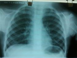
Пол пациента: Женский пол Тип патологии: Другое Область исследования: Грудная клетка и верхние дыхательные пути Методы исследования: Rg Ребёнок, девочка, 2г.7 мес. Пневмония? https://radiomed.ru/sites/default/files/styles/case_slider_image/public/user/18609/img_20140423_140304.jpg?itok=8-US-oze ID:37429 Wed, 23/04/2014 - 15:20 #1 Сергей Кузьминов Offline Last seen: 1 year 6 months ago Joined: 06.10.2012 - 15:51 Posts: 11813 Да.Справа внизу. Wed, 23/04/2014 - 16:17 #2 NIL Offline Last seen: 3 weeks 4 days ago Joined: 25.11.2013 - 20:50 Posts: 18217 Да, справа в нижней доле фокусная тень "Слушай всех, прислушивайся к немногим, решай сам".© Wed, 23/04/2014 - 16:44 #3 ren_gen Offline Last seen: 11 years 6 months ago Joined: 30.10.2010 - 19:17 Posts: 285 +1, согласен с коллегами Thu, 24/04/2014 - 20:36 #4 JJ Offline Last seen: 11 years 10 months ago Joined: 03.04.2014 - 20:35 Posts: 102 +1, тоже согласна Sat, 26/04/2014 - 11:29 #5 Доктор Ре. Offline Last seen: 10 years 7 months ago Joined: 15.04.2014 - 16:37 Posts: 129 пневмония справа в нижней доле в S10. Wed, 30/04/2014 - 02:23 #6 Nobody Offline Last seen: 11 years 6 months ago Joined: 15.03.2014 - 20:29 Posts: 2013 Сергей Кузьминов wrote: Да.Справа внизу. Хорошее такое, рентгенологическое заключение!) "Лишь утратив всё до конца, мы обретаем свободу." F.C. Wed, 30/04/2014 - 15:27 #7 Сергей Кузьминов Offline Last seen: 1 year 6 months ago Joined: 06.10.2012 - 15:51 Posts: 11813 Это не заключение.Мнение это в разговоре. Wed, 30/04/2014 - 22:59 #8 Сольвейг Offline Last seen: 3 years 11 months ago Joined: 05.02.2013 - 20:25 Posts: 2239 Nobody wrote: Сергей Кузьминов wrote: Да.Справа внизу. Хорошее такое, рентгенологическое заключение!) Тоже улыбнуло!
Да.Справа внизу.
Да, справа в нижней доле фокусная тень
"Слушай всех, прислушивайся к немногим, решай сам".©
+1, согласен с коллегами
+1, тоже согласна
пневмония справа в нижней доле в S10.
Хорошее такое, рентгенологическое заключение!)
"Лишь утратив всё до конца, мы обретаем свободу." F.C.
Это не заключение.Мнение это в разговоре.
Тоже улыбнуло!