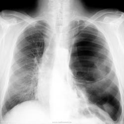
Мужчина за 60 лет. Лечится в хирургии по поводу обострения холецистита. Плановая ФГ грудной клетки. Особых жалоб нет. Говорит, что в детстве была травма...и что он знает, что одно легкое у него "темное".....
А мне кажется - не пневматоракс. На фоне раздутой легочной ткани прослеживаются какие-то элементы сосудистого рисунка.В диф ряд врождённую гипоплазию левой ветви легочной артерии,врождённую эмфизему левого лёгкого и прогрессирующую дистрофию (наименее вероятно,т.к. поражено одно лёгкое.
Не совсем понятна боковая прекция: что за горизонтальный уровень в верхнем легочном поле, которого не видно на прямой и затемнение заднегосинуса, признаков которого по прямой как бы и нет
имхо: как-то картина со стороны левого лёкого, больше производит впечателение о буллёзных изменениях.Только встаёт вопрос-как это можно патогенетически связать с давней травмой?Нет ли в данном случае повреждения левого главного бронха (собственно говоря, тени левого главного бронха на снимке почему-то и не видно?) ( и лёгочных сосудов конечно) и не может ли так быть, что то что мы видим слева можно расценить,как буллёзную трансформацию сохранившейся части левого лёгкого, после повреждения главного бронха? Вообще картина левого лёгкого отдалённо напоминает "исчезающее лёгкое"(прогрессирующую лёгочную дистрофию), но вероятно, в данном случае механизм лёгочной дистрофии другой (травма).
Да коллега, NIL пожалуй права с версией врождённой гипоплазии левого лёгкого! А боковую проекцию интерпритировать сложно, так суммируются тени двух лёгких , когда в одном практически норма, в другом непонято что даже по прямой проекции, без наслоения.
имхо:воообще впечатление, что это давний процесс, без особой динамики на протяжении многих лет и точно установить этиопатогенез этой находки не представляется возможным без R(фло)-архива и выписки с момента травмы, если такая выписка есть вообще.
прошу не закидывать меня "камнями" после того, что я напишу, но все-таки: на прямой рентгенограмме не видно газа в желудке, а на боковом снимке прослеживаются просветления, напоминающие петли кишечника.
прошу не закидывать меня "камнями" после того, что я напишу, но все-таки: на прямой рентгенограмме не видно газа в желудке, а на боковом снимке прослеживаются просветления, напоминающие петли кишечника.
Я за буллезные дела. Если бы это был пневмоторакс, то хочешь не хочешь пациент указал бы на какой - нибудь острый анамнез. А на рентгенограмме было бы видно поджатое легкое, а здесь его нет.
Спайки левой грудной полости, буллёзные изменения в лёгких или пневмоторакс . А по архиву что у него, Виктор Григорьевич?
Уважаемый, Евгений! Архива нет...увы...пришлый он, из другого района города, доставлен по ургенции....обострение хр.холецистита.
Да, дифдиагноз со спонтанныи пневмотораксом, тут спору нет.
Болезни ног: виды, симптомы, причины, профилактика и лечение
Думаю - нет....
Болезни ног: виды, симптомы, причины, профилактика и лечение
Я за пневмоторакс слева.
А мне кажется - не пневматоракс. На фоне раздутой легочной ткани прослеживаются какие-то элементы сосудистого рисунка.В диф ряд врождённую гипоплазию левой ветви легочной артерии,врождённую эмфизему левого лёгкого и прогрессирующую дистрофию (наименее вероятно,т.к. поражено одно лёгкое.
Не совсем понятна боковая прекция: что за горизонтальный уровень в верхнем легочном поле, которого не видно на прямой и затемнение заднегосинуса, признаков которого по прямой как бы и нет
"Слушай всех, прислушивайся к немногим, решай сам".©
имхо: как-то картина со стороны левого лёкого, больше производит впечателение о буллёзных изменениях.Только встаёт вопрос-как это можно патогенетически связать с давней травмой?Нет ли в данном случае повреждения левого главного бронха (собственно говоря, тени левого главного бронха на снимке почему-то и не видно?) ( и лёгочных сосудов конечно) и не может ли так быть, что то что мы видим слева можно расценить,как буллёзную трансформацию сохранившейся части левого лёгкого, после повреждения главного бронха? Вообще картина левого лёгкого отдалённо напоминает "исчезающее лёгкое"(прогрессирующую лёгочную дистрофию), но вероятно, в данном случае механизм лёгочной дистрофии другой (травма).
Да коллега, NIL пожалуй права с версией врождённой гипоплазии левого лёгкого!
А боковую проекцию интерпритировать сложно, так суммируются тени двух лёгких , когда в одном практически норма, в другом непонято что даже по прямой проекции, без наслоения.
имхо:воообще впечатление, что это давний процесс, без особой динамики на протяжении многих лет и точно установить этиопатогенез этой находки не представляется возможным без R(фло)-архива и выписки с момента травмы, если такая выписка есть вообще.
Случай редкий и очень интересный!
Александр, Нил, всецело с Вами согласен.
Болезни ног: виды, симптомы, причины, профилактика и лечение
прошу не закидывать меня "камнями" после того, что я напишу, но все-таки: на прямой рентгенограмме не видно газа в желудке, а на боковом снимке прослеживаются просветления, напоминающие петли кишечника.
Не убедили))))
Болезни ног: виды, симптомы, причины, профилактика и лечение
А что написали в протоколе, Виктор Григорьевич?
Тотальные буллезные изменения левого легкого
Болезни ног: виды, симптомы, причины, профилактика и лечение
Плюсую за врожденную патологию. Кистозная/кистозно-фиброзная гипоплазия, например.
"Обучая других - учишься сам". Н.И.Пирогов
Не спорю, возможно и так.
Болезни ног: виды, симптомы, причины, профилактика и лечение
Я за буллезные дела. Если бы это был пневмоторакс, то хочешь не хочешь пациент указал бы на какой - нибудь острый анамнез. А на рентгенограмме было бы видно поджатое легкое, а здесь его нет.
"Слушай всех, прислушивайся к немногим, решай сам".©
Да уж, чудеса! Но думаю все же это казуистика... NIL, спасибо за пример! :) Теперь буду знать...
"Слушай всех, прислушивайся к немногим, решай сам".©