You are here

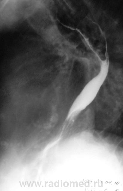
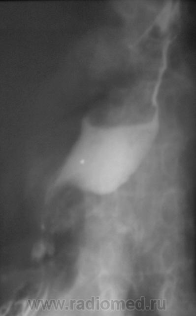
Пациентка, весьма преклонного возраста направлена на исследование желудка.

Пол пациента: 
Тип патологии: 
Область исследования: 
Методы исследования: 

Пациентка, весьма преклонного возраста направлена на исследование желудка. Диагноз - язвенная болезнь желудка. Ну с желудком вроде-бы нормально, но вот с пищеводом возникли заморочки. Все осложнилось еще и тем, что пациентка в вертикальном положении смогла побыть секунд 40.

Ниже снимки, которые смогли провести в положении стоя.

  • https://radiomed.ru/sites/default/files/styles/case_slider_image/public/user/12/63..P4270033a.jpg?itok=zOngix6f
  • https://radiomed.ru/sites/default/files/styles/case_slider_image/public/user/12/64..P4270034a.jpg?itok=9mA6cMgB
  • https://radiomed.ru/sites/default/files/styles/case_slider_image/public/user/12/65..P4270035a.jpg?itok=XMWNBXPH
  • https://radiomed.ru/sites/default/files/styles/case_slider_image/public/user/12/66..P4270036a.jpg?itok=3VoHoEHi
  • https://radiomed.ru/sites/default/files/styles/case_slider_image/public/user/12/67..P4270037a.jpg?itok=MKrE7NJh
ID:3395
Катенёв Валентин Львович's picture
Offline
Last seen: 7 years 5 months ago
Joined: 22.03.2008 - 22:15
Posts: 54876

Далее исследование было продолжено в положении лёжа.

 

Приложения: 
1.L.P4270014a.jpg2.L.P4270015a.jpg3.L.P4270016a.jpg4.L.P4270016v.jpg
Катенёв Валентин Львович's picture
Offline
Last seen: 7 years 5 months ago
Joined: 22.03.2008 - 22:15
Posts: 54876

Продолжение.

 

Приложения: 
11.L.P4270017a.jpg12..L.P4270018a.jpg13..L.P4270019a.jpg14..L.P4270020a.jpg15..L.P4270021.JPG16..L.P4270021a.jpg17..L.P4270022a.jpg
Катенёв Валентин Львович's picture
Offline
Last seen: 7 years 5 months ago
Joined: 22.03.2008 - 22:15
Posts: 54876

Продолжение.

 

Приложения: 
31..L.P4270023a.jpg32..L.P4270024a.jpg33.L.P4270025.JPG34..l.P4270025a.jpg
DR.RAD's picture
Offline
Last seen: 12 years 1 month ago
Joined: 25.03.2009 - 18:22
Posts: 805

ахалазия пищевода...

Vikkur's picture
Offline
Last seen: 5 years 3 weeks ago
Joined: 24.09.2009 - 14:34
Posts: 1749

Похоже что в нижней трети пишевода чтото "живёт"

Виктор.

stovbav's picture
Offline
Last seen: 2 years 7 months ago
Joined: 20.12.2009 - 17:28
Posts: 7066

Озлокачествленная лейомиома пищевода.

Катенёв Валентин Львович's picture
Offline
Last seen: 7 years 5 months ago
Joined: 22.03.2008 - 22:15
Posts: 54876

Здравствуйте Виктор Григорьевич!

Ну, лейомиому, мы написали в протоколе.

stovbav's picture
Offline
Last seen: 2 years 7 months ago
Joined: 20.12.2009 - 17:28
Posts: 7066

Здравствуйте Валентин Львович! А что, Вас еще что то смущает? Дистальный отдел пищевода? И главное - что скажет биопсия. надеюсь эндоскописты материал взяли?

Катенёв Валентин Львович's picture
Offline
Last seen: 7 years 5 months ago
Joined: 22.03.2008 - 22:15
Posts: 54876

Я тоже надеюсь, что взяли...

tatyana's picture
Offline
Last seen: 4 years 6 months ago
Joined: 24.06.2009 - 08:33
Posts: 2090

Валентин Львович, а при рентгеноскопии Вы не видели колебания дистального отдела пищевода от передаточной пульсации?

"самоуверенность дилетантов - предмет зависти профессионалов"

Катенёв Валентин Львович's picture
Offline
Last seen: 7 years 5 months ago
Joined: 22.03.2008 - 22:15
Posts: 54876

tatyana wrote:

Валентин Львович, а при рентгеноскопии Вы не видели колебания дистального отдела пищевода от передаточной пульсации?

Конечно, видел. Сердце-то огромное. Вот томограммы, которые остались в "заначке".

Катенёв Валентин Львович's picture
Offline
Last seen: 7 years 5 months ago
Joined: 22.03.2008 - 22:15
Posts: 54876

Томограмма.

 

Приложения: 
41.Zan_.P4270026.JPG42.Zan_.P4270026a.jpg43.Zan_.P4270027.JPG44.Zan_.P4270027a.jpg
Катенёв Валентин Львович's picture
Offline
Last seen: 7 years 5 months ago
Joined: 22.03.2008 - 22:15
Posts: 54876

Не плохо бы вспомнить...