Пол пациента:
Тип патологии:
Область исследования:
Методы исследования:
- https://radiomed.ru/sites/default/files/styles/case_slider_image/public/user/12/32..P4260012a_0.jpg?itok=4EyoqJkA
- https://radiomed.ru/sites/default/files/styles/case_slider_image/public/user/12/33..P4260012-1.jpg?itok=oS-lX2CW
- https://radiomed.ru/sites/default/files/styles/case_slider_image/public/user/12/34..P4260012-1a.jpg?itok=hxI64ADg
- https://radiomed.ru/sites/default/files/styles/case_slider_image/public/user/12/35..P4260013.JPG?itok=0tIh1Nfy
- https://radiomed.ru/sites/default/files/styles/case_slider_image/public/user/12/36..P4260013a.jpg?itok=FYeYYCtP
ID:3388
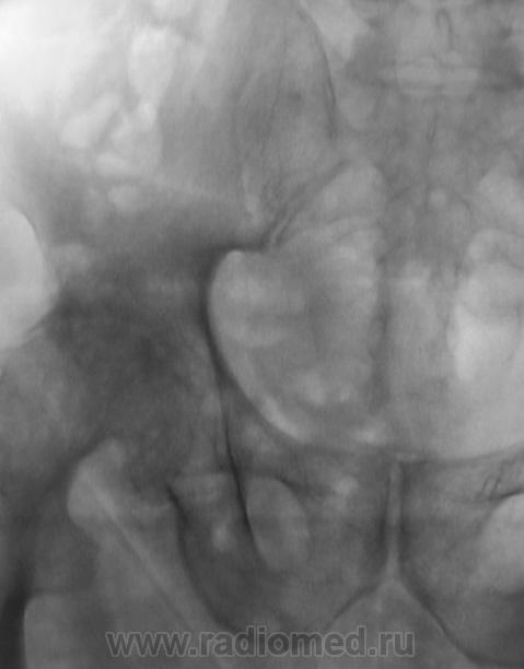
В принципе, болеть есть от чего. Однако, у меня на подозрении очаги разрежения структуры в головке левой бедренной кости и в теле правой подвздошной кости над вертлужной впадиной. Очаги весьма четкие, круглые - дообследуйте на предмет миеломной болезни.
Справа на фоне лонной и седалищной костей по-видимому тени кишки - грыжа?
"самоуверенность дилетантов - предмет зависти профессионалов"
А, бластического варианта нет?
Не вижу
P.S. не люблю снимки с инверсией
"самоуверенность дилетантов - предмет зависти профессионалов"
Я бы сделал ленейку. А что в легких?
В легких норма - рентгенограмма. Линейку (таз) сделать не смогли, пациента принесли на носилках, орет от боли. В рентгеновском кабинете было сделана УЗИ. Как сказал врач УЗИ - огромная предстательная железа.
Бластического варианта НЕТ. Очаги просветления, в данном случае -затемнения газ в к-ке. ДОА пр.т/б сустава 4 , левого - 2 степени, артрозные изм-я в сакроилеальных сочленениях, выраженней в левом
телу- мера, душе-Вера
Ну огромная не значит онко. А о структуре что-то написал? Если не найдете онко ленейку сделать все же надо.
Огромная на сколько? простата и есть ли стр-рные изм-я , характерные для рака? или это просто аденома?
телу- мера, душе-Вера
О структуре - ни слова.
Правая половина таза меньше за счёт проекционного искажения?
Виктор.
Уважаемый Виталий, и какую дополнительную информацию к имеющейся Вы хотите получить, настаивая на "лЕнейке"? Предположим, увидите литические очаги, впрочем, они и так видны. Дальше что?
"самоуверенность дилетантов - предмет зависти профессионалов"
Да, положение вынужденное.
Возможно даже принципиально важную информацию о структуре, склерозе, деструкциях и их стенках. А как вы без этого предлагаете проводить дифдиагностику. Смысл кт как раз в этом, но добиться такой информации можно и на линейке.
Уважаемы Виталий, Вы возможно не поняли мой вопрос. На рентгенограммах есть литические очаги, однородной структуры, с ровными, четкими контурами. Я спрашивала "какую дополнительную, к этому, информацию Вы намереваетесь получить при линейной томографии?" Каюсь, я не уточнила, какое место Вы предлагаете томографировать? Возможно, мы говорим о разных вещах...
Тем не менее, скажите пожалуйста, к какому дифференциально-диагностическому ряду склоняетесь Вы?
P.S. Касательно "смысла КТ" Вы заблуждаетесь, поскольку этот метод позволяет еще измерить плотность патологических очагов, а следовательно, определить какой тканью замещена кость, кроме того, достоверно найти не видимые при рентгенографии очаги в сложных анатомических зонах, а также осмотреть органы малого таза (ту же простату)
"самоуверенность дилетантов - предмет зависти профессионалов"
Здравствуйте, Татьяна, возможно я и не прав но это стандарт моего стационара. Любая патология костей с литическими очагами идет на ленейку. А смысл в этом есть так как на срезе структура иногда выглядит несколько иначе на то это и метод дообследования.
Если у вас действительно такое качество кт то я вам по доброму завидую. Если есть возможность посмотрите пожалуйста мой сегодняшний случай. Заранее спасибо.
Виталий, если не секрет, а Вы в каком стационаре работаете? Я могу понять пользу линейной томографии при туберкулезном спондилите, натечниках. Но томографировать любой литический очаг нет необходимости, а томографировать кости таза уже просто за гранью добра и зла в силу их анатомии, здесь предпочтительнее полипозиционное скопическое исследование, если нет КТ.
какой случай?
"самоуверенность дилетантов - предмет зависти профессионалов"
Почему вдруг секрет, я пока вроде не скрываюсь в облтуб больнице. Не раз в направленном к нам tbs находили mts и не только. Которые зачастую ставили по снимкам и линейке. Последний мой случай когда больной пошел на кт в описании ни слова о инфильтрате 4см на 3,5см и не указано обсеменение в другое легкое. А это была одна из лучших контор кт.
Понимаете, Виталий, это не метод плохой, а проблема квалификации специалистов. Поэтому приходится самим учиться читать КТ...
"самоуверенность дилетантов - предмет зависти профессионалов"
В это я с вами согласен и в меру моих сил всегда смотрю кт.
Еще и за больных обидно большинство просто нищие. Отправиш а заключение пустое... У меня все же квалификация не та и опыта нет. Но приходится смотреть и в описании ссылаться.
Это меня уже сегодня клинит.
хiба хочеш - мусиш...
Держитесь, коллега, скоро длинные выходные!
"самоуверенность дилетантов - предмет зависти профессионалов"
Дюкую. Вас також з святами.