Потупил с диагнозом инфильтр tbs с поражением в/гр и периферич л/у. Болеет около месяца. Не контактен, пов t до 38. Менингиальные знаки 3+. Умер через 30 часов, на вскрытии...
По снимкам можно было что-то заподозрить или наоборот нельзя было этого заподозрить?
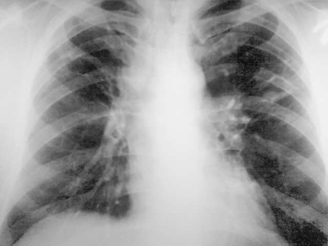
Заподозрить еще как можно. Доказать, проблемно. Но подняв литературу узнал что картина типична для хронического... на фоне которого развивается... Обратите внимание на кисты слева, а справа формируется аналогичная.
Кавернозный туберкулез, ослабление иммуннитета. Присоединение неспецифической инфекции привело к сепсису и меннингиту, смерть, скорее, от менингита. Смущает эмфизема легких, но на легочную дистрофию не тянет. Конечно, досужие вымыслы. На КТ данных за медиастинит нет, кистовидные полости с толстыми стенками. СПИД всё бы объяснил.
Совершенно верно! Имеет место хронический лейкоз на фоне которого пневмония с распадом, кисты справа следствие таких же пневмоний. Остается вопрос почему кровь не набрали с самого начала.
Совершенно верно! Имеет место хронический лейкоз на фоне которого пневмония с распадом, кисты справа следствие таких же пневмоний. Остается вопрос почему кровь не набрали с самого начала.
Совершенно верно! Имеет место хронический лейкоз на фоне которого пневмония с распадом, кисты справа следствие таких же пневмоний. Остается вопрос почему кровь не набрали с самого начала.
Совершенно верно! Имеет место хронический лейкоз на фоне которого пневмония с распадом, кисты справа следствие таких же пневмоний. Остается вопрос почему кровь не набрали с самого начала.
И каков ответ на этот вопрос?
Кровь набрали уже у нас когда больной был загружен. А почему ее не набрали на амбулаторном этапе, где и должна идти диагностика, а не в тубстационаре...? Часто желание сплавить тяжелого больного побеждает профессионализм.
Пожалуйста, я всегда поддерживаю обмен интересными случаями , а не хранение в закромах. Что кстати в первую очередь важно для молодых врачей, таких же как я.
Ну, а я учитывая, своё некоторое упрямство, хочу задать Вам коллега вопрос не по крови, а по профилю - "туб стационар". Это - ж с какой такой тихой радости, пациенту "с заболеванием лёгких" сразу не была проведена, хотя-бы линейная томография. При отсутствии КТ, а может быть даже при его наличии - "линейная томография" - это стандарт.
Итак, пакеты лимфоузлов были видны на рентгенограммах, значит надо было томографировать.
Больной поступил с данными снимками и кт после ухода рентгенологов. На следующее утро он был без сознания, его исход был ясен , решили не мучать.
Сбрехал, случай из архива подзабыл. Он описывался сразу после смерти когда анализ крови был еще в работе. На сколько помню поступил в воскресенье, но точно не помню.
Совершенно верно! Имеет место хронический лейкоз на фоне которого пневмония с распадом, кисты справа следствие таких же пневмоний. Остается вопрос почему кровь не набрали с самого начала.
И каков ответ на этот вопрос?
Кровь набрали уже у нас когда больной был загружен. А почему ее не набрали на амбулаторном этапе, где и должна идти диагностика, а не в тубстационаре...? Часто желание сплавить тяжелого больного побеждает профессионализм.
Предположим ТЭЛА в/долевой ветви слева.
Неоднозначно всё
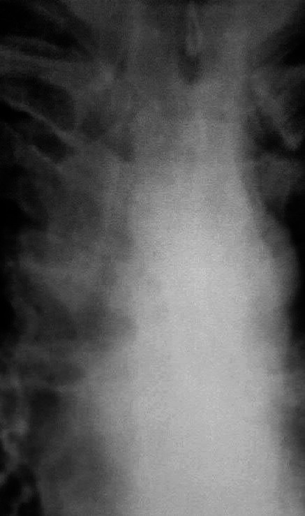
Поработаем с представленным Вами изображениями, на мой взгляд мал-мал темноватые.
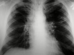
Абсцесс заднего сегмента в/доли с медиастинитом? Снимки лежа, уровня в "шарике" нет. Можно подробнее: возраст, инородные тела, кровь клинически?
https://www.youtube.com/channel/UCBGxoBUOqUT_bFhSeUgtWEw
Да вроде стоял ещё. А с какой стороны абсцесс, миледи?
Пока лучшие снимки не принесли отмечу небольшое расширение верхней ½ средостения вправо.
Неоднозначно всё
Возраст около 45, точно не помню. На снимках еще стоял. Пока все мимо. Напомню увеличены в/гр и периферические л/у.
Добавлю КТ.
А у Вас пациент (по рентгенограммам) не задохнулся-ли просто от нехватки воздуха?
Неет причина смерти совсем иная. Уточню тут две патологии, одна обуславливает другую.
Можно, конечно, предположить лимфому какую-то (самая частая из них ЛГМ), но клиника не подходит. А крови анализ делали?
Неоднозначно всё
Да у меня, именно по рентгенограммам создалось впечатление, что левый главный бронх вообще весь забит, а от трахеи остался - "гулькин нос".
Почему КТ-ушки такие нерезкие? Специально?
Неоднозначно всё
Диска не было, снял на телефон. На ЛГМ совсем не похоже.
Ладно.
Подождём подкрепления. Украинская диаспора ещё не подошла. 
Неоднозначно всё
Виталий!
Так, что с левым главным бронхом и с трахеей?
По Кт свободно проходимы.
На вскрытии тоже проходимы.
Ну, тогда подождем итогов вскрытия, а потом покажем "своё".
А можно вопрос?
По снимкам можно было что-то заподозрить или наоборот нельзя было этого заподозрить?
Заподозрить еще как можно. Доказать, проблемно. Но подняв литературу узнал что картина типична для хронического... на фоне которого развивается... Обратите внимание на кисты слева, а справа формируется аналогичная.
С глухим ворчанием и недовольством...
Это так "свободно проходима" трахея.
Я не понял на что стрелки. Там пакеты л/у.
Считаю также необходимым отметить, что имеет место ну прямо, чуть некоторое смещение средостения вправо.
Кавернозный туберкулез, ослабление иммуннитета. Присоединение неспецифической инфекции привело к сепсису и меннингиту, смерть, скорее, от менингита. Смущает эмфизема легких, но на легочную дистрофию не тянет. Конечно, досужие вымыслы. На КТ данных за медиастинит нет, кистовидные полости с толстыми стенками. СПИД всё бы объяснил.
https://www.youtube.com/channel/UCBGxoBUOqUT_bFhSeUgtWEw
Жаль, но нет. Незнаю как имя Петровича, но у него мысли в правильную сторону работали. Правда по их не развил.
Боковая.
Продолжение.
Раз увеличены все л/у, может, лейкоз.
https://www.instagram.com/pediatricradiology/
Совершенно верно! Имеет место хронический лейкоз на фоне которого пневмония с распадом, кисты справа следствие таких же пневмоний. Остается вопрос почему кровь не набрали с самого начала.
Интересный вопрос про "кровь" задаете Виталий.
И каков ответ на этот вопрос?
Неоднозначно всё
Кровь набрали уже у нас когда больной был загружен. А почему ее не набрали на амбулаторном этапе, где и должна идти диагностика, а не в тубстационаре...? Часто желание сплавить тяжелого больного побеждает профессионализм.
спасибо за поучительный случай
Пожалуйста, я всегда поддерживаю обмен интересными случаями , а не хранение в закромах. Что кстати в первую очередь важно для молодых врачей, таких же как я.
Ну, а я учитывая, своё некоторое упрямство, хочу задать Вам коллега вопрос не по крови, а по профилю - "туб стационар". Это - ж с какой такой тихой радости, пациенту "с заболеванием лёгких" сразу не была проведена, хотя-бы линейная томография. При отсутствии КТ, а может быть даже при его наличии - "линейная томография" - это стандарт.
Итак, пакеты лимфоузлов были видны на рентгенограммах, значит надо было томографировать.
Больной поступил с данными снимками и кт после ухода рентгенологов. На следующее утро он был без сознания, его исход был ясен , решили не мучать.
Сбрехал, случай из архива подзабыл. Он описывался сразу после смерти когда анализ крови был еще в работе. На сколько помню поступил в воскресенье, но точно не помню.
А ведь пациент, действительно оказался "тяжелым"?