You are here

Образование на лопатке?

Пол пациента: 
Тип патологии: 
Область исследования: 
Методы исследования: 

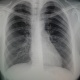
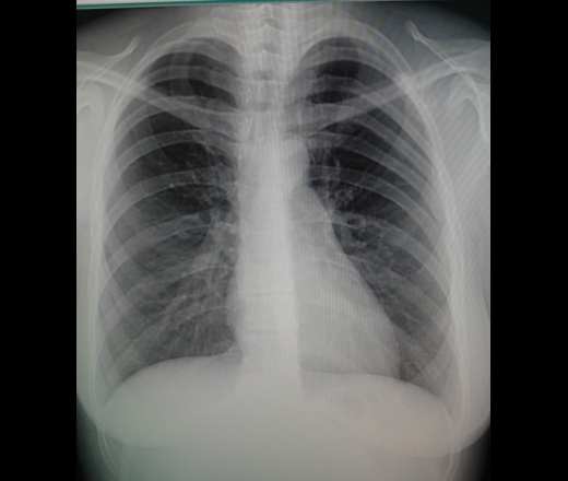
Девушка,1989 г.р.жалоб нет никаких,со слов в том году проходила флг(не у нас)-норма.Вызвала на рск,покрутила-тень смещается вместе с лопаткой,с ребрами не связана.Что это может быть слева на лопатке?остеохондрома?

  • https://radiomed.ru/sites/default/files/styles/case_slider_image/public/user/11808/foto1166.jpg?itok=tPScj-Tv
  • https://radiomed.ru/sites/default/files/styles/case_slider_image/public/user/11808/foto1164.jpg?itok=n3CdmO-L
ID:39483
NIL's picture
NIL
Offline
Last seen: 2 weeks 1 day ago
Joined: 25.11.2013 - 20:50
Posts: 18208

Поддерживаю остеохондрому 


"Слушай всех, прислушивайся к немногим, решай сам".©

Almo's picture
Offline
Last seen: 20 hours 20 min ago
Joined: 28.09.2008 - 18:50
Posts: 8281

Поддерживаю остеохондрому

*****************************************************************************************************

+1.Но, для уточнения попытался  бы просмортреть ФЛО-архив, в плане динамики изменений  (  можно предположоить, что изменения имели место , но были пропущены, хуже если их правда не было...) Может помочь сбор жалоб и анамеза заболевания.  Показана КТ  органов грудной клетки.

nelly's picture
Offline
Last seen: 11 years 1 month ago
Joined: 11.07.2011 - 19:19
Posts: 328

Спасибо за комментарии!

Nobody's picture
Offline
Last seen: 11 years 1 month ago
Joined: 15.03.2014 - 20:29
Posts: 2013

Я бы изменения именовал остеомой. И без архива, без жалоб назначил бы... плановый рентген-контроль...

"Лишь утратив всё до конца, мы обретаем свободу." F.C.