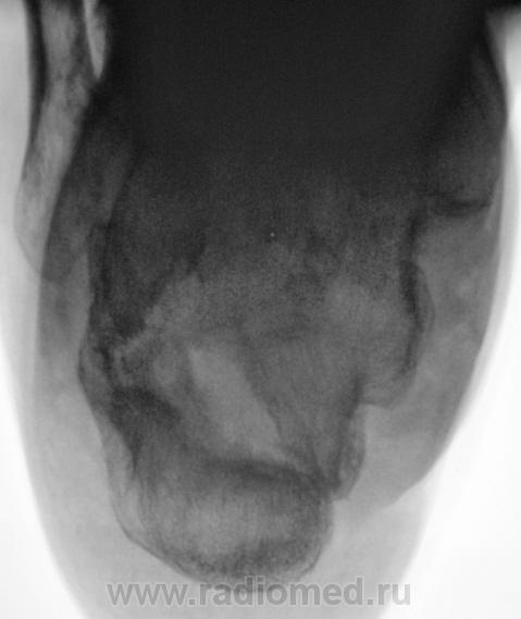
Пациент направлен на рентгенографию пяточных костей с диагнозом "остеомиелит". Год тому, пациент перенес перелом со значительным смещением отломков. Лечили... "как лечили". Сегодня прислали на рентгенографию с подозрением на остеомиелит.
Честно говоря интерпретировать такое не приходилось. Видно дефект кости и видно что он открывается за пределами кости. Так перелом сросся? Раз он как конь на параде, с чего тогда подозрение на остеомиелит?
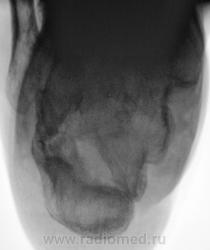
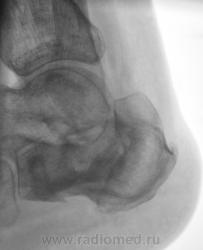
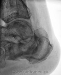
В пяточной кости, определённо, не хватает костного фрагмента (может осколок удалён при операции); а в бугре пяточной кости - что-то "слишком светло" : как бы нейро-троф. расстройства
не спутать с лилизом (ОМ) - поднимать снимки п/е операции / снятия иммобилизации...
Пусть и дальше топает, как по мне - вариант комрессии с отличной консолидацией, а "псевдополость" - следствие этой самой компресии и оскольчатого перелома в сочетании с деформацией. Деструкции не видно!!!!!
А наружу ничего не открывается? ТИпа свищевого хода? На медиальной поверхности...
Ничего не открывается, да и пациент шагает, как конь "на параде".
Честно говоря интерпретировать такое не приходилось. Видно дефект кости и видно что он открывается за пределами кости. Так перелом сросся? Раз он как конь на параде, с чего тогда подозрение на остеомиелит?
Пути "клиницистов", как, и "пути Господни" не исповедимы.
В пяточной кости, определённо, не хватает костного фрагмента (может осколок удалён при операции); а в бугре пяточной кости - что-то "слишком светло" : как бы нейро-троф. расстройства
не спутать с лилизом (ОМ) - поднимать снимки п/е операции / снятия иммобилизации...
--------------
"Просто, по видимости, не видеть логики в очевидных вещах - это тоже одно из свойств некоторых умов, наряду с грустными думами о свойствах ума других." © Vega 08/10/2011
Операции не было.
Позвольте, а как же недостающий участок кости - рассосался что-ли или такая "хорошая " компрессия
??.
--------------
"Просто, по видимости, не видеть логики в очевидных вещах - это тоже одно из свойств некоторых умов, наряду с грустными думами о свойствах ума других." © Vega 08/10/2011
Видимо рассосался осколок. Только вот что за "дорожка" к наружной поверхности?
Явной не отметил...
--------------
"Просто, по видимости, не видеть логики в очевидных вещах - это тоже одно из свойств некоторых умов, наряду с грустными думами о свойствах ума других." © Vega 08/10/2011
Операции не было. Был наложен ГИПС, и все...
Пусть и дальше топает, как по мне - вариант комрессии с отличной консолидацией, а "псевдополость" - следствие этой самой компресии и оскольчатого перелома в сочетании с деформацией. Деструкции не видно!!!!!
Болезни ног: виды, симптомы, причины, профилактика и лечение
А снимки до/после снятия гипса - на предмет изменений в бугре?
--------------
"Просто, по видимости, не видеть логики в очевидных вещах - это тоже одно из свойств некоторых умов, наряду с грустными думами о свойствах ума других." © Vega 08/10/2011