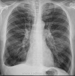
М-да! Что-то по этой ветке я в глухой оппозиции. Всё иначе вижу. Пациент страдает ХНЗЛ со всякими там пневмосклерозами. Переболел плевритом (ранее), после которого остался облитерированный правый синус. Иммунитет, естественно, никакой. Сейчас у него (пока безуспешно) лечится абсцесс в язычковых сегментах.
Процесс,по-моему, один-низкий иммунитет.Справа,конечно,на твс больше похоже, а вот слева-неспецифика.
А почему неспецифика? Плеврит справа - пролечили - ушел. Инфильтрация появилась слева - лечат - распад...
Как я понял, лечат как туб 4мес.?
Классно Вы, коллеги , плеврит " рассосали"по снимку, где синусы "срезаны", а на боковой-то, кажись, даже немного прибыло.И за инфильтрацию-распад ( вот только чего?) теперь взялись. Давайте еще несколько месяцев полечим таким манером, авось, еще чего-нибудь рассосется-появится. Опять думать будем. Без работы точно не останемся! Вот еще узнать бы, что и от чего лечим! А автор опять молчит...
М-да! Что-то по этой ветке я в глухой оппозиции. Всё иначе вижу. Пациент страдает ХНЗЛ со всякими там пневмосклерозами. Переболел плевритом (ранее), после которого остался облитерированный правый синус. Иммунитет, естественно, никакой. Сейчас у него (пока безуспешно) лечится абсцесс в язычковых сегментах.
Вы не одиноки , NIL, в глухой оппозиции на этой ветке. Я, похоже, тоже там. Давайте партию создадим!
Да уж, мне кажется, давно некий тандем образовался
Теперь даже название можно придумать . Давайте объявим конкурс?! Или свою( общую ) аватарку придумаем. -сразу один коммент, а нас-двое, т.е. "два(две) в одном". Нет , индивидуальные аватарки тоже оставим, -не всегда же согласны будем. Я серьезно! Такого еще не было! Сейчас прикалываться все начнут, а потом -"двойной удар" и...Как идея? Или утро вечера мудренее? А может , еще кто-нибудь захочет к нам? Рассмотрим все предложения! Добрые админы! Не судите строго!
Теперь даже название можно придумать . Давайте объявим конкурс?! Или свою( общую ) аватарку придумаем. -сразу один коммент, а нас-двое, т.е. "два(две) в одном". Нет , индивидуальные аватарки тоже оставим, -не всегда же согласны будем. Я серьезно! Такого еще не было! Сейчас прикалываться все начнут, а потом -"двойной удар" и...Как идея? Или утро вечера мудренее? А может , еще кто-нибудь захочет к нам? Рассмотрим все предложения! Добрые админы! Не судите строго!
Осудят стопудово. Не будем вносить раздрай в сплочённые ряды радиомедовцев создавая партии и каолиции.Мы - за мир!!!
имхо: абсцесс в S5 слева, вероятно имеет неспецифическую этиологию. Однозначно, был выпот в плевральной полости справа ( не исключаю, что он есть и сейчас).Согласен с коллегами, что не совсем понятно, лечили ли пациента, а если лечили 4,5 месяца то от чего? И какой же рабочий диагноз у клиницистов сейчас?Хотелось бы всё-таки, знать возраст пациента ( дело в том, что так у молодых (до 30 лет) может проткать первичный тубекулёз-сначала плеврит, через несколько месяцев рентенологически проявлются лёгочные изменения при туберкулёзе).
Не исключается выпот в плевральной полости справа. Каков возраст пациента?
А надо было сбоку.Жидкость,похоже.
А я бы скопию включил, на этот случай. Может выпот уже организован...?
The time has come, the rules have changed...
А смещения средостения нет?
Коллеги, как-то все дружно в "гидроторакс" упёрлись. А эти места никого не зацепили?
"Слушай всех, прислушивайся к немногим, решай сам".©
"Слушай всех, прислушивайся к немногим, решай сам".©
Через 4 месяца...
А "палки" то сеет?
Великое преймущество врача заключается в том, что он не обязан следовать собственным советам. ( А. Кристи)
Почему сразу "палки"? Абсцессом ведь может быть.И на фоне твс бывает.
А я так понимаю, что это динамика одного процесса за 4 месяца.
Великое преймущество врача заключается в том, что он не обязан следовать собственным советам. ( А. Кристи)
Процесс,по-моему, один-низкий иммунитет.Справа,конечно,на твс больше похоже, а вот слева-неспецифика.
+1.
"Палок" пока нет...
Всё бывает...
Правильно понимаете.
Через 2 недели...
Справа-то всё ушло.Не было туберкулёза,хоть и похоже.Слева-абсцесс.Гадаем о возбудителе.
А почему неспецифика? Плеврит справа - пролечили - ушел. Инфильтрация появилась слева - лечат - распад...
Как я понял, лечат как туб 4мес.?
Про 4 месячный срок пропустил мысль.Абсцесс на фоне туберкулёза в фазе рассасывания.
М-да! Что-то по этой ветке я в глухой оппозиции. Всё иначе вижу
. Пациент страдает ХНЗЛ со всякими там пневмосклерозами. Переболел плевритом (ранее), после которого остался облитерированный правый синус. Иммунитет, естественно, никакой. Сейчас у него (пока безуспешно) лечится абсцесс в язычковых сегментах.
"Слушай всех, прислушивайся к немногим, решай сам".©
Вы не одиноки , NIL, в глухой оппозиции на этой ветке. Я, похоже, тоже там. Давайте партию создадим!
Да уж, мне кажется, давно некий тандем образовался
"Слушай всех, прислушивайся к немногим, решай сам".©
Теперь даже название можно придумать . Давайте объявим конкурс?! Или свою( общую ) аватарку придумаем. -сразу один коммент, а нас-двое, т.е. "два(две) в одном". Нет , индивидуальные аватарки тоже оставим, -не всегда же согласны будем. Я серьезно! Такого еще не было! Сейчас прикалываться все начнут, а потом -"двойной удар" и...Как идея? Или утро вечера мудренее? А может , еще кто-нибудь захочет к нам? Рассмотрим все предложения! Добрые админы! Не судите строго!
"Слушай всех, прислушивайся к немногим, решай сам".©
имхо: абсцесс в S5 слева, вероятно имеет неспецифическую этиологию. Однозначно, был выпот в плевральной полости справа ( не исключаю, что он есть и сейчас).Согласен с коллегами, что не совсем понятно, лечили ли пациента, а если лечили 4,5 месяца то от чего? И какой же рабочий диагноз у клиницистов сейчас?Хотелось бы всё-таки, знать возраст пациента ( дело в том, что так у молодых (до 30 лет) может проткать первичный тубекулёз-сначала плеврит, через несколько месяцев рентенологически проявлются лёгочные изменения при туберкулёзе).
Нет, лечат, как "неспецифику"
Абсцесс (классический) стопудово?
Почему?
Оппозиция - это тоже "позиция", только отличающаяся...
Пациента "пользуют" по поводу абсцесса...
Не осудят...
Контроль ещё через неделю
Контроль был сделан еще через 1 неделю..., и "картинка", вдруг поменялась...
Надо думать, мнений нет?
Слева положительная динамика наметилась, а вот справа появлось что-то новое, пока похожее на воздушную кисту. Интересно, во что это выльется
"Слушай всех, прислушивайся к немногим, решай сам".©
Быстро изменяется картинка.Антересно,что за возбудитель "этого".
А, через 1 неделю стало так...
А если не абсцесс вовсе, а частично опорожнившаяся киста?
"Слушай всех, прислушивайся к немногим, решай сам".©
"Абсцедиоз" какой-то.
Есть такое мнение...
Вероятно, оно же и заключение.
Валентин Львович, скажите пожалуйста, чтобы боковая проекция в данном случае к первому снимку, тому что в шапке, добавила бы?..
"Лишь утратив всё до конца, мы обретаем свободу." F.C.
По всей видимости ничего не добавила бы..., но стандарт блюсти надо.