You are here

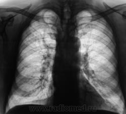
Контроль после флюорографии.

Пол пациента: 
Тип патологии: 
Методы исследования: 

Контроль после флюорографии.

Произведено стандартное дообследование.

  • https://radiomed.ru/sites/default/files/styles/case_slider_image/public/user/12/82.KR_.P5110022.JPG?itok=vH9RvPtD
  • https://radiomed.ru/sites/default/files/styles/case_slider_image/public/user/12/83.KR_.P5110023.JPG?itok=DQA-eZMh
  • https://radiomed.ru/sites/default/files/styles/case_slider_image/public/user/12/84.KR_.P5110024.JPG?itok=XKlNQWqG
  • https://radiomed.ru/sites/default/files/styles/case_slider_image/public/user/12/85.KR_.P5110024a.jpg?itok=36BM8W44
ID:3699
Vikkur's picture
Offline
Last seen: 4 years 11 months ago
Joined: 24.09.2009 - 14:34
Posts: 1749

Здраствуйте Валентин Львович - не похоже что бы процесс был свежий, а больной без архива?

Виктор.

Катенёв Валентин Львович's picture
Offline
Last seen: 7 years 4 months ago
Joined: 22.03.2008 - 22:15
Posts: 54876

Процесс свежий. Но, вот кисты справа в верхней доле были, и ранее.

Vikkur's picture
Offline
Last seen: 4 years 11 months ago
Joined: 24.09.2009 - 14:34
Posts: 1749

Понятно..

Виктор.