглубь истории.

Сольвейг's picture
Offline
Last seen: 3 years 10 months ago
Joined: 05.02.2013 - 20:25
Posts: 2239

Катенёв Валентин Львович wrote:

Здравствуйте!

Хронология выдержана, только с точностью до "наоборот".

В начале ветки снимки от апреля 2014 г., а далее к концу ветки хронология соблюдена, но только вглубь истории.

Спасибо, поняла.

Сольвейг's picture
Offline
Last seen: 3 years 10 months ago
Joined: 05.02.2013 - 20:25
Posts: 2239

Еще вопросы: насколько глубока история? Т.е. временнОй промежуток и получал ли спец.препараты?

Сольвейг's picture
Offline
Last seen: 3 years 10 months ago
Joined: 05.02.2013 - 20:25
Posts: 2239

Не дождавшись ответа, скажу, что это старый, "добрый" туберкулез. А почему он наблюдается у Вас?

Сергей Кузьминов's picture
Offline
Last seen: 1 year 5 months ago
Joined: 06.10.2012 - 15:51
Posts: 11813

Не такой он и добрый.В смысле "живой",судя по архиву.

atexta's picture
Offline
Last seen: 3 years 2 months ago
Joined: 08.02.2014 - 18:41
Posts: 4842

Сергей Кузьминов wrote:

Не такой он и добрый.В смысле "живой",судя по архиву.

А сейчас разве можно судить об активности без т\графии? Мне кажется нет явных признаков ухудшения

Не нам судить…

Сергей Кузьминов's picture
Offline
Last seen: 1 year 5 months ago
Joined: 06.10.2012 - 15:51
Posts: 11813

Без томографии фтизиатры рассуждают по архиву.Если хоть какая-то динамика есть-процесс ещё активный,с учёта снимать нельзя.

Сольвейг's picture
Offline
Last seen: 3 years 10 months ago
Joined: 05.02.2013 - 20:25
Posts: 2239

Сергей Кузьминов wrote:

Не такой он и добрый.В смысле "живой",судя по архиву.

Так он ( твс) всегда скорее жив, чем мертв.

Катенёв Валентин Львович's picture
Offline
Last seen: 7 years 5 months ago
Joined: 22.03.2008 - 22:15
Posts: 54876

Миргалина wrote:
Еще вопросы: насколько глубока история? Т.е. временнОй промежуток и получал ли спец.препараты?

История захватывает промежуток в 5 лет.

Да, получал туберкулостатические препараты.

Катенёв Валентин Львович's picture
Offline
Last seen: 7 years 5 months ago
Joined: 22.03.2008 - 22:15
Posts: 54876

Миргалина wrote:
Не дождавшись ответа, скажу, что это старый, "добрый" туберкулез. А почему он наблюдается у Вас?

Он наблюдается не у нас, он снят с учета, но время - от времени коллега фтизиатр (раз в год) его "дергает"...

Катенёв Валентин Львович's picture
Offline
Last seen: 7 years 5 months ago
Joined: 22.03.2008 - 22:15
Posts: 54876

Миргалина wrote:
Сергей Кузьминов wrote:

Не такой он и добрый.В смысле "живой",судя по архиву.

Так он ( твс) всегда скорее жив, чем мертв.

+1

Вы правы уважаемая коллега!

"Надгробий" туберкулёзной палочки не бывает...

Сергей Кузьминов's picture
Offline
Last seen: 1 year 5 months ago
Joined: 06.10.2012 - 15:51
Posts: 11813

Не совсем соглашусь ,Валентин Львович.Бывают "надгробия"-когда хорошо лечатся больные,тогда и стабильные посттуберкулёзные изменения,наблюдаемые на протяжении десятилетий.Хотя и среди них "рецидивисты" бывают.