You are here

Диагностическая заморочка

Пол пациента: 
Тип патологии: 
Методы исследования: 

Диагностическая заморочка.

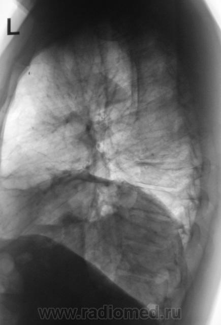
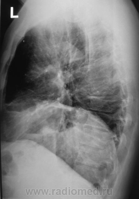
Рентгенограммы были сделаны в ургентном порядке, так как при поступлении, терапевта смутила стето-аускультативная картина слева.

Хотя, как выяснилось, жалоб пациент не предъявлял. Формальный диагноз при направлении на исследование -"Левосторонняя нижнедолевая пневмония". Произведена стандартная рентгенография в двух проекциях (без врача).

  • https://radiomed.ru/sites/default/files/styles/case_slider_image/public/user/12/2..P5050002.JPG?itok=l8dbKUgP
  • https://radiomed.ru/sites/default/files/styles/case_slider_image/public/user/12/3..P5050003.JPG?itok=C6iVjIf4
  • https://radiomed.ru/sites/default/files/styles/case_slider_image/public/user/12/4..P5050004.JPG?itok=iFmOKrYZ
ID:3605
Цель публикации: 
Катенёв Валентин Львович's picture
Offline
Last seen: 7 years 5 months ago
Joined: 22.03.2008 - 22:15
Posts: 54876

Возник извечный вопрос - пневмония, ателектаз, базальный плеврит.

stovbav's picture
Offline
Last seen: 2 years 7 months ago
Joined: 20.12.2009 - 17:28
Posts: 7066

А если ограничится банальной релаксацией купола диафрагмы и "нехай живе" как говорят у нас....?

Катенёв Валентин Львович's picture
Offline
Last seen: 7 years 5 months ago
Joined: 22.03.2008 - 22:15
Posts: 54876

Здравствуйте Виктор Григорьевич!

Вот эта "газовая структура" очень меня смутила, да еще и пациент, который, оказывается жалоб никаких не предъявляет.

 

Приложения: 
31_SMUTILO.JPG
Грицько Виталий's picture
Offline
Last seen: 9 years 5 months ago
Joined: 05.01.2010 - 14:06
Posts: 1058

Такая релаксация левого купола дала бы хорошую одышку. И такие жалобы должны быть постоянны.

Катенёв Валентин Львович's picture
Offline
Last seen: 7 years 5 months ago
Joined: 22.03.2008 - 22:15
Posts: 54876

Грицько Виталий wrote:
Такая релаксация левого купола дала бы хорошую одышку. И такие жалобы должны быть постоянны.

Жалоб нет.

stovbav's picture
Offline
Last seen: 2 years 7 months ago
Joined: 20.12.2009 - 17:28
Posts: 7066

Знаете, когда слева релаксация, тогда, как правило, наступают неполные завороты (или повороты) желудка вокруг горизонтальной оси, при этом газовый пузырь приобретает весьма и весьма замысловатую, как правило вытянутую по горизонтали и спереди-назад форму. Почему бы этому и не быть?

Катенёв Валентин Львович's picture
Offline
Last seen: 7 years 5 months ago
Joined: 22.03.2008 - 22:15
Posts: 54876

Мы решили дать барий. Вызвали пациента и получили такие снимки.

Катенёв Валентин Львович's picture
Offline
Last seen: 7 years 5 months ago
Joined: 22.03.2008 - 22:15
Posts: 54876

Снимки.

 

 

Приложения: 
51.P5050005a.jpg52.P5050006a.jpg53.P5050007.JPG54.P5050008.JPG55.P5050009a.jpg
stovbav's picture
Offline
Last seen: 2 years 7 months ago
Joined: 20.12.2009 - 17:28
Posts: 7066

Что и требовалось доказать, правда тут поворот не совсем вокруг горизонтальной оси, скорее попытка "кувырка". А вот так выглядит то,, о чем я говорил несколько ранее...

Приложения: 
TO1.jpgTO2.jpgTO3.jpg
Катенёв Валентин Львович's picture
Offline
Last seen: 7 years 5 months ago
Joined: 22.03.2008 - 22:15
Posts: 54876

Что писать в заключении?

stovbav's picture
Offline
Last seen: 2 years 7 months ago
Joined: 20.12.2009 - 17:28
Posts: 7066

"Желудок является мобильным внутрибрюшным органом и в обычных физиологических условиях в период пищеварения совершает ротации вокруг продольной и поперечной осей, что не сопровождается болезненными проявлениями. Однако при слабости связочного аппарата желудка создаются благоприятные условия для возникновения его избыточной подвижности и развития заворота."

"При релаксации диафрагмы происходит сдавление легкого на стороне поражения и смещение средостения противоположную сторону, может возникнуть поперечный и продольный заворот желудка (кардиальный и антральный отделы располагаются на одном уровне)"

"При контрастном исследовании желудка в положении по Тренделенбургу определяется симптом Фунштейна - контрастное вещество растекается в желудке, повторяя контуры купола диафрагмы. Важным моментом является также выявление перемещения желудка в грудную клетку, перегиб абдоминального отдела, пищевода, смещение привратника и перегиб желудка «каскадный желудок», а также перемещение поперечной ободочной кишки, особенно ее селезеночного угла."

О протоколе:

Речь должна идти о релаксации левого купола диафрагмы и неполном повороте желудка (каскадный желудок),

обратите внимание на перегиб абдоминального отдела пищевода и приближение его к области привратника.

Катенёв Валентин Львович's picture
Offline
Last seen: 7 years 5 months ago
Joined: 22.03.2008 - 22:15
Posts: 54876

Спасибо Виктор Григорьевич!

stovbav's picture
Offline
Last seen: 2 years 7 months ago
Joined: 20.12.2009 - 17:28
Posts: 7066

Катенёв Валентин Львович wrote:

Спасибо Виктор Григорьевич!

С Вашего позволения выставлю все наблюдение у себя на ветке "Нарушение топографии желудка"

Катенёв Валентин Львович's picture
Offline
Last seen: 7 years 5 months ago
Joined: 22.03.2008 - 22:15
Posts: 54876

stovbav wrote:

Катенёв Валентин Львович wrote:

Спасибо Виктор Григорьевич!

С Вашего позволения выставлю все наблюдение у себя на ветке "Нарушение топографии желудка"

Даже не спрашивайте - берите, да и все.

Грицько Виталий's picture
Offline
Last seen: 9 years 5 months ago
Joined: 05.01.2010 - 14:06
Posts: 1058

Да уж... интересный случай. Вот и разница между книжкой и жизнью. Спасибо за данное наблюдение.

Катенёв Валентин Львович's picture
Offline
Last seen: 7 years 5 months ago
Joined: 22.03.2008 - 22:15
Posts: 54876

Да Виталий, повседневная практика, каждый день преподносит сюрпризы и удивления.

Я часто вспоминаю Шумакова Анатолий Владимировича - "Хорошо, когда, как в книжке, и понятно, как в кино..."

Катенёв Валентин Львович's picture
Offline
Last seen: 7 years 5 months ago
Joined: 22.03.2008 - 22:15
Posts: 54876

stovbav wrote:

Катенёв Валентин Львович wrote:

Спасибо Виктор Григорьевич!

С Вашего позволения выставлю все наблюдение у себя на ветке "Нарушение топографии желудка"

Вот еще несколько изображений данного пациента, которые были произведены, как прицельные рентгенограммы в ортоположении.

 

Приложения: 
1.KK_.P5070006.JPG2.KK_.P5070007.JPG3.KK_.P5070003.JPG4.KK_.P5070001.JPG5.KK_.P5070002.JPG6.KK_.P5070004.JPG7.KK_.P5070005.JPG
Катенёв Валентин Львович's picture
Offline
Last seen: 7 years 5 months ago
Joined: 22.03.2008 - 22:15
Posts: 54876

Катенёв Валентин Львович wrote:

Я часто вспоминаю Шумакова Анатолий Владимировича - "Хорошо, когда, как в книжке, и понятно, как в кино..."