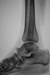
Пол пациента: Женский пол Тип патологии: Другое Область исследования: Другое Методы исследования: Rg Просто вопрос. Как можно рассматривать такую таранную кость? Гипертрофия, таран-гигант? https://radiomed.ru/sites/default/files/styles/case_slider_image/public/user/12/2.Gigant.jpg?itok=4HzRJNWV https://radiomed.ru/sites/default/files/styles/case_slider_image/public/user/12/3.Gigant..jpg?itok=HK478Gsj ID:3017 Thu, 15/04/2010 - 21:11 #1 Анатолий Владим... Offline Last seen: 7 years 11 months ago Joined: 16.10.2009 - 21:16 Posts: 1941 Вариант развития таранной кости, а насчет сапогов и венкомата не знаю... Thu, 15/04/2010 - 21:17 #2 Катенёв Валенти... Offline Last seen: 7 years 2 months ago Joined: 22.03.2008 - 22:15 Posts: 54876 Здравствуйте Анатолий Владимирович! Нет, это не военкомат. Если-бы был военкомат, то был-бы явно не годен не благодаря самой таранной кости, а той "стоялке", что по передне-верхнему краю таранной кости. Thu, 15/04/2010 - 21:23 #3 Almo Offline Last seen: 13 hours 49 min ago Joined: 28.09.2008 - 18:50 Posts: 8282 Поддерживаю пост Анатолия Владимировича-вариант развития таранной кости. Thu, 15/04/2010 - 21:46 #4 Катенёв Валенти... Offline Last seen: 7 years 2 months ago Joined: 22.03.2008 - 22:15 Posts: 54876 Как расценивать такое положение головки плечевой кости и состояние ключично-акромиального сочленения? Приложения: Thu, 15/04/2010 - 21:58 #5 Анатолий Владим... Offline Last seen: 7 years 11 months ago Joined: 16.10.2009 - 21:16 Posts: 1941 Вероятно врожденная деформация... Thu, 15/04/2010 - 21:58 #6 Катенёв Валенти... Offline Last seen: 7 years 2 months ago Joined: 22.03.2008 - 22:15 Posts: 54876 Это я решил попробовать Вашу идею, Анатолий Владимирович, "с учетом одного снимка" Thu, 15/04/2010 - 22:01 #7 Анатолий Владим... Offline Last seen: 7 years 11 months ago Joined: 16.10.2009 - 21:16 Posts: 1941 Здравствуйте Валентин Львович! Может это приживется.... Thu, 15/04/2010 - 22:13 #8 Катенёв Валенти... Offline Last seen: 7 years 2 months ago Joined: 22.03.2008 - 22:15 Posts: 54876 Будем надеяться.
Вариант развития таранной кости, а насчет сапогов и венкомата не знаю...
Здравствуйте Анатолий Владимирович!
Нет, это не военкомат. Если-бы был военкомат, то был-бы явно не годен не благодаря самой таранной кости, а той "стоялке", что по передне-верхнему краю таранной кости.
Поддерживаю пост Анатолия Владимировича-вариант развития таранной кости.
Как расценивать такое положение головки плечевой кости и состояние ключично-акромиального сочленения?
Вероятно врожденная деформация...
Это я решил попробовать Вашу идею, Анатолий Владимирович, "с учетом одного снимка"
Здравствуйте Валентин Львович!
Может это приживется....
Будем надеяться.