You are here

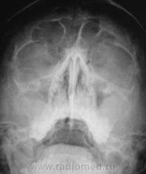
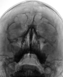
Пациент направлен оториноларингологом на рентгенографию придаточных полостей носа.

Пол пациента: 
Тип патологии: 
Область исследования: 
Методы исследования: 

Пациент направлен оториноларингологом на рентгенографию придаточных полостей носа.

Произведено стандартное исследование.

  • https://radiomed.ru/sites/default/files/styles/case_slider_image/public/user/12/12..P4260004a.jpg?itok=vS0DV0NC
  • https://radiomed.ru/sites/default/files/styles/case_slider_image/public/user/12/13..P4260005_0.JPG?itok=p315w9lZ
  • https://radiomed.ru/sites/default/files/styles/case_slider_image/public/user/12/14..P4260005a_1.jpg?itok=_VzLZKUD
ID:3383
Анатолий Владимирович Шумаков's picture
Offline
Last seen: 7 years 11 months ago
Joined: 16.10.2009 - 21:16
Posts: 1941

В центральной ячейке лобной пазухи - уровень жидкости - фронтит. в верхнечелюстных пазухах - картна кист, и сфеноидит...

july's picture
Offline
Last seen: 13 years 4 months ago
Joined: 14.04.2010 - 14:47
Posts: 17

Ячейки решетчатых костей с обеих сторон затемнены, имеются пристеночные теневые наслоения в обеих в/челюстных пазухах, больше у наружных стенок, , с четкими выпуклыми контурами, носовые ходы сужены. R-картина синуита. В наличии горизонтальных уровней в лобных пазухах сомневаюсь. А что бы определиться с основной пазухой, хорошо бы сделать боковую проекцию.

Vikkur's picture
Offline
Last seen: 4 years 9 months ago
Joined: 24.09.2009 - 14:34
Posts: 1749

То же склонен видеть уровень жидкости в лобных (видно что повторяет наклон), пристеночное подушкообразное утолщение слизистой в верхнечелюстных, сфеноидит.

Виктор.

Наталья Борисовна's picture
Offline
Last seen: 3 years 7 months ago
Joined: 31.10.2008 - 15:08
Posts: 1

Согласна с коллегой по поводу сомнительности затемнения лобных пазух, это может быть обусловлено ячейками решетчатой кости.