You are here

"Круглая тень"

Пол пациента: 
Тип патологии: 
Методы исследования: 

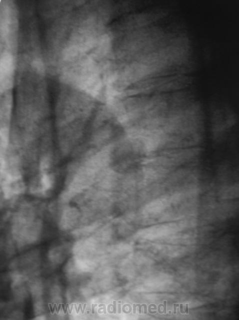
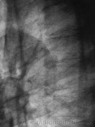
"Круглая тень". Случай сегодняшний. Жалоб нет.

  • https://radiomed.ru/sites/default/files/styles/case_slider_image/public/user/12/22.KR_.P4220002_0.JPG?itok=UfuRqm1s
  • https://radiomed.ru/sites/default/files/styles/case_slider_image/public/user/12/23.KR_.P4220002a.jpg?itok=APpt82mY
  • https://radiomed.ru/sites/default/files/styles/case_slider_image/public/user/12/24.KR_.P4220003.JPG?itok=qmasgqfJ
  • https://radiomed.ru/sites/default/files/styles/case_slider_image/public/user/12/25.KR_.P4220004.JPG?itok=r6Nc61zf
  • https://radiomed.ru/sites/default/files/styles/case_slider_image/public/user/12/26.KR_.P4220004a.jpg?itok=HooK6Qkg
ID:3279
Цель публикации: 
Катенёв Валентин Львович's picture
Offline
Last seen: 7 years 2 months ago
Joined: 22.03.2008 - 22:15
Posts: 54876

1-й срез.


 

Приложения: 
27.P4220005.JPG28.P4220006.JPG29.P4220006a.jpg30.P4220007.JPG31.P4220007a.jpg32.P4220008.JPG33.P4220008a.jpg
Катенёв Валентин Львович's picture
Offline
Last seen: 7 years 2 months ago
Joined: 22.03.2008 - 22:15
Posts: 54876

2-й срез.

 

Приложения: 
34.P4220009.JPG35.P4220010.JPG36.P4220010a.jpg37.P4220011.JPG38.P4220012.JPG39.P4220012v.jpg
Катенёв Валентин Львович's picture
Offline
Last seen: 7 years 2 months ago
Joined: 22.03.2008 - 22:15
Posts: 54876

3-й срез.

 

Приложения: 
40.P4220014.JPG41.P4220014a.jpg
stovbav's picture
Offline
Last seen: 2 years 4 months ago
Joined: 20.12.2009 - 17:28
Posts: 7066

Здравствуйте, Валентин Львович!

1. Кругляшок - "симпатюля"

2. Вырезка Риглера по верхнему краю - классика жанра.

3. Периферический во всей красе.

Вам - браво!.

Катенёв Валентин Львович's picture
Offline
Last seen: 7 years 2 months ago
Joined: 22.03.2008 - 22:15
Posts: 54876

Спасибо за комплимент. Но в "кругляшке" плотные включения?

stovbav's picture
Offline
Last seen: 2 years 4 months ago
Joined: 20.12.2009 - 17:28
Posts: 7066

Катенёв Валентин Львович wrote:

Спасибо за комплимент. Но в "кругляшке" плотные включения?

Рядом тоже есть плотные включения...разве это помеха для рака? Конечно - туберкулома дело "святое"...но, как мне кажется, вряд ли....

Аризона's picture
Offline
Last seen: 3 years 3 months ago
Joined: 03.02.2010 - 17:17
Posts: 109

добрый вечер, тоже хочется высказать мнение,данное образование имеет сходные признаки и туберкулемы и доброкачественной опухоли

stovbav's picture
Offline
Last seen: 2 years 4 months ago
Joined: 20.12.2009 - 17:28
Posts: 7066

Аризона wrote:

 и туберкулемы и доброкачественной опухоли

Если с первым согласен еще дифференцировать, вне всякого сомнения, то второе - сомневаюсь ...и очень. В чем признаки доброкачественности и какое именно доброкачественное образование Вы подразумеваете?

Аризона's picture
Offline
Last seen: 3 years 3 months ago
Joined: 03.02.2010 - 17:17
Posts: 109

гамартохондрома?

stovbav's picture
Offline
Last seen: 2 years 4 months ago
Joined: 20.12.2009 - 17:28
Posts: 7066

Могло бы быть, но куда девать вырезку и плотные очаги в окружающей ткани...

Аризона's picture
Offline
Last seen: 3 years 3 months ago
Joined: 03.02.2010 - 17:17
Posts: 109

stovbav wrote:

Могло бы быть, но куда девать вырезку и плотные очаги в окружающей ткани...

да вы правы, на гамартому мало похоже

Катенёв Валентин Львович's picture
Offline
Last seen: 7 years 2 months ago
Joined: 22.03.2008 - 22:15
Posts: 54876

А куда будем "девать" правую верхушку?

stovbav's picture
Offline
Last seen: 2 years 4 months ago
Joined: 20.12.2009 - 17:28
Posts: 7066

Катенёв Валентин Львович wrote:

А куда будем "девать" правую верхушку?

Как по мне - пара мелких плотных теней...как то остальное - "не глядится"...или как Вы говорите - "глаз не цепляется"...может немного с поворотом лежал, потому и вуалеподобное затемнение, может техногенного характера....

Катенёв Валентин Львович's picture
Offline
Last seen: 7 years 2 months ago
Joined: 22.03.2008 - 22:15
Posts: 54876

Так значит - экзацербация опухолевой тканью "старых" очагов (очаги уплотнения в круглой тени)?

stovbav's picture
Offline
Last seen: 2 years 4 months ago
Joined: 20.12.2009 - 17:28
Posts: 7066

Катенёв Валентин Львович wrote:

Так значит - экзацербация опухолевой тканью "старых" очагов (очаги уплотнения в круглой тени)?

Похоже что так. А архива нет, за сколько выросло это "чудо"?

Катенёв Валентин Львович's picture
Offline
Last seen: 7 years 2 months ago
Joined: 22.03.2008 - 22:15
Posts: 54876

Архива нет. Пациент у нас вообще не проходил. Состоит на учете у "психиатра", очень плохой в плане контакта. После того, как "встал" с томографа, долго отряхивал с ушей "пыль", даже словесный контакт проблематичен.

Vikkur's picture
Offline
Last seen: 4 years 9 months ago
Joined: 24.09.2009 - 14:34
Posts: 1749

Да уж показательный случай, 1.как больной на столе то лежал и как выполнял команды "дышать-не дышать".???

2. Срез  70 мм - классический 1-й срез? (при локализации в данном сегменте)

Виктор.

Катенёв Валентин Львович's picture
Offline
Last seen: 7 years 2 months ago
Joined: 22.03.2008 - 22:15
Posts: 54876

Рядом с пациентом стояла его мама и что-то объясняла ему "на пальцах".

Оптимальными оказались срезы 7,0 и 6,5.

v1tal's picture
Offline
Last seen: 4 years 10 months ago
Joined: 07.06.2008 - 19:41
Posts: 1779

С учетом такого расположения образования, можно было бы провести  биопсию тонкой иглой под контролем КТ. А данный пациент куда будет направлен?

"Знаешь, у некоторых врачей есть комплекс мессии — им необходимо спасать мир. А у тебя комплекс Рубика — тебе необходимо решать головоломки."

Катенёв Валентин Львович's picture
Offline
Last seen: 7 years 2 months ago
Joined: 22.03.2008 - 22:15
Posts: 54876

Конечно, будет направлен. Наиболее вероятнее в диагностическое отделение ОПТД.

Vikkur's picture
Offline
Last seen: 4 years 9 months ago
Joined: 24.09.2009 - 14:34
Posts: 1749

Катенёв Валентин Львович wrote:

Рядом с пациентом стояла его мама и что-то объясняла ему "на пальцах".

Оптимальными оказались срезы 7,0 и 6,5.

Спасибо за ответ)

Виктор.

Катенёв Валентин Львович's picture
Offline
Last seen: 7 years 2 months ago
Joined: 22.03.2008 - 22:15
Posts: 54876

Из ООД пришел периферический.

m19varis's picture
Offline
Last seen: 4 years 10 months ago
Joined: 16.11.2015 - 20:27
Posts: 116

Катенёв Валентин Львович wrote:

Из ООД пришел периферический.

7 лет, однако)

Игорь Ким's picture
Offline
Last seen: 1 year 5 months ago
Joined: 17.10.2014 - 17:30
Posts: 4672

Не факт, что периферический, с учетом 7 лет. И где же та биопсия ( и как ) с учетом периферического?

Катенёв Валентин Львович's picture
Offline
Last seen: 7 years 2 months ago
Joined: 22.03.2008 - 22:15
Posts: 54876

Игорь Ким wrote:

Не факт, что периферический, с учетом 7 лет. И где же та биопсия ( и как ) с учетом периферического?

Был прооперирован в ООД г. Белгорода.

Живет и по настоящее время.

NIL's picture
NIL
Offline
Last seen: 1 month 4 days ago
Joined: 25.11.2013 - 20:50
Posts: 18208

Катенёв Валентин Львович wrote:

Был прооперирован в ООД г. Белгорода.

Живет и по настоящее время.

Повезло человеку.yes


"Слушай всех, прислушивайся к немногим, решай сам".©

Игорь Ким's picture
Offline
Last seen: 1 year 5 months ago
Joined: 17.10.2014 - 17:30
Posts: 4672

Остается только порадоваться. Спасибо.